ISO 9001:2015 Certified
Live Customer Support
4.5/5 on Trustpilot
100% Quality Guarantee

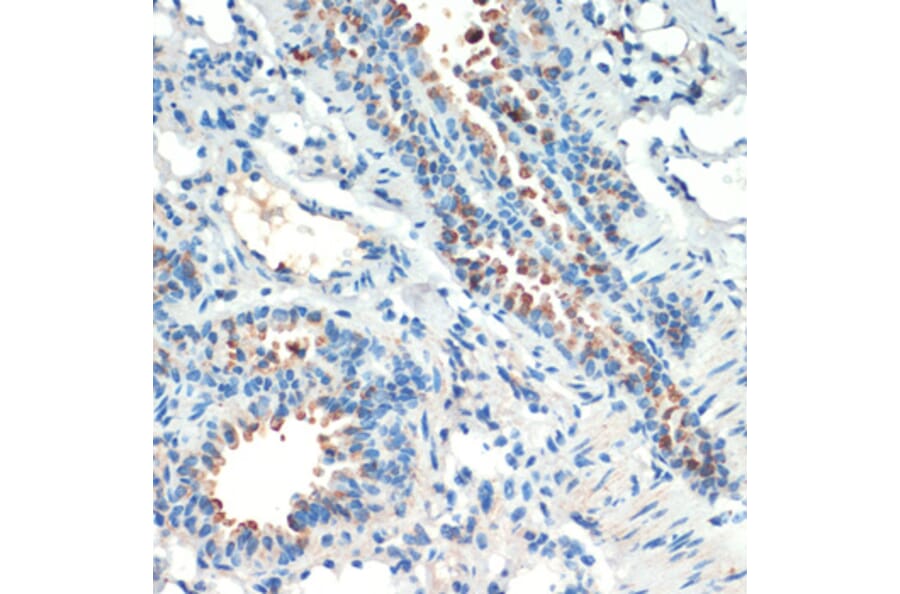
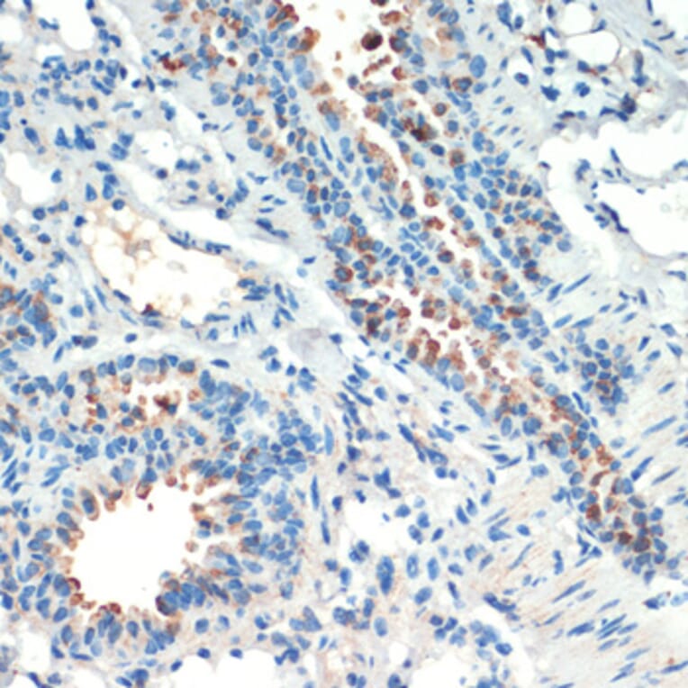
Anti-MSK2/RSK-B Antibody (A11248)

Rabbit polyclonal antibody to MSK2/RSK-B for WB, IHC and ICC/IF.

Shipping Information

$40
Dispatched from St. Louis, MO.
Lead Time: 7-10 business days.
Name
Anti-MSK2/RSK-B Antibody
Description
Rabbit polyclonal antibody to MSK2/RSK-B.
Applications
WB, IHC, ICC/IF
Dilutions
WB: 1:500-1:1,000, IHC: 1:20-1:100, ICC/IF: 1:20-1:100
Reactivity
Human, Mouse, Rat
Immunogen
A synthetic peptide corresponding to a sequence within amino acids 673-772 of human RPS6KA4 (NP_003933.1).
Sequence
WLQDGSARSSPPLRTPDVLESSGPAVRSGLNATFMAFNRGKREGFFLKSVENAPLAKRRKQKLRSATASRRGSPAPANPGRAPVASKGAPRRANGPLPPS
Host
Rabbit
Clonality
Polyclonal
Isotype
IgG
Conjugate

Unconjugated

Purification
Affinity purification.
Concentration
Lot Specific
Molecular Weight
85 kDa
Product Form
Liquid
Formulation
Supplied in Phosphate Buffered Saline, pH 7.3, with 50% Glycerol and 0.05% Proclin 300.
Storage
Shipped at 4°C. Upon delivery aliquot and store at -20°C. Avoid freeze/thaw cycles.
Disclaimer
This product is for research use only. It is not intended for diagnostic or therapeutic use.
Publishing research using Anti-MSK2/RSK-B Antibody (A11248)? Please let us know so that we can list the citation on this page.