Primary Antibodies
Secondary Antibodies
Proteins & Peptides
ELISA Kits
About Us
Contact Us
Sign In/Register
0
ISO 9001:2015 Certified
Live Customer Support
4.5/5 on Trustpilot
100% Quality Guarantee
Home
Primary Antibodies
C-4 Methylsterol Oxidase Antibodies
Anti-MSMO1 Antibody (A46210)
Anti-MSMO1 Antibody (A46210)
Overview
Specifications
Images
Enlarge Image
Enlarge Image
$430
Product Datasheet
Rabbit polyclonal antibody to MSMO1 for IHC.
100% Guarantee
Price Match Guarantee
Product Size:
100µl
Quantity:
1
2
3
4
5
6
7
8
9
10
Add To Cart
Request a Quotation
Custom or Bulk Request
Shipping Information
Freight/Packing Charges:
$40
Dispatched from St. Louis, MO.
Lead Time: 6-9 business days.
Specifications
Name
Anti-MSMO1 Antibody
Description
Rabbit polyclonal antibody to MSMO1
Specificity
The antibody detects endogenous levels of total MSMO1 protein.
Applications
IHC
Reactivity
Human
Immunogen
Synthetic peptide corresponding to a region derived from internal residues of human methylsterol monooxygenase 1
Host
Rabbit
Clonality
Polyclonal
Conjugate
Unconjugated
Purification
Antigen affinity purification.
Concentration
1.3 mg/mL
Formulation
Supplied in PBS, pH 7.3, containing 0.05% sodium azide and 50% glycerol.
Storage
Shipped at 4°C. Upon delivery aliquot and store at -20°C. Avoid freeze/thaw cycles.
Synonyms
DESP4, ERG25, Methylsterol monooxygenase 1, SC4MOL, Sterol-C4-methyl oxidase
Suitable Secondaries
Goat Anti-Rabbit IgG H&L Antibody (AP) (A294874)
Goat Anti-Rabbit IgG H&L Antibody (Biotin) (A294795)
Goat Anti-Rabbit IgG H&L Antibody (FITC) (A294887)
Goat Anti-Rabbit IgG H&L Antibody (HRP) (A294888)
See all Anti-Rabbit IgG Secondaries →
Disclaimer
This product is for research use only. It is not intended for diagnostic or therapeutic use.
Scientific Validation Data
Validation Data
(2)
Enlarge Image
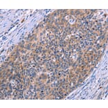
Immunohistochemistry - Anti-MSMO1 Antibody (A46210)
Immunohistochemical analysis of paraffin-embedded Human tonsil cancer tissue using #37553 at dilution 1/20.
Enlarge Image
Immunohistochemistry - Anti-MSMO1 Antibody (A46210)
Immunohistochemical analysis of paraffin-embedded Human cervical cancer tissue using #37553 at dilution 1/20.
Publishing research using Anti-MSMO1 Antibody (A46210)? Please
let us know
so that we can list the citation on this page.
Proteins predicted to interact with C-4 Methylsterol Oxidase
Predicted protein interactions based upon String database. Revelancy score correlates with probability of interaction.
HSD17B7 Antibodies
99.8% Relevancy Score
NSDHL Antibodies
99.7% Relevancy Score
CYP51A1 Antibodies
99.6% Relevancy Score
SQLE Antibodies
99.2% Relevancy Score
FDFT1 Antibodies
99.1% Relevancy Score
Seladin 1 Antibodies
98.7% Relevancy Score
LBR Antibodies
97.6% Relevancy Score
HMGCS1 Antibodies
96.4% Relevancy Score
LSS Antibodies
95.8% Relevancy Score
Top