ISO 9001:2015 Certified
Live Customer Support
4.5/5 on Trustpilot
100% Quality Guarantee

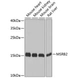
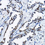
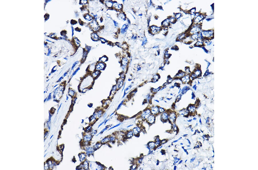
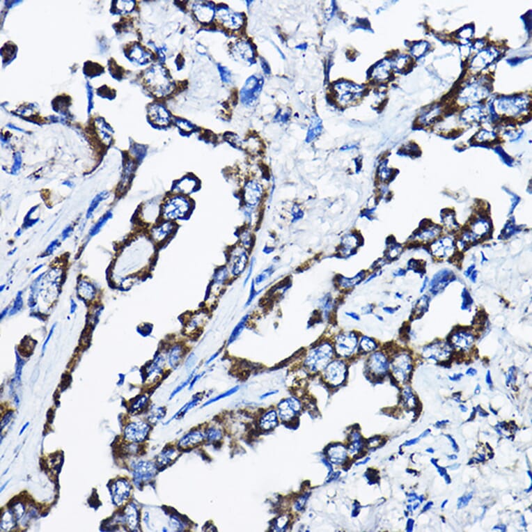
Anti-MSRB2 Antibody (A16167)

Rabbit polyclonal antibody to MSRB2 for WB and IHC.

Shipping Information

$40
Dispatched from St. Louis, MO.
Lead Time: 7-10 business days.
Name
Anti-MSRB2 Antibody
Description
Rabbit polyclonal antibody to MSRB2.
Applications
WB, IHC
Dilutions
WB: 1:500-1:2,000, IHC: 1:50-1:200
Reactivity
Human, Mouse, Rat
Immunogen
Recombinant fusion protein containing a sequence corresponding to amino acids 10-182 of human MSRB2 (NP_036360.3).
Sequence
GLTLGTAPRRAVRGQAGGGGPGTGPGLGEAGSLATCELPLAKSEWQKKLTPEQFYVTREKGTEPPFSGIYLNNKEAGMYHCVCCDSPLFSSEKKYCSGTGWPSFSEAHGTSGSDESHTGILRRLDTSLGSARTEVVCKQCEAHLGHVFPDGPGPNGQRFCINSVALKFKPRKH
Host
Rabbit
Clonality
Polyclonal
Isotype
IgG
Conjugate

Unconjugated

Purification
Affinity purification.
Concentration
Lot Specific
Molecular Weight
20 kDa
Product Form
Liquid
Formulation
Supplied in Phosphate Buffered Saline, pH 7.3, with 50% Glycerol and 0.02% Sodium Azide.
Storage
Shipped at 4°C. Upon delivery aliquot and store at -20°C. Avoid freeze/thaw cycles.
Synonyms
CBS-1, Methionine-R-sulfoxide reductase B2, mitochondrial, MSRB
Disclaimer
This product is for research use only. It is not intended for diagnostic or therapeutic use.
Publishing research using Anti-MSRB2 Antibody (A16167)? Please let us know so that we can list the citation on this page.

Proteins predicted to interact with MSRB2

Predicted protein interactions based upon String database. Revelancy score correlates with probability of interaction.
97.8% Relevancy Score
85.3% Relevancy Score
72.1% Relevancy Score
62.2% Relevancy Score
57.3% Relevancy Score
56.6% Relevancy Score
54.8% Relevancy Score
51.6% Relevancy Score