Primary Antibodies
Secondary Antibodies
Proteins & Peptides
ELISA Kits
About Us
Contact Us
Sign In/Register
0
ISO 9001:2015 Certified
Live Customer Support
4.5/5 on Trustpilot
100% Quality Guarantee
Home
Primary Antibodies
MSTO1 Antibodies
Anti-MSTO1 Antibody (A37453)
Anti-MSTO1 Antibody (A37453)
Overview
Specifications
Images
Enlarge Image
Enlarge Image
$645
Product Datasheet
Rabbit polyclonal antibody to MSTO1 for WB and IHC.
100% Guarantee
Price Match Guarantee
Product Size:
100µl
Quantity:
1
2
3
4
5
6
7
8
9
10
Add To Cart
Request a Quotation
Custom or Bulk Request
Shipping Information
Freight/Packing Charges:
$40
Dispatched from St. Louis, MO.
Lead Time: 6-9 business days.
Specifications
Name
Anti-MSTO1 Antibody
Description
Rabbit polyclonal antibody to MSTO1
Applications
WB
,
IHC
Reactivity
Human
Immunogen
Recombinant protein fragment contain a sequence corresponding to a region within amino acids 34 and 297 of MSTO1
Host
Rabbit
Clonality
Polyclonal
Conjugate
Unconjugated
Purification
Purified by antigen-affinity chromatography.
Formulation
Supplied in 0.1M Tris-buffered saline with 10% Glycerol (pH7.0). 0.01% Thimerosal was added as a preservative.
Storage
Shipped at 4°C. Upon delivery aliquot and store at -20°C. Avoid freeze/thaw cycles.
Synonyms
Protein misato homolog 1
Suitable Secondaries
Goat Anti-Rabbit IgG H&L Antibody (AP) (A294874)
Goat Anti-Rabbit IgG H&L Antibody (Biotin) (A294795)
Goat Anti-Rabbit IgG H&L Antibody (FITC) (A294887)
Goat Anti-Rabbit IgG H&L Antibody (HRP) (A294888)
See all Anti-Rabbit IgG Secondaries →
Disclaimer
This product is for research use only. It is not intended for diagnostic or therapeutic use.
Scientific Validation Data
Validation Data
(2)
Enlarge Image
Anti-MSTO1 Antibody (A37453)
Sample (30 µg of whole cell lysate) H1299 7.5% SDS PAGE MSTO1 antibody diluted at 1: 1000
Enlarge Image
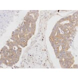
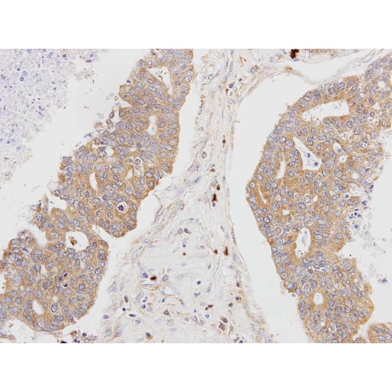
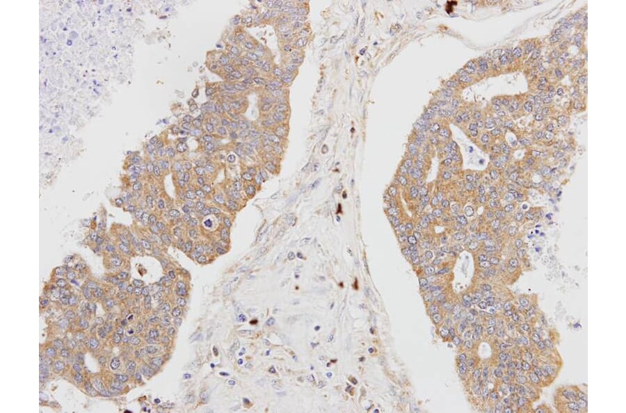
Immunohistochemistry - Anti-MSTO1 Antibody (A37453)
Immunohistochemical analysis of paraffin-embedded OVCA xenograft, using MSTO1 antibody at 1: 100 dilution.
Publishing research using Anti-MSTO1 Antibody (A37453)? Please
let us know
so that we can list the citation on this page.
Proteins predicted to interact with MSTO1
Predicted protein interactions based upon String database. Revelancy score correlates with probability of interaction.
CCT3 Antibodies
64% Relevancy Score
FXC1 Antibodies
58.7% Relevancy Score
TCP1 delta Antibodies
53.5% Relevancy Score
ATP13A1 Antibodies
51.3% Relevancy Score
TIM22 Antibodies
50.8% Relevancy Score
CCT6A Antibodies
49.9% Relevancy Score
TIMM17B Antibodies
48.5% Relevancy Score
TIM50 Antibodies
47.9% Relevancy Score
TCP1 theta Antibodies
47.6% Relevancy Score
Top