ISO 9001:2015 Certified
Live Customer Support
4.5/5 on Trustpilot
100% Quality Guarantee

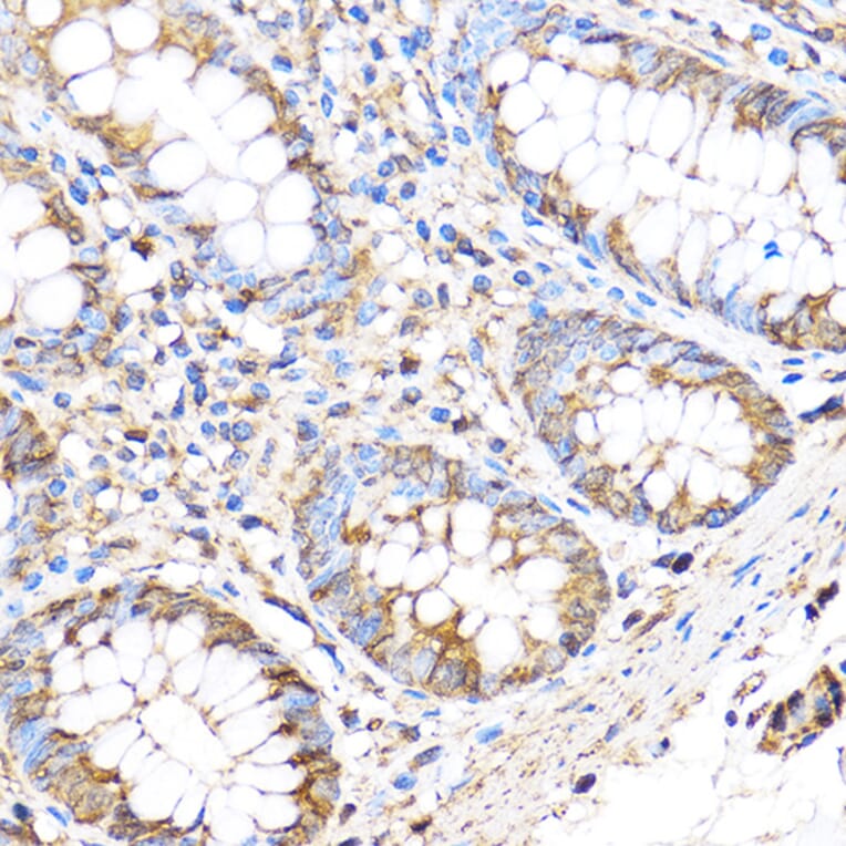
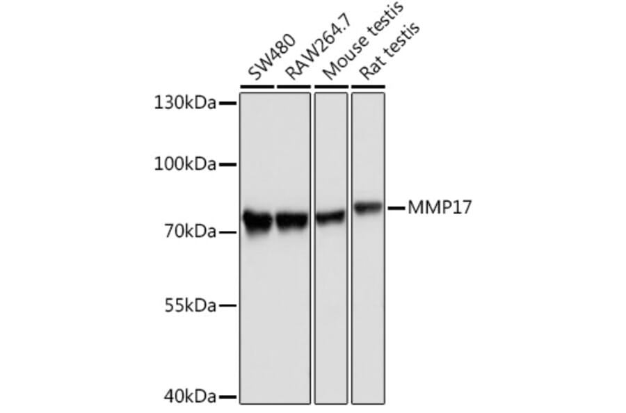
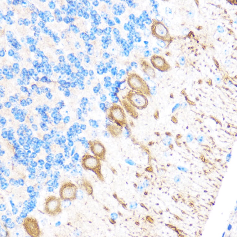
Anti-MT4-MMP Antibody (A9132)

Rabbit polyclonal antibody to MT4-MMP for WB and IHC.

Shipping Information

$40
Dispatched from St. Louis, MO.
Lead Time: 7-10 business days.
Name
Anti-MT4-MMP Antibody
Description
Rabbit polyclonal antibody to MT4-MMP.
Applications
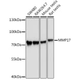
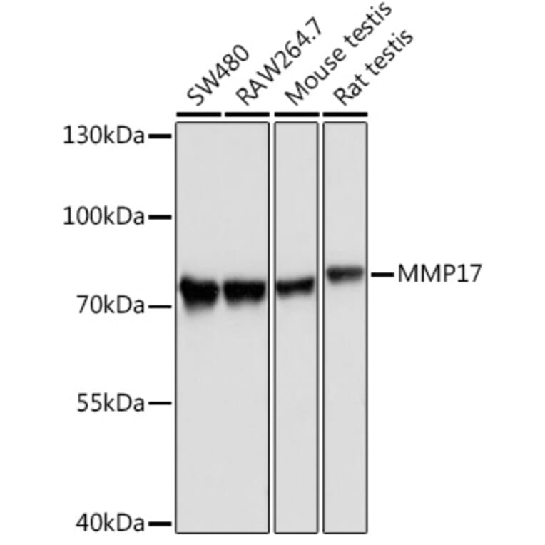
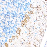
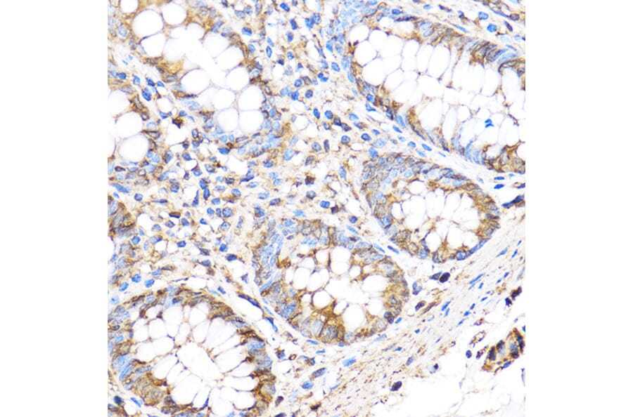
WB, IHC
Dilutions
WB: 1:500-1:2,000, IHC: 1:50-1:200
Reactivity
Human, Mouse, Rat
Immunogen
Recombinant fusion protein containing a sequence corresponding to amino acids 265-565 of human MMP17 (NP_057239.4).
Sequence
IMRPYYQGPVGDPLRYGLPYEDKVRVWQLYGVRESVSPTAQPEEPPLLPEPPDNRSSAPPRKDVPHRCSTHFDAVAQIRGEAFFFKGKYFWRLTRDRHLVSLQPAQMHRFWRGLPLHLDSVDAVYERTSDHKIVFFKGDRYWVFKDNNVEEGYPRPVSDFSLPPGGIDAAFSWAHNDRTYFFKDQLYWRYDDHTRHMDPGYPAQSPLWRGVPSTLDDAMRWSDGASYFFRGQEYWKVLDGELEVAPGYPQSTARDWLVCGDSQADGSVAAGVDAAEGPRAPPGQHDQSRSEDGYEVCSCTS
Host
Rabbit
Clonality
Polyclonal
Isotype
IgG
Conjugate

Unconjugated

Purification
Affinity purification.
Concentration
Lot Specific
Molecular Weight
75 kDa
Product Form
Liquid
Formulation
Supplied in Phosphate Buffered Saline, pH 7.3, with 50% Glycerol and 0.01% Thiomersal.
Storage
Shipped at 4°C. Upon delivery aliquot and store at -20°C. Avoid freeze/thaw cycles.
Synonyms
Matrix metalloproteinase-17, Membrane-type matrix metalloproteinase 4, Membrane-type-4 matrix metalloproteinase, MMP-17, MT-MMP 4, MT4MMP, MTMMP4
Disclaimer
This product is for research use only. It is not intended for diagnostic or therapeutic use.
Publishing research using Anti-MT4-MMP Antibody (A9132)? Please let us know so that we can list the citation on this page.

Alternative products to Anti-MT4-MMP Antibody (A9132)

Proteins predicted to interact with MMP17

Predicted protein interactions based upon String database. Revelancy score correlates with probability of interaction.
92% Relevancy Score
90.3% Relevancy Score
90.3% Relevancy Score
90.3% Relevancy Score
83.7% Relevancy Score
77.3% Relevancy Score
73.2% Relevancy Score
70.6% Relevancy Score
59.3% Relevancy Score