Western Blot - Anti-MTA2/PID Antibody [ARC1056] (A306152)
Western blot analysis of extracts of various cell lines, using Anti-MTA2/PID Antibody (A306152) at 1:1,000 dilution. The secondary antibody was Goat Anti-Rabbit IgG H&L Antibody (HRP) at 1:10,000 dilution. Lysates/proteins were present at 25µg per lane. The blocking buffer used was 3% non-fat dry milk in TBST. Detection was with a ECL Basic Kit. Exposure time: 3min.
Western Blot - Anti-MTA2/PID Antibody [ARC1056] (A306152)
Western blot analysis of extracts from wild type (WT) and MTA2 knockout (KO) 293T cells, using Anti-MTA2/PID Antibody (A306152) at 1:1,000 dilution. The secondary antibody was Goat Anti-Rabbit IgG H&L Antibody (HRP) at 1:10,000 dilution. Lysates/proteins were present at 25µg per lane. The blocking buffer used was 3% non-fat dry milk in TBST. Detection was with a ECL Basic Kit. Exposure time: 180s.
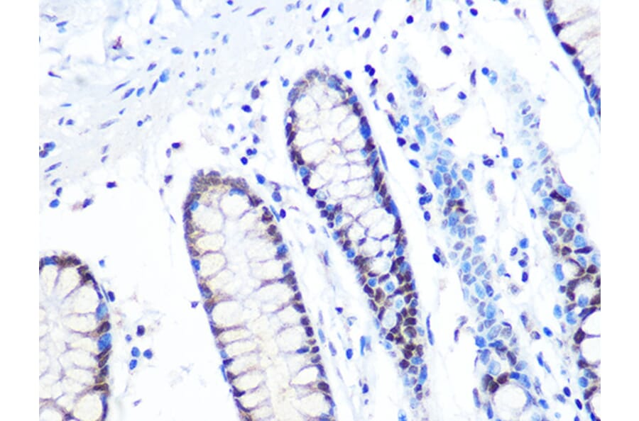
Immunohistochemistry analysis of paraffin-embedded human colon tissue using Anti-MTA2/PID Antibody (A306152) at a dilution of 1:100 (40x lens). Perform microwave antigen retrieval with 10 mM PBS buffer pH 7.2 before commencing with IHC staining protocol.
Western Blot - Anti-MTA2/PID Antibody [ARC1056] (A306152)
Immunoprecipitation analysis of 300µg extracts of HeLa cells using 3µg of Anti-MTA2/PID Antibody (A306152). This Western blot was performed on the immunoprecipitate using Anti-MTA2/PID Antibody (A306152) at a dilution of 1:500.
Chromatin immunoprecipitation (ChIP) analysis of extracts of HeLa cells, using Anti-MTA2/PID Antibody (A306152) and Rabbit IgG. The amount of immunoprecipitated DNA was checked by quantitative PCR. Histogram was constructed by the ratios of the immunoprecipitated DNA to the input.