ISO 9001:2015 Certified
Live Customer Support
4.5/5 on Trustpilot
100% Quality Guarantee

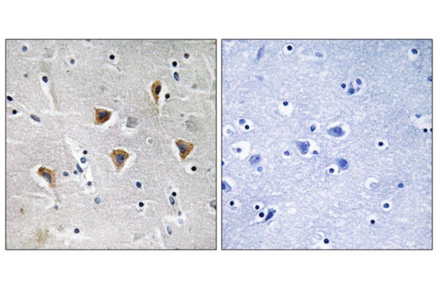
Anti-MTERF Antibody (A99621)

Rabbit polyclonal antibody to MTERF for WB, IHC, IF and ELISA.

Shipping Information

$40
Dispatched from St. Louis, MO.
Lead Time: 6-8 business days.
Name
Anti-MTERF Antibody
Description
Rabbit polyclonal antibody to MTERF.
Applications
WB, IHC, IF, ELISA
Dilutions
WB: 1:500~1:1000, IHC: 1:50~1:100, ELISA: 1:10000
Reactivity
Human, Rat, Mouse
Cross Reactivity
No reported cross-reactivity.
Immunogen
Synthetic peptide derived from human MTERF (amino acids 267-316).
Host
Rabbit
Clonality
Polyclonal
Isotype
IgG
Conjugate

Unconjugated

Purification
Purified from rabbit serum by antigen affinity chromatography using the immunizing peptide.
Molecular Weight
45kDa
Product Form
Liquid
Formulation
Supplied in Phosphate Buffered Saline (without Mg2+ and Ca2+), pH 7.4, with 150mM NaCl, 0.02% Sodium Azide, and 50% Glycerol.
Storage
Shipped at 4°C. Upon delivery aliquot and store at -20°C. Avoid freeze / thaw cycles.
Synonyms
Mitochondrial transcription termination factor 1, mTERF1, Transcription termination factor 1, mitochondrial
Disclaimer
This product is for research use only. It is not intended for diagnostic or therapeutic use.
Publishing research using Anti-MTERF Antibody (A99621)? Please let us know so that we can list the citation on this page.

Alternative products to Anti-MTERF Antibody (A99621)

Proteins predicted to interact with MTERF

Predicted protein interactions based upon String database. Revelancy score correlates with probability of interaction.
86.4% Relevancy Score
83.3% Relevancy Score
83% Relevancy Score
79.3% Relevancy Score
78.2% Relevancy Score
65.4% Relevancy Score
60.7% Relevancy Score
58.6% Relevancy Score