ISO 9001:2015 Certified
Live Customer Support
4.5/5 on Trustpilot
100% Quality Guarantee

Anti-MTF1 Antibody [MTF1/2649] - BSA and Azide free (A252571)

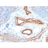
Mouse monoclonal [MTF1/2649] antibody to MTF1 for IHC-P.

Alternative Formats and ConjugatesAlternative Formats

Shipping Information

$40
Dispatched from St. Louis, MO.
Lead Time: 5-8 business days.
Name
Anti-MTF1 Antibody [MTF1/2649] - BSA and Azide free
Description
Mouse monoclonal [MTF1/2649] antibody to MTF1.
Specificity
The metal-responsive element (MRE)-binding transcription factor (MTF-1) stimulates the expression of metallothioneins in response to the exposure of cells to heavy metals. MTF-1 contains six zinc fingers in the DNA binding domain. The phosphorylation of MTF-1 in response to metal exposure appears to play a significant role in the ability of MTF-1 to activate metallothionein transcription. In addition to its role in metallothionein activation, MTF-1 is involved in a post-transcription regulatory complex for ribosomal protein S25. MTF-1, La and p53 inhibit the nuclear export of S25 mRNA in response to nutrient depravation. Furthermore, MTF-1 acts as a chromatin insulator on integrated transgenes in cultured cells to insulate active loci against chromatin silencing.
Applications
IHC-P
Dilutions
IHC-P: 1-2 µg/ml
Reactivity
Human
Immunogen
Recombinant full-length human MTF1 protein.
Host
Mouse
Clonality
Monoclonal
Clone ID
MTF1/2649
Isotype
IgG1
Light Chains
kappa
Conjugate

Unconjugated

Purification
Protein A/G chromatography.
Concentration
1 mg/ml
Molecular Weight
70 kDa
Product Form
Liquid
Formulation
Supplied in 10mM Phosphate Buffered Saline; without Sodium Azide and carrier free.
Storage
Shipped at 4°C. Upon delivery aliquot and store at -20°C. Avoid freeze / thaw cycles.
General Notes
This monoclonal antibody is also available in a different formulation with BSA and Sodium Azide - Anti-MTF1 Antibody [MTF1/2649] (A249391).
Synonyms
Metal regulatory transcription factor 1, MRE-binding transcription factor, Transcription factor MTF-1
Disclaimer
This product is for research use only. It is not intended for diagnostic or therapeutic use.
Publishing research using Anti-MTF1 Antibody [MTF1/2649] - BSA and Azide free (A252571)? Please let us know so that we can list the citation on this page.

Alternative products to Anti-MTF1 Antibody [MTF1/2649] - BSA and Azide free (A252571)

Proteins predicted to interact with MTF1

Predicted protein interactions based upon String database. Revelancy score correlates with probability of interaction.
89.1% Relevancy Score
77% Relevancy Score
76.4% Relevancy Score
75.2% Relevancy Score
70.6% Relevancy Score
57.8% Relevancy Score
55.3% Relevancy Score
54.9% Relevancy Score
53.9% Relevancy Score