Primary Antibodies
Secondary Antibodies
Proteins & Peptides
ELISA Kits
About Us
Contact Us
Sign In/Register
0
ISO 9001:2015 Certified
Live Customer Support
4.5/5 on Trustpilot
100% Quality Guarantee
Home
Primary Antibodies
Melatonin Receptor 1A Antibodies
Anti-MTNR1A Antibody (A37256)
Anti-MTNR1A Antibody (A37256)
Overview
Specifications
Images
Enlarge Image
Enlarge Image
$405
Rabbit polyclonal antibody to MTNR1A for WB and IHC.
100% Guarantee
Price Match Guarantee
Product Size:
100µl
Quantity:
1
2
3
4
5
6
7
8
9
10
Add To Cart
Request a Quotation
Custom or Bulk Request
Shipping Information
Freight/Packing Charges:
$40
Dispatched from St. Louis, MO.
Lead Time: 6-9 business days.
Specifications
Name
Anti-MTNR1A Antibody
Description
Rabbit polyclonal antibody to MTNR1A
Specificity
The antibody detects endogenous levels of total MTNR1A protein.
Applications
WB
,
IHC
Reactivity
Human, Mouse
Immunogen
Synthetic peptide corresponding to a region derived from internal residues of human melatonin receptor 1A
Host
Rabbit
Clonality
Polyclonal
Conjugate
Unconjugated
Purification
Antigen affinity purification.
Concentration
1.3 mg/ml
Formulation
Rabbit IgG in pH7.3 PBS, 0.05% NaN3, 50% Glycerol.
Storage
Store at -20˚C
Synonyms
Mel-1A-R, Mel1a receptor, Melatonin receptor type 1A
Suitable Secondaries
Goat Anti-Rabbit IgG H&L Antibody (AP) (A294874)
Goat Anti-Rabbit IgG H&L Antibody (Biotin) (A294795)
Goat Anti-Rabbit IgG H&L Antibody (FITC) (A294887)
Goat Anti-Rabbit IgG H&L Antibody (HRP) (A294888)
See all Anti-Rabbit IgG Secondaries →
Disclaimer
This product is for research use only. It is not intended for diagnostic or therapeutic use.
Scientific Validation Data
Validation Data
(2)
Enlarge Image
Anti-MTNR1A Antibody (A37256)
Gel: 10% SDS-PAGE Lysates (from left to right): Mouse brain tissue Amount of lysate: 30ug per lane Primary antibody: 1/650 dilution Secondary antibody dilution: 1/8000 Exposure time: 1 minute
Enlarge Image
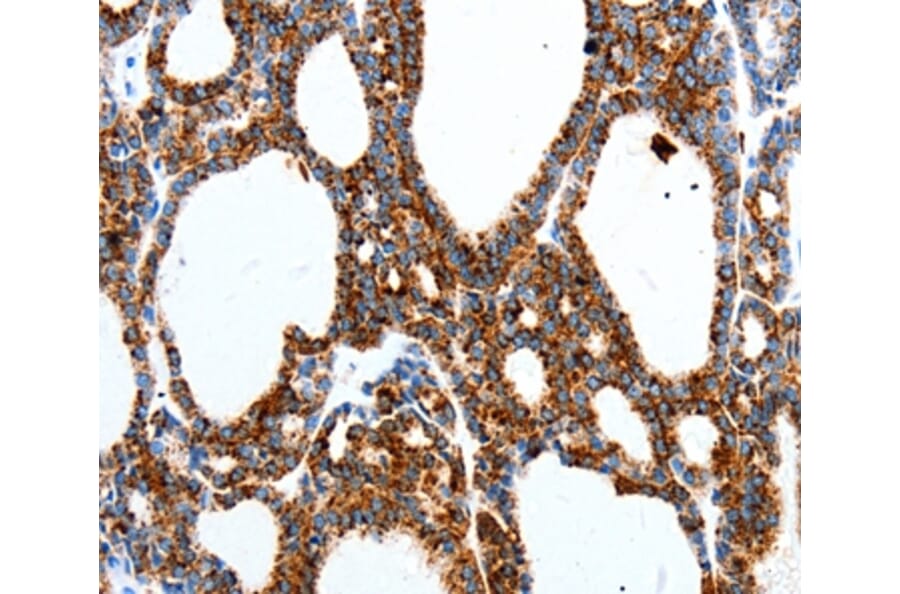
Immunohistochemistry - Anti-MTNR1A Antibody (A37256)
Immunohistochemical analysis of paraffin-embedded Human thyroid cancer tissue using #36989 at dilution 1/40.
Publishing research using Anti-MTNR1A Antibody (A37256)? Please
let us know
so that we can list the citation on this page.
Alternative products to Anti-MTNR1A Antibody (A37256)
A97400
Anti-MTR1A Antibody
Rabbit polyclonal antibody to MTR1A for IF and ELISA.
A28782
Anti-MTNR1A Antibody
Rabbit polyclonal antibody to MTNR1A for WB.
A41596
Anti-MEL-1A-R Antibody
Rabbit polyclonal antibody to MEL-1A-R for WB.
A97400
Anti-MTR1A Antibody
Rabbit polyclonal antibody to MTR1A for IF and ELISA.
A28782
Anti-MTNR1A Antibody
Rabbit polyclonal antibody to MTNR1A for WB.
A41596
Anti-MEL-1A-R Antibody
Rabbit polyclonal antibody to MEL-1A-R for WB.
Proteins predicted to interact with Melatonin Receptor 1A
Predicted protein interactions based upon String database. Revelancy score correlates with probability of interaction.
GNB1 Antibodies
98% Relevancy Score
GNAI1 Antibodies
97.6% Relevancy Score
GPR50 Antibodies
95.5% Relevancy Score
Melatonin Receptor 1B Antibodies
94.5% Relevancy Score
GNG2 Antibodies
94% Relevancy Score
FAT1 Antibodies
87.1% Relevancy Score
GNAI2 Antibodies
83.7% Relevancy Score
GNAI3 Antibodies
83.1% Relevancy Score
FAT3 Antibodies
80.4% Relevancy Score
Top