Primary Antibodies
Secondary Antibodies
Proteins & Peptides
ELISA Kits
About Us
Contact Us
Sign In/Register
0
ISO 9001:2015 Certified
Live Customer Support
4.5/5 on Trustpilot
100% Quality Guarantee
Home
Primary Antibodies
SKIV2L2 Antibodies
Anti-MTR4 Antibody (A38902)
Anti-MTR4 Antibody (A38902)
Overview
Specifications
Images
Enlarge Image
Enlarge Image
Enlarge Image
Enlarge Image
Enlarge Image
Enlarge Image
Enlarge Image
Enlarge Image
+1
$390
Rabbit polyclonal antibody to MTR4 for WB and IHC.
100% Guarantee
Price Match Guarantee
Product Size:
50µl
100µl
Quantity:
1
2
3
4
5
6
7
8
9
10
Add To Cart
Request a Quotation
Custom or Bulk Request
Shipping Information
Freight/Packing Charges:
$40
Dispatched from St. Louis, MO.
Lead Time: 6-9 business days.
Specifications
Name
Anti-MTR4 Antibody
Description
Rabbit polyclonal antibody to MTR4
Specificity
The antibody detects endogenous level of total MTR4 antibody.
Applications
WB
,
IHC
Reactivity
Human, Mouse, Rat
Immunogen
Recombinant protein of human MTR4.
Host
Rabbit
Clonality
Polyclonal
Conjugate
Unconjugated
Purification
Antibodies were purified by affinity purification using immunogen.
Concentration
1 mg/ml
Formulation
Supplied at 1.0mg / mL in phosphate buffered saline (without Mg2+ and Ca2+), pH 7.4, 150mM NaCl, 0.02% sodium azide and 50% glycerol.
Storage
Store at -20˚C
Synonyms
ATP-dependent RNA helicase DOB1, ATP-dependent RNA helicase SKIV2L2, DOB1, Exosome RNA helicase MTR4, KIAA0052, MTREX, Superkiller viralicidic activity 2-like 2, TRAMP-like complex helicase
Suitable Secondaries
Goat Anti-Rabbit IgG H&L Antibody (AP) (A294874)
Goat Anti-Rabbit IgG H&L Antibody (Biotin) (A294795)
Goat Anti-Rabbit IgG H&L Antibody (FITC) (A294887)
Goat Anti-Rabbit IgG H&L Antibody (HRP) (A294888)
See all Anti-Rabbit IgG Secondaries →
Disclaimer
This product is for research use only. It is not intended for diagnostic or therapeutic use.
Scientific Validation Data
Validation Data
(8)
Enlarge Image
Anti-MTR4 Antibody (A38902)
Western blot analysis of extracts of various cell lines, using MTR4 antibody.
Enlarge Image
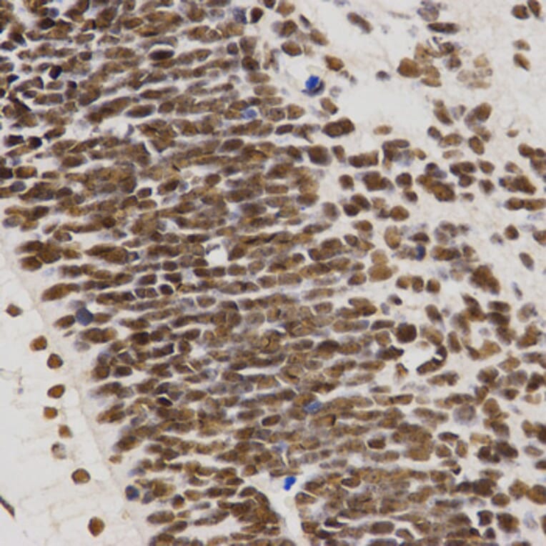
Immunohistochemistry - Anti-MTR4 Antibody (A38902)
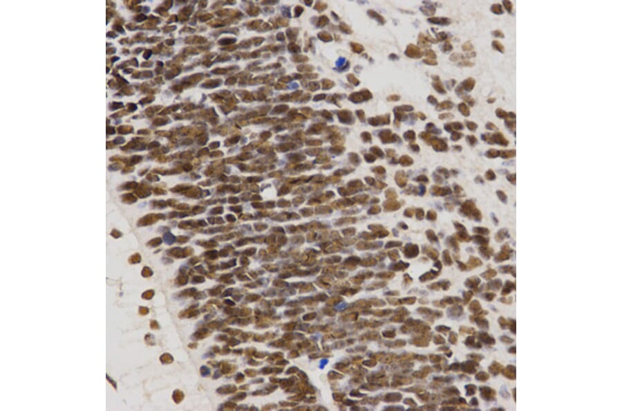
Immunohistochemistry analysis of paraffin-embedded rat brain tissue using MTR4 antibody at dilution of 1: 200 (x400 lens).
Enlarge Image
Immunohistochemistry - Anti-MTR4 Antibody (A38902)
Immunohistochemistry analysis of paraffin-embedded rat heart tissue using MTR4 antibody at dilution of 1: 200 (x400 lens).
Enlarge Image
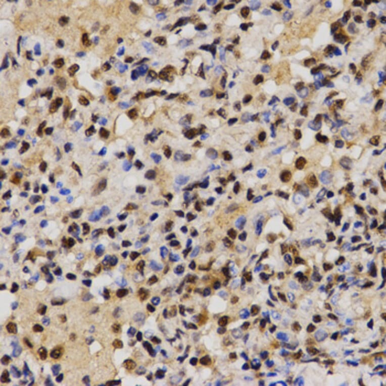
Immunohistochemistry - Anti-MTR4 Antibody (A38902)
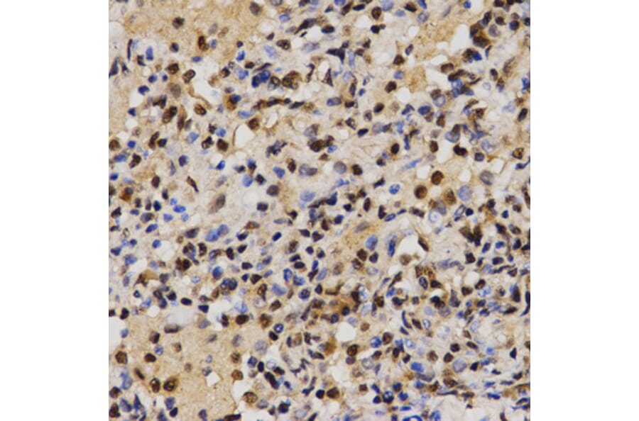
Immunohistochemistry analysis of paraffin-embedded human lung cancer tissue using MTR4 antibody at dilution of 1: 200 (x400 lens).
Enlarge Image
Immunohistochemistry - Anti-MTR4 Antibody (A38902)
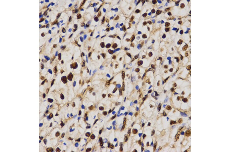
Immunohistochemistry analysis of paraffin-embedded human kidney cancer tissue using MTR4 antibody at dilution of 1: 200 (x400 lens).
Enlarge Image
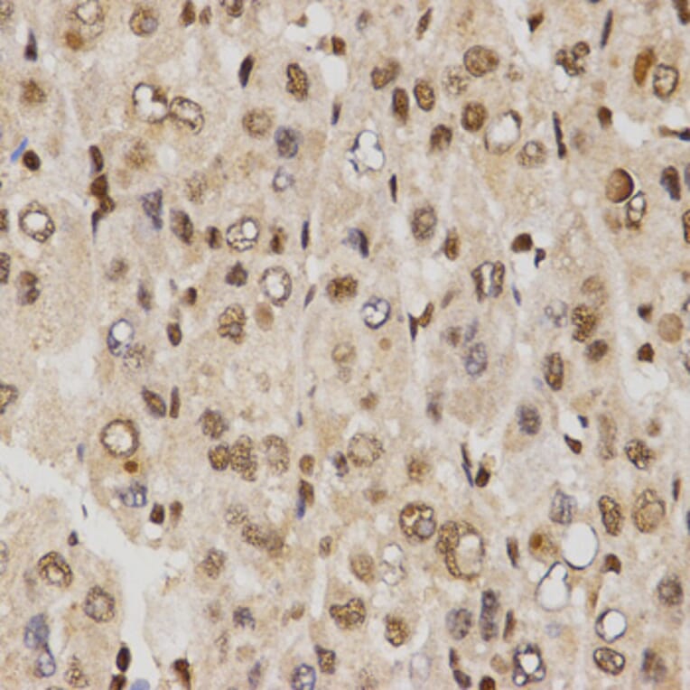
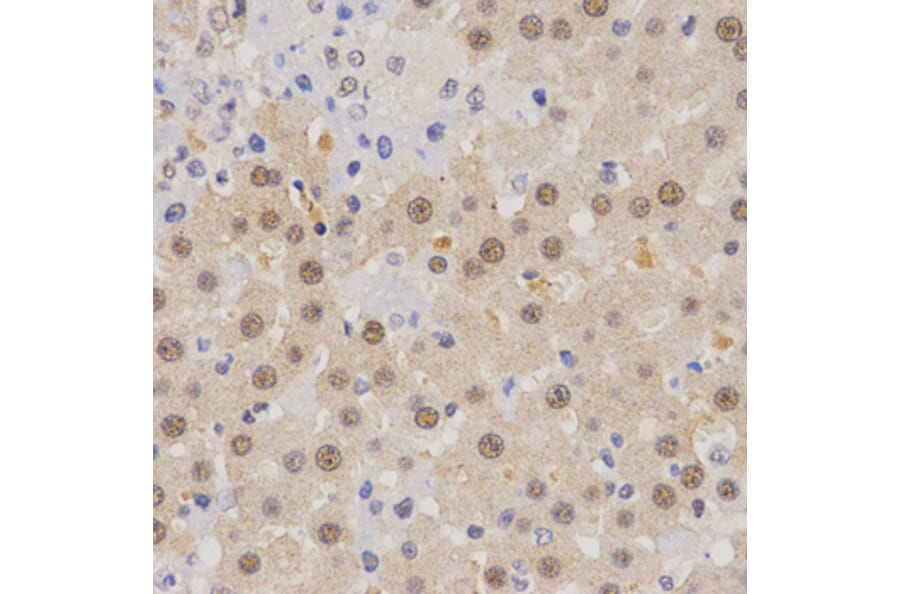
Immunohistochemistry - Anti-MTR4 Antibody (A38902)
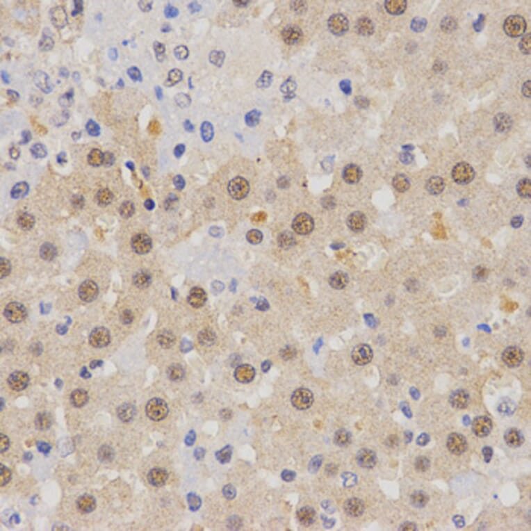
Immunohistochemistry analysis of paraffin-embedded rat liver tissue using MTR4 antibody at dilution of 1: 200 (x400 lens).
Enlarge Image
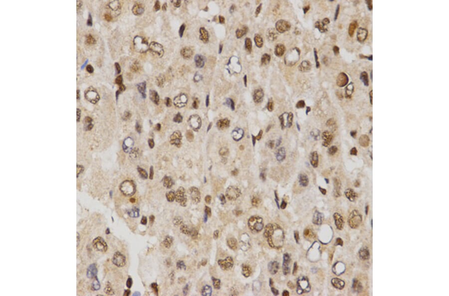
Immunohistochemistry - Anti-MTR4 Antibody (A38902)
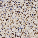
Immunohistochemistry analysis of paraffin-embedded human liver cancer tissue using MTR4 antibody at dilution of 1: 200 (x400 lens).
Enlarge Image
Immunohistochemistry - Anti-MTR4 Antibody (A38902)
Immunohistochemistry analysis of paraffin-embedded human embryo brain tissue using MTR4 antibody at dilution of 1: 200 (x400 lens).
Show more images
Publishing research using Anti-MTR4 Antibody (A38902)? Please
let us know
so that we can list the citation on this page.
Alternative products to Anti-MTR4 Antibody (A38902)
(4)
A14853
Anti-MTR4 Antibody
Rabbit polyclonal antibody to MTR4 for WB, IHC and IP.
(2)
A30835
Anti-SKIV2L2 Antibody
Rabbit polyclonal antibody to SKIV2L2 for WB and IHC.
(4)
A14853
Anti-MTR4 Antibody
Rabbit polyclonal antibody to MTR4 for WB, IHC and IP.
(2)
A30835
Anti-SKIV2L2 Antibody
Rabbit polyclonal antibody to SKIV2L2 for WB and IHC.
Proteins predicted to interact with SKIV2L2
Predicted protein interactions based upon String database. Revelancy score correlates with probability of interaction.
C1D Antibodies
99.9% Relevancy Score
TRF41 Antibodies
99.9% Relevancy Score
EXOSC9 Antibodies
99.9% Relevancy Score
ZCCHC7 Antibodies
99.9% Relevancy Score
RBM7 Antibodies
99.9% Relevancy Score
EXOSC3 Antibodies
99.8% Relevancy Score
PAPD5 Antibodies
99.8% Relevancy Score
EXOSC7 Antibodies
99.8% Relevancy Score
EXOSC4 Antibodies
99.8% Relevancy Score
Top