Western blot analysis of extracts of HT-29 cells, using Anti-MUC2 Antibody (A91628) at 1:1,000 dilution. The secondary antibody was Goat Anti-Rabbit IgG H&L Antibody (HRP) at 1:10,000 dilution. Lysates/proteins were present at 25µg per lane. The blocking buffer used was 3% non-fat dry milk in TBST. Detection was with a ECL Enhanced Kit (RM00021). Exposure time: 180s.
Western blot analysis of extracts of various cell lines, using Anti-MUC2 Antibody (A91628) at 1:500 dilution. The secondary antibody was Goat Anti-Rabbit IgG H&L Antibody (HRP) at 1:10,000 dilution. Lysates/proteins were present at 25µg per lane. The blocking buffer used was 3% non-fat dry milk in TBST. Detection was with a ECL Enhanced Kit (RM00021). Exposure time: 180s.
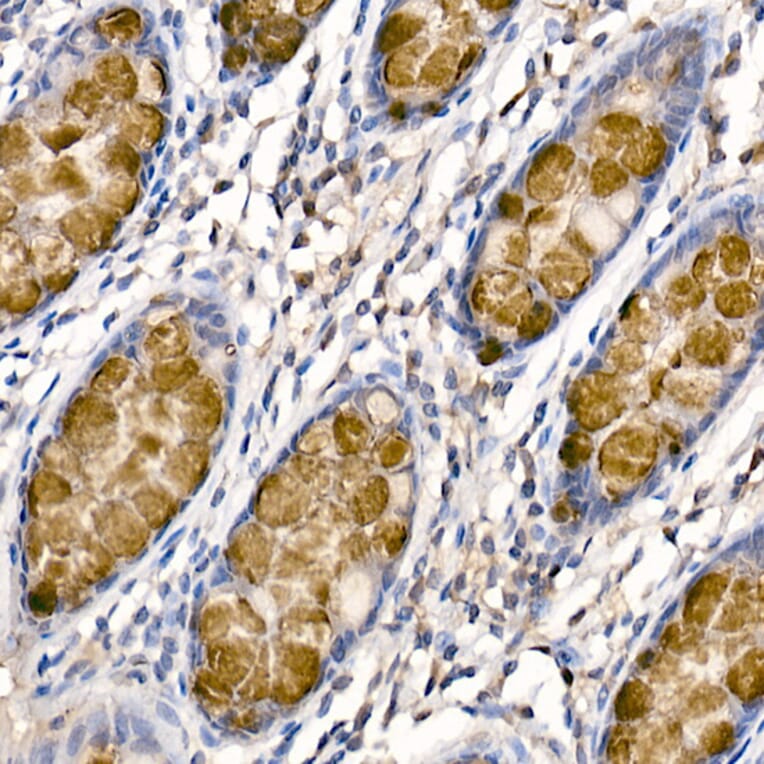
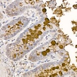
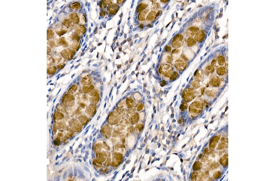
Immunohistochemistry analysis of paraffin-embedded human colon carcinoma tissue using Anti-MUC2 Antibody (A91628) at a dilution of 1:300 (40x lens). Perform high pressure antigen retrieval with 10 mM citrate buffer pH 6.0 before commencing with IHC staining protocol.
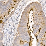
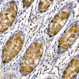
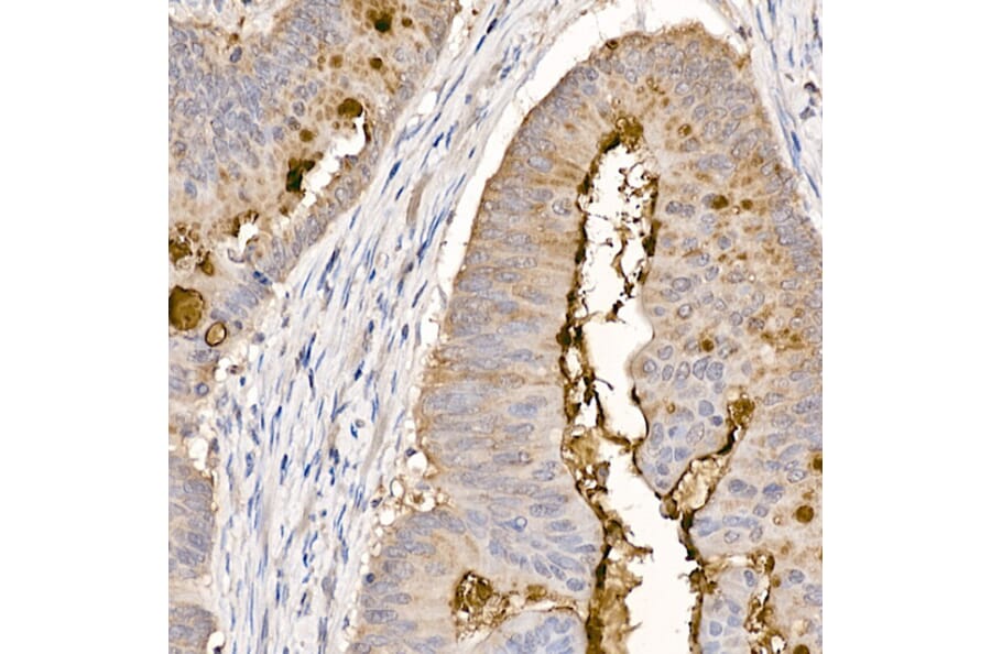
Immunohistochemistry analysis of paraffin-embedded human colon tissue using Anti-MUC2 Antibody (A91628) at a dilution of 1:300 (40x lens). Perform high pressure antigen retrieval with 10 mM citrate buffer pH 6.0 before commencing with IHC staining protocol.
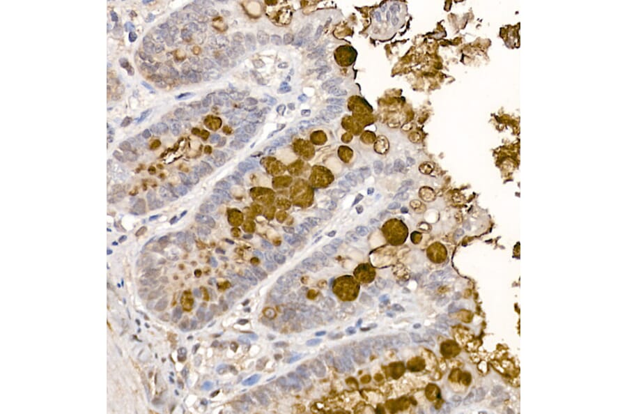
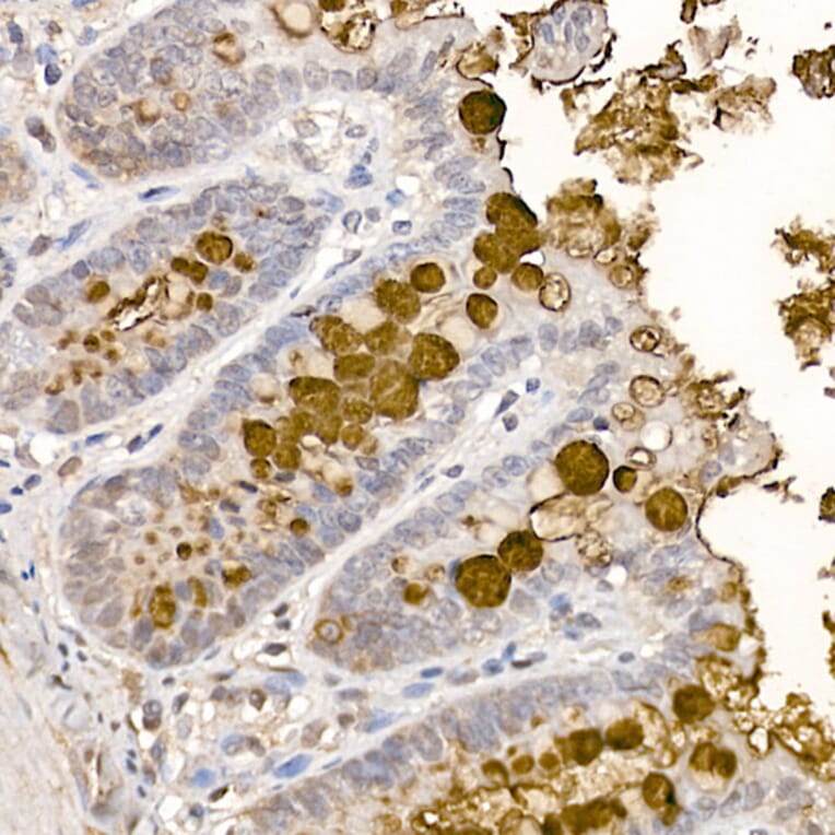
Immunohistochemistry analysis of paraffin-embedded rat intestine using Anti-MUC2 Antibody (A91628) at a dilution of 1:300 (40x lens). Perform high pressure antigen retrieval with 10 mM citrate buffer pH 6.0 before commencing with IHC staining protocol.
Immunofluorescence analysis of rat rectum cells using Anti-MUC2 Antibody (A91628) at a dilution of 1:50 (40x lens). DAPI was used to stain the cell nuclei (blue).
Immunofluorescence analysis of human colon carcinoma cells using Anti-MUC2 Antibody (A91628) at a dilution of 1:50 (40x lens). DAPI was used to stain the cell nuclei (blue).
Immunofluorescence analysis of mouse colon cells using Anti-MUC2 Antibody (A91628) at a dilution of 1:50 (40x lens). DAPI was used to stain the cell nuclei (blue).