Primary Antibodies
Secondary Antibodies
Proteins & Peptides
ELISA Kits
About Us
Contact Us
Sign In/Register
0
ISO 9001:2015 Certified
Live Customer Support
4.5/5 on Trustpilot
100% Quality Guarantee
Home
Primary Antibodies
MUC5B Antibodies
Anti-MUC5B Antibody (A46139)
Anti-MUC5B Antibody (A46139)
Overview
Specifications
Images
Enlarge Image
$430
Product Datasheet
Rabbit polyclonal antibody to MUC5B for IHC.
100% Guarantee
Price Match Guarantee
Product Size:
100µl
Quantity:
1
2
3
4
5
6
7
8
9
10
Add To Cart
Request a Quotation
Custom or Bulk Request
Shipping Information
Freight/Packing Charges:
$40
Dispatched from St. Louis, MO.
Lead Time: 6-9 business days.
Specifications
Name
Anti-MUC5B Antibody
Description
Rabbit polyclonal antibody to MUC5B
Specificity
The antibody detects endogenous levels of total MUC5B protein.
Applications
IHC
Reactivity
Human
Immunogen
Synthetic peptide corresponding to residues near the C terminal of human mucin 5B, oligomeric mucus / gel-forming
Host
Rabbit
Clonality
Polyclonal
Conjugate
Unconjugated
Purification
Antigen affinity purification.
Concentration
2.1 mg/mL
Formulation
Supplied in PBS, pH 7.3, containing 0.05% sodium azide and 50% glycerol.
Storage
Shipped at 4°C. Upon delivery aliquot and store at -20°C. Avoid freeze/thaw cycles.
Synonyms
Cervical mucin, High molecular weight salivary mucin MG1, MUC-5B, MUC5, Mucin-5 subtype B, tracheobronchial, Mucin-5B, Sublingual gland mucin
Suitable Secondaries
Goat Anti-Rabbit IgG H&L Antibody (AP) (A294874)
Goat Anti-Rabbit IgG H&L Antibody (Biotin) (A294795)
Goat Anti-Rabbit IgG H&L Antibody (FITC) (A294887)
Goat Anti-Rabbit IgG H&L Antibody (HRP) (A294888)
See all Anti-Rabbit IgG Secondaries →
Disclaimer
This product is for research use only. It is not intended for diagnostic or therapeutic use.
Scientific Validation Data
Validation Data
(1)
Enlarge Image
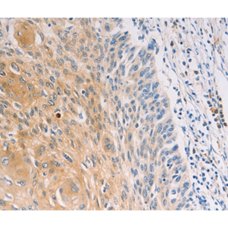
Immunohistochemistry - Anti-MUC5B Antibody (A46139)
Immunohistochemical analysis of paraffin-embedded Human cervical cancer tissue using #37171 at dilution 1/30.
Publishing research using Anti-MUC5B Antibody (A46139)? Please
let us know
so that we can list the citation on this page.
Alternative products to Anti-MUC5B Antibody (A46139)
A121148
Anti-MUC5B Antibody
Goat polyclonal antibody to MUC5B for ELISA and IF.
A326265
Anti-MUC5B Antibody
Goat polyclonal antibody to MUC5B for ELISA and IHC.
A121148
Anti-MUC5B Antibody
Goat polyclonal antibody to MUC5B for ELISA and IF.
A326265
Anti-MUC5B Antibody
Goat polyclonal antibody to MUC5B for ELISA and IHC.
Proteins predicted to interact with MUC5B
Predicted protein interactions based upon String database. Revelancy score correlates with probability of interaction.
MUC5AC Antibodies
98.8% Relevancy Score
MUC7 Antibodies
97.2% Relevancy Score
MUC1 Antibodies
96.9% Relevancy Score
MUC12 Antibodies
93.6% Relevancy Score
MUC13 Antibodies
92.6% Relevancy Score
MUC17 Antibodies
91.8% Relevancy Score
MUC20 Antibodies
91.7% Relevancy Score
MUC3 Antibodies
90.9% Relevancy Score
DMBT1 Antibodies
90.2% Relevancy Score
Top