Primary Antibodies
Secondary Antibodies
Proteins & Peptides
ELISA Kits
About Us
Contact Us
Sign In/Register
0
ISO 9001:2015 Certified
Live Customer Support
4.5/5 on Trustpilot
100% Quality Guarantee
Home
Primary Antibodies
Gastric Mucin Antibodies
Anti-MUC6 Antibody (A46875)
Anti-MUC6 Antibody (A46875)
Overview
Specifications
Images
Enlarge Image
Enlarge Image
$405
Rabbit polyclonal antibody to MUC6 for IHC.
100% Guarantee
Price Match Guarantee
Product Size:
100µl
Quantity:
1
2
3
4
5
6
7
8
9
10
Add To Cart
Request a Quotation
Custom or Bulk Request
Shipping Information
Freight/Packing Charges:
$40
Dispatched from St. Louis, MO.
Lead Time: 6-9 business days.
Specifications
Name
Anti-MUC6 Antibody
Description
Rabbit polyclonal antibody to MUC6
Specificity
The antibody detects endogenous levels of total MUC6 protein.
Applications
IHC
Reactivity
Human
Immunogen
Synthetic peptide corresponding to a region derived from internal residues of human mucin 6, oligomeric mucus / gel-forming
Host
Rabbit
Clonality
Polyclonal
Conjugate
Unconjugated
Purification
Antigen affinity purification.
Concentration
1.5mg / ml
Formulation
Rabbit IgG in pH7.3 PBS, 0.05% NaN3, 50% Glycerol.
Storage
Store at -20˚C
Synonyms
Gastric mucin-6, MUC-6, Mucin-6
Suitable Secondaries
Goat Anti-Rabbit IgG H&L Antibody (AP) (A294874)
Goat Anti-Rabbit IgG H&L Antibody (Biotin) (A294795)
Goat Anti-Rabbit IgG H&L Antibody (FITC) (A294887)
Goat Anti-Rabbit IgG H&L Antibody (HRP) (A294888)
See all Anti-Rabbit IgG Secondaries →
Disclaimer
This product is for research use only. It is not intended for diagnostic or therapeutic use.
Scientific Validation Data
Validation Data
(2)
Enlarge Image
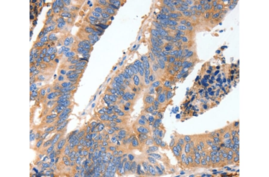
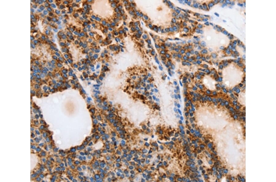
Immunohistochemistry - Anti-MUC6 Antibody (A46875)
Immunohistochemical analysis of paraffin-embedded Human thyroid cancer tissue using #37168 at dilution 1/40.
Enlarge Image
Immunohistochemistry - Anti-MUC6 Antibody (A46875)
Immunohistochemical analysis of paraffin-embedded Human colon tissue using #37168 at dilution 1/40.
Publishing research using Anti-MUC6 Antibody (A46875)? Please
let us know
so that we can list the citation on this page.
Alternative products to Anti-MUC6 Antibody (A46875)
(8)
A100017
Anti-MUC6 Antibody [ABT-MUC6]
Mouse monoclonal (ABT-MUC6) antibody to MUC6 for IHC.
(3)
A249445
Anti-MUC6 Antibody [MUC6/1553R]
Recombinant rabbit monoclonal [MUC6/1553R] antibody to MUC6 for IHC-P.
(2)
A249442
Anti-MUC6 Antibody [CLH5]
Mouse monoclonal [CLH5] antibody to MUC6 for Flow Cytometry, IF and IHC-P.
(2)
A252622
Anti-MUC6 Antibody [CLH5] - BSA and Azide free
Mouse monoclonal [CLH5] antibody to MUC6 for Flow Cytometry, IF and IHC-P.
A28369
Anti-MUC6 Antibody
Rabbit polyclonal antibody to MUC6 for WB.
(3)
A252625
Anti-MUC6 Antibody [MUC6/1553R] - BSA and Azide free
Recombinant rabbit monoclonal [MUC6/1553R] antibody to MUC6 for IHC-P.
A249443
Anti-MUC6 Antibody [SPM598]
Mouse monoclonal [SPM598] antibody to MUC6 for Flow Cytometry, IF and IHC-P.
A252623
Anti-MUC6 Antibody [SPM598] - BSA and Azide free
Mouse monoclonal [SPM598] antibody to MUC6 for Flow Cytometry, IF and IHC-P.
A329388
Anti-Gastric Mucin Antibody
Rabbit polyclonal antibody to Gastric Mucin for WB and ELISA.
(2)
A252624
Anti-MUC6 Antibody [MUC6/916] - BSA and Azide free
Mouse monoclonal [MUC6/916] antibody to MUC6 for IHC-P.
(2)
A249444
Anti-MUC6 Antibody [MUC6/916]
Mouse monoclonal [MUC6/916] antibody to MUC6 for IHC-P.
(8)
A100017
Anti-MUC6 Antibody [ABT-MUC6]
Mouse monoclonal (ABT-MUC6) antibody to MUC6 for IHC.
(3)
A249445
Anti-MUC6 Antibody [MUC6/1553R]
Recombinant rabbit monoclonal [MUC6/1553R] antibody to MUC6 for IHC-P.
(2)
A249442
Anti-MUC6 Antibody [CLH5]
Mouse monoclonal [CLH5] antibody to MUC6 for Flow Cytometry, IF and IHC-P.
(2)
A252622
Anti-MUC6 Antibody [CLH5] - BSA and Azide free
Mouse monoclonal [CLH5] antibody to MUC6 for Flow Cytometry, IF and IHC-P.
A28369
Anti-MUC6 Antibody
Rabbit polyclonal antibody to MUC6 for WB.
(3)
A252625
Anti-MUC6 Antibody [MUC6/1553R] - BSA and Azide free
Recombinant rabbit monoclonal [MUC6/1553R] antibody to MUC6 for IHC-P.
A249443
Anti-MUC6 Antibody [SPM598]
Mouse monoclonal [SPM598] antibody to MUC6 for Flow Cytometry, IF and IHC-P.
A252623
Anti-MUC6 Antibody [SPM598] - BSA and Azide free
Mouse monoclonal [SPM598] antibody to MUC6 for Flow Cytometry, IF and IHC-P.
A329388
Anti-Gastric Mucin Antibody
Rabbit polyclonal antibody to Gastric Mucin for WB and ELISA.
(2)
A252624
Anti-MUC6 Antibody [MUC6/916] - BSA and Azide free
Mouse monoclonal [MUC6/916] antibody to MUC6 for IHC-P.
(2)
A249444
Anti-MUC6 Antibody [MUC6/916]
Mouse monoclonal [MUC6/916] antibody to MUC6 for IHC-P.
See all MUC6 Antibodies
Proteins predicted to interact with Gastric Mucin
Predicted protein interactions based upon String database. Revelancy score correlates with probability of interaction.
MUC2 Antibodies
99.3% Relevancy Score
MUC1 Antibodies
97.7% Relevancy Score
MUC7 Antibodies
95% Relevancy Score
MUC5AC Antibodies
93% Relevancy Score
MUC4 Antibodies
91.1% Relevancy Score
MUC12 Antibodies
90.7% Relevancy Score
MUC17 Antibodies
90.5% Relevancy Score
MUC13 Antibodies
89.9% Relevancy Score
TFF2 Antibodies
89.8% Relevancy Score
Top