ISO 9001:2015 Certified
Live Customer Support
4.5/5 on Trustpilot
100% Quality Guarantee

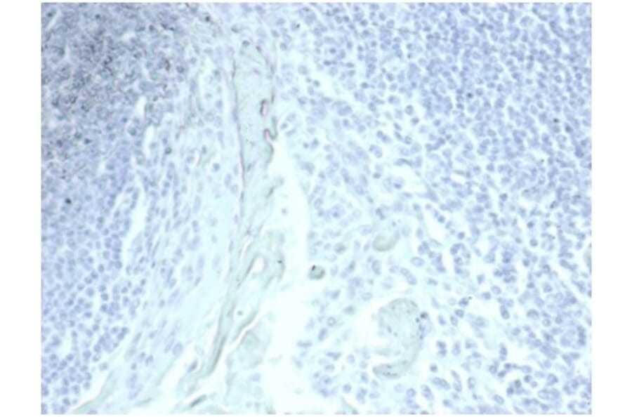
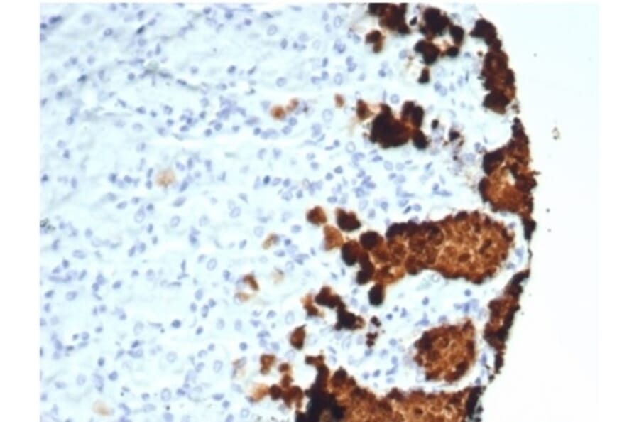
Recombinant Anti-Mucin 5AC Antibody [MUC5AC/7067R] - BSA and Azide free (A278620)

Recombinant rabbit monoclonal [MUC5AC/7067R] antibody to Mucin 5AC for IHC-P.

Alternative Formats and ConjugatesAlternative Formats

Shipping Information

$40
Dispatched from St. Louis, MO.
Lead Time: 5-8 business days.
Name
Anti-Mucin 5AC Antibody [MUC5AC/7067R] - BSA and Azide free
Description
Recombinant rabbit monoclonal [MUC5AC/7067R] antibody to Mucin 5AC.
Specificity
Mucins are a group of high molecular weight glycoproteins consisting of a mucin core protein and O-linked carbohydrates. Mucin 6 carries GlcNAcα1 4Galβ R structures, indicating that α1, 4-Nacetylglucosaminyltransferase is important to the formation of the mucous glycoproteins in vivo. Mucin 5AC is a gel-forming mucin that is secreted from surface mucous cells. Glucocorticoid is required for the expression of Mucin 5AC mRNA and high doses of hydrocortisone suppresses its expression. Additionally, asthmatic fluid stimulates Mucin 5AC synthesis several-fold. The pro-inflammatory cytokines IL-6 and TNFα stimulate Mucin 5AC secretion and thus contribute to the upregulation of mucin by chronic inflammation. Expression of Mucin 5AC is retinoic acid (RA)- or retinol-dependent, and RA control of mucin genes is mediated by the retinoid acid receptor RARα and, to a lesser extent, by RARγ. Thyroid hormone binding to thyroid receptors inhibits Mucin 5AC gene expression. Mucin 5AC is also expressed in normal endocervical epithelium, small intestine, gastric cells (Lewis type 1) and gastric metaplasia and it is one of the major mucins in the ethmoid mucosa.
Applications
IHC-P
Dilutions
IHC-P: 1-2 µg/ml
Reactivity
Human
Cross Reactivity
This antibody is predicted to cross react with Monkey, Rabbit, Feline, Mouse, Rat, Bovine, and Chicken.
Immunogen
Recombinant full-length human MUC5AC protein.
Host
Rabbit
Clonality
Monoclonal
Clone ID
MUC5AC/7067R
Isotype
IgG
Conjugate

Unconjugated

Purification
Protein A/G chromatography.
Concentration
1 mg/ml
Molecular Weight
>1,000 kDa
Product Form
Liquid
Formulation
Supplied in 10mM Phosphate Buffered Saline; without Sodium Azide and carrier free.
Storage
Shipped at 4°C. Upon delivery aliquot and store at -20°C. Avoid freeze / thaw cycles.
General Notes
This monoclonal antibody is also available in a different formulation with BSA and Sodium Azide - Anti-Mucin 5AC Antibody [MUC5AC/7067R] (A278032).
Disclaimer
This product is for research use only. It is not intended for diagnostic or therapeutic use.
Publishing research using Recombinant Anti-Mucin 5AC Antibody [MUC5AC/7067R] - BSA and Azide free (A278620)? Please let us know so that we can list the citation on this page.

Alternative products to Anti-Mucin 5AC Antibody [MUC5AC/7067R] - BSA and Azide free (A278620)