ISO 9001:2015 Certified
Live Customer Support
4.5/5 on Trustpilot
100% Quality Guarantee

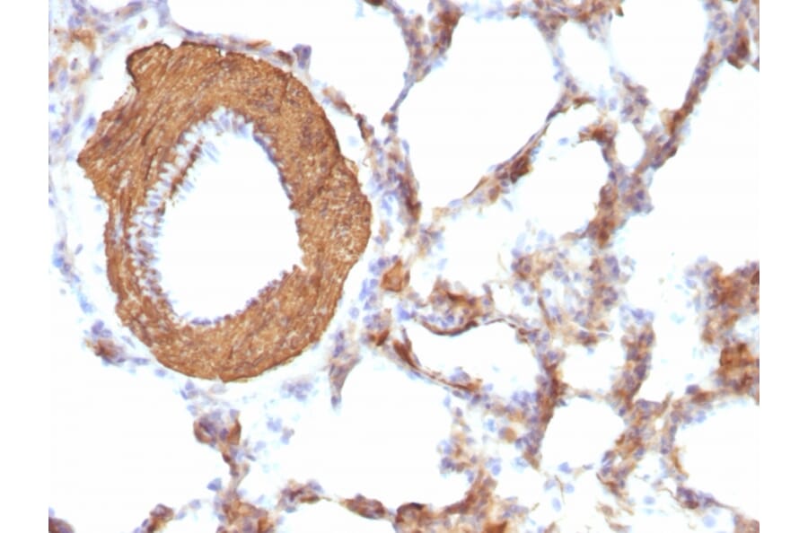
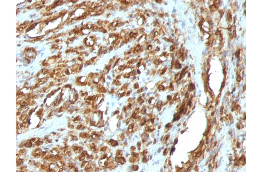
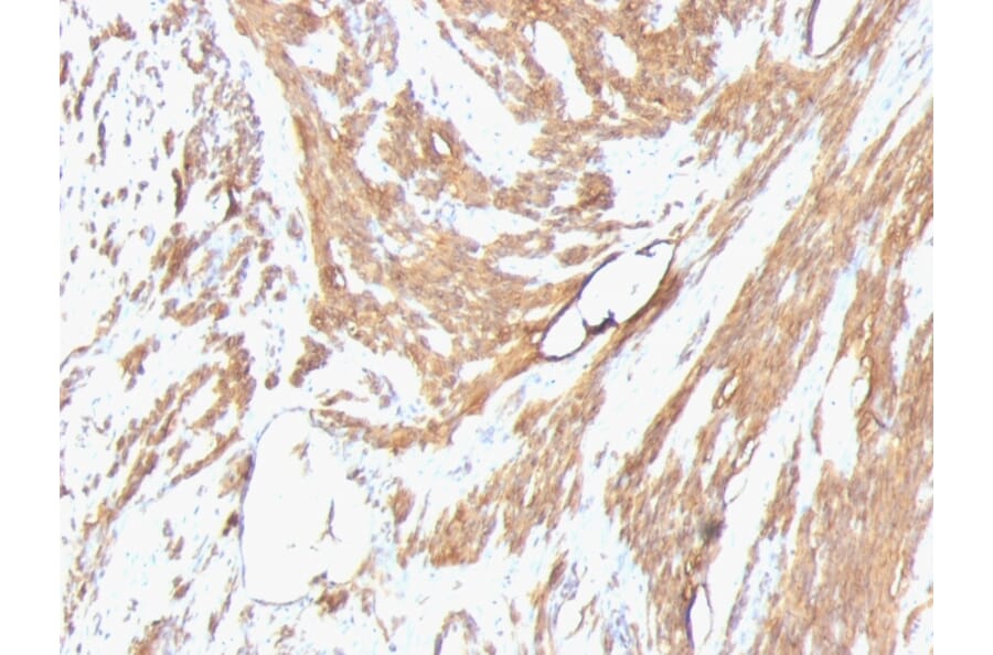
Anti-Muscle Actin Antibody [HHF35 + MSA/953] - BSA and Azide free (A254128)

Mouse monoclonal [HHF35 + MSA/953] antibody to Muscle Actin for Flow Cytometry, IF and IHC-P.

Alternative Formats and ConjugatesAlternative Formats

Shipping Information

$40
Dispatched from St. Louis, MO.
Lead Time: 5-8 business days.
Name
Anti-Muscle Actin Antibody [HHF35 + MSA/953] - BSA and Azide free
Description
Mouse monoclonal [HHF35 + MSA/953] antibody to Muscle Actin.
Specificity
This antibody recognizes actin of skeletal, cardiac, and smooth muscle cells. It is not reactive with other mesenchymal cells except for myoepithelium. Actin can be resolved on the basis of its isoelectric points into three distinctive components: alpha, beta, and gamma in order of increasing isoelectric point. Anti-muscle specific actin recognizes alpha and gamma isotypes of all muscle groups. Non-muscle cells such as vascular endothelial cells and connective tissues are non-reactive. Also, neoplastic cells of non-muscle-derived tissue such as carcinomas, melanomas, and lymphomas are negative.It stains tumors of smooth muscle (leiomyomas and leiomyosarcomas) as well as skeletal muscle (rhabdomyomas and rhabdomyosarcomas).
Applications
Flow Cytometry, IF, IHC-P
Dilutions
Flow Cytometry: 1-2 µg/million cells, IF: 1-2 µg/ml, IHC-P: 0.25-0.5 µg/ml
Reactivity
Human, Rabbit, Rat
Immunogen
Recombinant fragment of human Actin.
Host
Mouse
Clonality
Monoclonal
Clone ID
HHF35 + MSA/953
Isotype
IgG1
Light Chains
kappa
Conjugate

Unconjugated

Purification
Protein A/G chromatography.
Concentration
1 mg/ml
Product Form
Liquid
Formulation
Supplied in 10mM Phosphate Buffered Saline; without Sodium Azide and carrier free.
Storage
Shipped at 4°C. Upon delivery aliquot and store at -20°C. Avoid freeze / thaw cycles.
General Notes
This monoclonal antibody is also available in a different formulation with BSA and Sodium Azide - Anti-Muscle Actin Antibody [HHF35 + MSA/953] (A250948).
Disclaimer
This product is for research use only. It is not intended for diagnostic or therapeutic use.
Publishing research using Anti-Muscle Actin Antibody [HHF35 + MSA/953] - BSA and Azide free (A254128)? Please let us know so that we can list the citation on this page.

Alternative products to Anti-Muscle Actin Antibody [HHF35 + MSA/953] - BSA and Azide free (A254128)