ISO 9001:2015 Certified
Live Customer Support
4.5/5 on Trustpilot
100% Quality Guarantee

Anti-MYADM Antibody [MYADM/972] - BSA and Azide free (A253670)

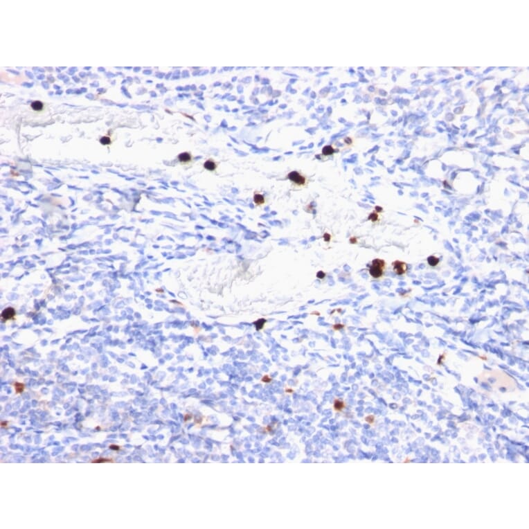
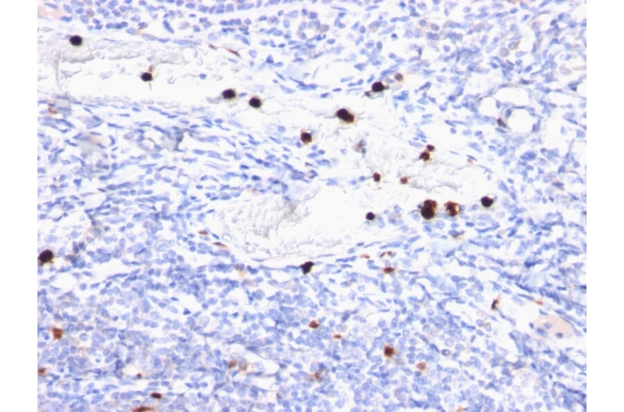
Mouse monoclonal [MYADM/972] antibody to MYADM for Flow Cytometry, IF and IHC-P.

Alternative Formats and ConjugatesAlternative Formats

Shipping Information

$40
Dispatched from St. Louis, MO.
Lead Time: 5-8 business days.
Name
Anti-MYADM Antibody [MYADM/972] - BSA and Azide free
Description
Mouse monoclonal [MYADM/972] antibody to MYADM.
Specificity
This antibody recognizes a myeloid associated differentiation antigen in the cytoplasm of mature granulocytes. It shows no reactivity with any other cell type in human tissues. Markers of myeloid cells are useful in the identification of different levels of cellular differentiation. It reacts with early precursor and mature forms of human and monkey myeloid cells. This MAb is useful for the detection of myeloid leukemias and granulocytic sarcomas. It can be used as a marker of granulocytes in normal tissues or inflammatory processes.
Applications
Flow Cytometry, IF, IHC-P
Dilutions
Flow Cytometry: 1-2 µg/million cells, IF: 1-2 µg/ml, IHC-P: 1-2 µg/ml
Reactivity
Human, Macaque Monkey
Immunogen
Recombinant human MYADM protein.
Host
Mouse
Clonality
Monoclonal
Clone ID
MYADM/972
Isotype
IgG1
Light Chains
kappa
Conjugate

Unconjugated

Purification
Protein A/G chromatography.
Concentration
1 mg/ml
Product Form
Liquid
Formulation
Supplied in 10mM Phosphate Buffered Saline; without Sodium Azide and carrier free.
Storage
Shipped at 4°C. Upon delivery aliquot and store at -20°C. Avoid freeze / thaw cycles.
General Notes
This monoclonal antibody is also available in a different formulation with BSA and Sodium Azide - Anti-MYADM Antibody [MYADM/972] (A250490).
Disclaimer
This product is for research use only. It is not intended for diagnostic or therapeutic use.
Publishing research using Anti-MYADM Antibody [MYADM/972] - BSA and Azide free (A253670)? Please let us know so that we can list the citation on this page.