ISO 9001:2015 Certified
Live Customer Support
4.5/5 on Trustpilot
100% Quality Guarantee

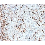
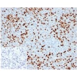
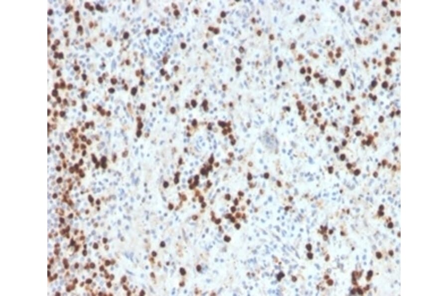
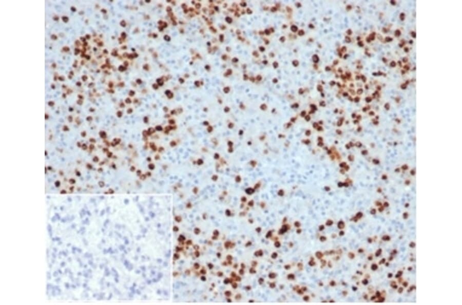
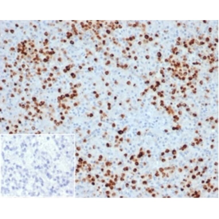
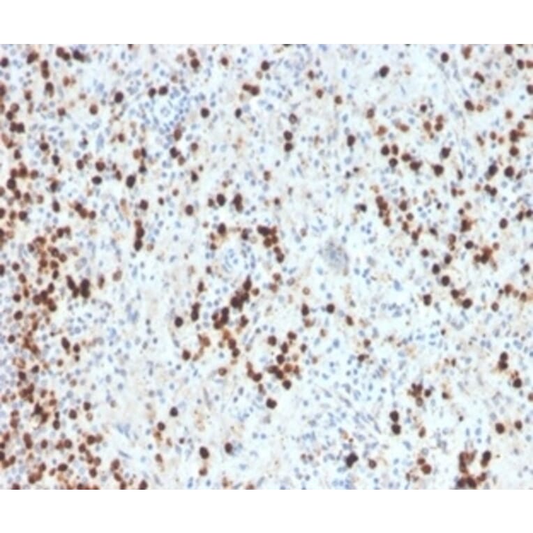
Recombinant Anti-Myeloperoxidase Antibody [MPO/33R] - BSA and Azide free (A278618)

Recombinant rabbit monoclonal [MPO/33R] antibody to Myeloperoxidase for WB and IHC-P.

Alternative Formats and ConjugatesAlternative Formats

Shipping Information

$40
Dispatched from St. Louis, MO.
Lead Time: 5-8 business days.
Name
Anti-Myeloperoxidase Antibody [MPO/33R] - BSA and Azide free
Description
Recombinant rabbit monoclonal [MPO/33R] antibody to Myeloperoxidase.
Specificity
Myeloperoxidase (MPO) also called the peroxidase (POD), is an important marker of bone marrow cells. It is one of the members of the family of heme peroxidase super existing in myeloid cells (mainly neutrophils and monocytes of aniline blue particles). With the deepening of the research on MPO, MPO gene polymorphism has been found to lead to individual for some disease susceptibility differences, with a variety of human development is closely related to the occurrence of diseases. The antibody reacts with neutrophil granulocytes and monocytes in blood and with precursors of granulocytes in the bone marrow. The antibody is useful as an aid for classification of neoplastic tissue, i.e. myeloblasts and immature myeloid cells of acute myelogenous leukemia, progranulocytic leukemia, monomyelocytic leukemia, erythroleukemia and myeloblastoma.
Applications
WB, IHC-P
Dilutions
WB: 1-2 µg/ml, IHC-P: 1-2 µg/ml
Reactivity
Human
Immunogen
Recombinant fragment, around amino acids 150-250, of human Myeloperoxidase. The exact sequence is proprietary.
Host
Rabbit
Clonality
Monoclonal
Clone ID
MPO/33R
Isotype
IgG
Light Chains
kappa
Conjugate

Unconjugated

Purification
Protein A/G chromatography.
Concentration
1 mg/ml
Molecular Weight
heavy-light promoter: 72 kDa / dimer: 140 kDa
Product Form
Liquid
Formulation
Supplied in 10mM Phosphate Buffered Saline; without Sodium Azide and carrier free.
Storage
Shipped at 4°C. Upon delivery aliquot and store at -20°C. Avoid freeze / thaw cycles.
General Notes
This monoclonal antibody is also available in a different formulation with BSA and Sodium Azide - Anti-Myeloperoxidase Antibody [MPO/33R] (A278030).
Synonyms
MPO
Disclaimer
This product is for research use only. It is not intended for diagnostic or therapeutic use.
Publishing research using Recombinant Anti-Myeloperoxidase Antibody [MPO/33R] - BSA and Azide free (A278618)? Please let us know so that we can list the citation on this page.

Alternative products to Anti-Myeloperoxidase Antibody [MPO/33R] - BSA and Azide free (A278618)

Proteins predicted to interact with Myeloperoxidase

Predicted protein interactions based upon String database. Revelancy score correlates with probability of interaction.
99.9% Relevancy Score
99.9% Relevancy Score
99.9% Relevancy Score
99.9% Relevancy Score
99.8% Relevancy Score
99.5% Relevancy Score
98.2% Relevancy Score
96.9% Relevancy Score
96.5% Relevancy Score