Primary Antibodies
Secondary Antibodies
Proteins & Peptides
ELISA Kits
About Us
Contact Us
Sign In/Register
0
ISO 9001:2015 Certified
Live Customer Support
4.5/5 on Trustpilot
100% Quality Guarantee
Home
Primary Antibodies
MYO7A Antibodies
Anti-MYO7A Antibody (A46252)
Anti-MYO7A Antibody (A46252)
Overview
Specifications
Images
Enlarge Image
Enlarge Image
$430
Product Datasheet
Rabbit polyclonal antibody to MYO7A for IHC.
100% Guarantee
Price Match Guarantee
Product Size:
100µl
Quantity:
1
2
3
4
5
6
7
8
9
10
Add To Cart
Request a Quotation
Custom or Bulk Request
Shipping Information
Freight/Packing Charges:
$40
Dispatched from St. Louis, MO.
Lead Time: 6-9 business days.
Specifications
Name
Anti-MYO7A Antibody
Description
Rabbit polyclonal antibody to MYO7A
Specificity
The antibody detects endogenous levels of total MYO7A protein.
Applications
IHC
Reactivity
Human, Mouse
Immunogen
Synthetic peptide corresponding to residues near the N terminal of human myosin VIIA
Host
Rabbit
Clonality
Polyclonal
Conjugate
Unconjugated
Purification
Antigen affinity purification.
Concentration
2.1 mg/mL
Formulation
Supplied in PBS, pH 7.3, containing 0.05% sodium azide and 50% glycerol.
Storage
Shipped at 4°C. Upon delivery aliquot and store at -20°C. Avoid freeze/thaw cycles.
Synonyms
Unconventional myosin-VIIa, USH1B
Suitable Secondaries
Goat Anti-Rabbit IgG H&L Antibody (AP) (A294874)
Goat Anti-Rabbit IgG H&L Antibody (Biotin) (A294795)
Goat Anti-Rabbit IgG H&L Antibody (FITC) (A294887)
Goat Anti-Rabbit IgG H&L Antibody (HRP) (A294888)
See all Anti-Rabbit IgG Secondaries →
Disclaimer
This product is for research use only. It is not intended for diagnostic or therapeutic use.
Scientific Validation Data
Validation Data
(2)
Enlarge Image
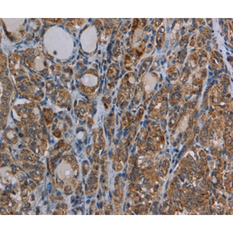
Immunohistochemistry - Anti-MYO7A Antibody (A46252)
Immunohistochemical analysis of paraffin-embedded Human thyroid cancer tissue using #37747 at dilution 1/30.
Enlarge Image
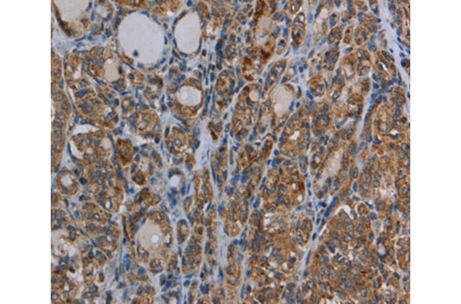
Immunohistochemistry - Anti-MYO7A Antibody (A46252)
Immunohistochemical analysis of paraffin-embedded Human brain tissue using #37747 at dilution 1/30.
Publishing research using Anti-MYO7A Antibody (A46252)? Please
let us know
so that we can list the citation on this page.
Alternative products to Anti-MYO7A Antibody (A46252)
A347302
Anti-MYO7A Antibody [24GB665]
Recombinant rabbit monoclonal [24GB665] antibody to MYO7A for WB, Flow Cytometry and ICC/IF.
A347302
Anti-MYO7A Antibody [24GB665]
Recombinant rabbit monoclonal [24GB665] antibody to MYO7A for WB, Flow Cytometry and ICC/IF.
Proteins predicted to interact with MYO7A
Predicted protein interactions based upon String database. Revelancy score correlates with probability of interaction.
USH1C Antibodies
99.9% Relevancy Score
Cadherin Like 23 Antibodies
99.8% Relevancy Score
Protocadherin-15 Antibodies
99.6% Relevancy Score
Whirlin Antibodies
98.3% Relevancy Score
MYRIP Antibodies
97.8% Relevancy Score
USH2A Antibodies
93.8% Relevancy Score
VEZT Antibodies
93.5% Relevancy Score
Radixin Antibodies
91.2% Relevancy Score
Moesin Antibodies
89.6% Relevancy Score
Top