ISO 9001:2015 Certified
Live Customer Support
4.5/5 on Trustpilot
100% Quality Guarantee

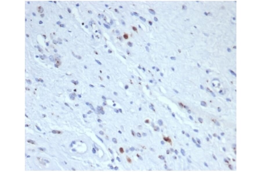
Recombinant Anti-Myogenin Antibody [rMYOG/6297] - BSA and Azide free (A278493)

Recombinant mouse monoclonal [rMYOG/6297] antibody to Myogenin for IHC-P.

Alternative Formats and ConjugatesAlternative Formats

Shipping Information

$40
Dispatched from St. Louis, MO.
Lead Time: 5-8 business days.
Name
Anti-Myogenin Antibody [rMYOG/6297] - BSA and Azide free
Description
Recombinant mouse monoclonal [rMYOG/6297] antibody to Myogenin.
Specificity
Myogenin is a member of the MyoD family of myogenic basic helix-loop-helix (bHLH) transcription factors that also includes MyoD, Myf-5, and MRF4 (also known as herculinor Myf-6). MyoD family members are expressed exclusively in skeletal muscle and play a key role in activating myogenesis by binding to enhancer sequences of muscle-specific genes. The regulatory domain of MyoD is approximately 70 amino acids in length and includes both a basic DNA binding motif and a bHLH dimerization motif.MyoD family members share about 80% amino acid homology in their bHLH motifs.Anti-myogenin labels the nuclei of myoblasts in developing muscle tissue, and is expressed in tumor cell nuclei of rhabdomyosarcoma and some leiomyosarcomas. Positive nuclear staining may occur in Wilms tumor.
Applications
IHC-P
Dilutions
IHC-P: 1-2 µg/ml
Reactivity
Human
Immunogen
Recombinant full-length human Myogenin protein.
Host
Mouse
Clonality
Monoclonal
Clone ID
rMYOG/6297
Isotype
IgG1
Light Chains
kappa
Conjugate

Unconjugated

Purification
Protein A/G chromatography.
Concentration
1 mg/ml
Molecular Weight
34 kDa
Product Form
Liquid
Formulation
Supplied in 10mM Phosphate Buffered Saline; without Sodium Azide and carrier free.
Storage
Shipped at 4°C. Upon delivery aliquot and store at -20°C. Avoid freeze / thaw cycles.
General Notes
This monoclonal antibody is also available in a different formulation with BSA and Sodium Azide - Anti-Myogenin Antibody [rMYOG/6297] (A277905).
Synonyms
BHLHC3, Class C basic helix-loop-helix protein 3, Myf-4, MYF4, MYOG, Myogenic factor 4
Disclaimer
This product is for research use only. It is not intended for diagnostic or therapeutic use.
Publishing research using Recombinant Anti-Myogenin Antibody [rMYOG/6297] - BSA and Azide free (A278493)? Please let us know so that we can list the citation on this page.

Alternative products to Anti-Myogenin Antibody [rMYOG/6297] - BSA and Azide free (A278493)

Proteins predicted to interact with Myogenin

Predicted protein interactions based upon String database. Revelancy score correlates with probability of interaction.
97.6% Relevancy Score
97% Relevancy Score
96.4% Relevancy Score
94.5% Relevancy Score
94.1% Relevancy Score
93.8% Relevancy Score
93.2% Relevancy Score
92.6% Relevancy Score
90.8% Relevancy Score