ISO 9001:2015 Certified
Live Customer Support
4.5/5 on Trustpilot
100% Quality Guarantee

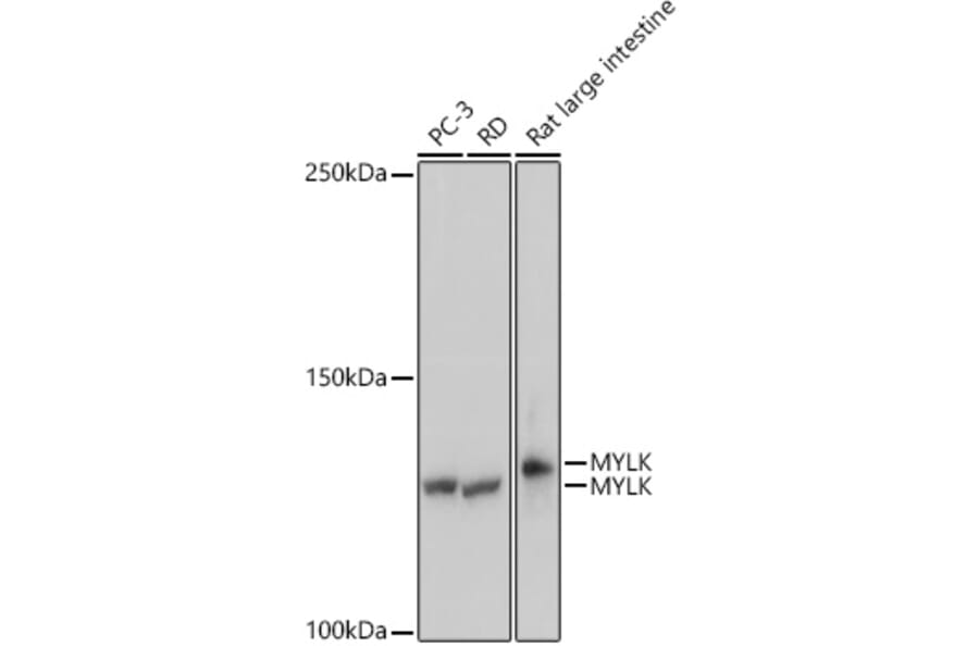
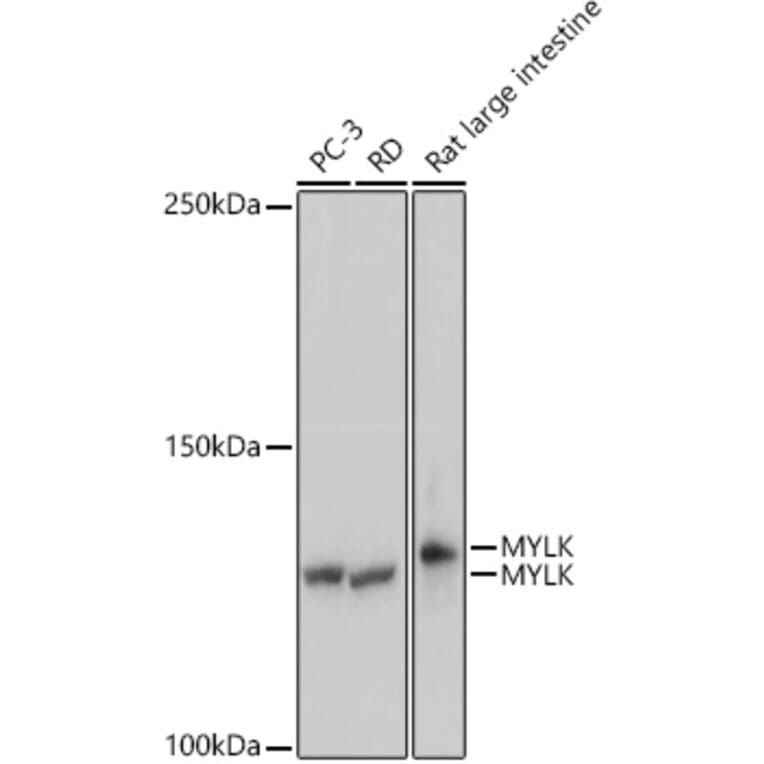
Anti-Myosin light chain kinase/MLCK Antibody [ARC0842] (A309011)

Rabbit monoclonal [ARC0842] antibody to Myosin light chain kinase/MLCK for WB.

Shipping Information

$40
Dispatched from St. Louis, MO.
Lead Time: 7-10 business days.
Name
Anti-Myosin light chain kinase/MLCK Antibody [ARC0842]
Description
Rabbit monoclonal [ARC0842] antibody to Myosin light chain kinase/MLCK.
Applications
WB
Dilutions
WB: 1:500-1:2,000
Reactivity
Human, Mouse, Rat
Immunogen
A synthetic peptide corresponding to a sequence within amino acids 1800-1900 of human MYLK (Q15746).
Sequence
VAEEKPHVKPYFSKTIRDLEVVEGSAARFDCKIEGYPDPEVVWFKDDQSIRESRHFQIDYDEDGNCSLIISDVCGDDDAKYTCKAVNSLGEATCTAELIVE
Host
Rabbit
Clonality
Monoclonal
Clone ID
ARC0842
Isotype
IgG
Conjugate

Unconjugated

Purification
Affinity purification.
Concentration
Lot Specific
Molecular Weight
130 kDa / 140 kDa
Product Form
Liquid
Formulation
Supplied in Phosphate Buffered Saline, pH 7.3, with 50% Glycerol, 0.05% BSA, and 0.02% Sodium Azide.
Storage
Shipped at 4°C. Upon delivery aliquot and store at -20°C. Avoid freeze/thaw cycles.
Disclaimer
This product is for research use only. It is not intended for diagnostic or therapeutic use.
Publishing research using Anti-Myosin light chain kinase/MLCK Antibody [ARC0842] (A309011)? Please let us know so that we can list the citation on this page.