ISO 9001:2015 Certified
Live Customer Support
4.5/5 on Trustpilot
100% Quality Guarantee

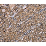
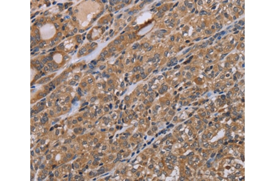
Anti-NAA25 Antibody (A46255)

Rabbit polyclonal antibody to NAA25 for IHC.

Shipping Information

$40
Dispatched from St. Louis, MO.
Lead Time: 6-9 business days.
Name
Anti-NAA25 Antibody
Description
Rabbit polyclonal antibody to NAA25
Specificity
The antibody detects endogenous levels of total NAA25 protein.
Applications
IHC
Reactivity
Human
Immunogen
Synthetic peptide corresponding to a region derived from internal residues of human N(alpha)-acetyltransferase 25, NatB auxiliary subunit
Host
Rabbit
Clonality
Polyclonal
Conjugate

Unconjugated

Purification
Antigen affinity purification.
Concentration
2.7 mg/mL
Formulation
Supplied in PBS, pH 7.3, containing 0.05% sodium azide and 50% glycerol.
Storage
Shipped at 4°C. Upon delivery aliquot and store at -20°C. Avoid freeze/thaw cycles.
Synonyms
C12orf30, MDM20, Mitochondrial distribution and morphology protein 20, N-alpha-acetyltransferase 25, NatB auxiliary subunit, N-terminal acetyltransferase B complex subunit MDM20, N-terminal acetyltransferase B complex subunit NAA25, NatB complex subunit MDM20, p120
Disclaimer
This product is for research use only. It is not intended for diagnostic or therapeutic use.
Publishing research using Anti-NAA25 Antibody (A46255)? Please let us know so that we can list the citation on this page.

Proteins predicted to interact with NAP1

Predicted protein interactions based upon String database. Revelancy score correlates with probability of interaction.
99.9% Relevancy Score
99.3% Relevancy Score
93.8% Relevancy Score
92% Relevancy Score
88.2% Relevancy Score
78.6% Relevancy Score
76% Relevancy Score
69.6% Relevancy Score
67.9% Relevancy Score