Primary Antibodies
Secondary Antibodies
Proteins & Peptides
ELISA Kits
About Us
Contact Us
Sign In/Register
0
ISO 9001:2015 Certified
Live Customer Support
4.5/5 on Trustpilot
100% Quality Guarantee
Home
Primary Antibodies
NAIF1 Antibodies
Anti-NAIF1 Antibody (A37823)
Anti-NAIF1 Antibody (A37823)
Overview
Specifications
Images
Enlarge Image
Enlarge Image
$430
Product Datasheet
Rabbit polyclonal antibody to NAIF1 for WB and IHC.
100% Guarantee
Price Match Guarantee
Product Size:
100µl
Quantity:
1
2
3
4
5
6
7
8
9
10
Add To Cart
Request a Quotation
Custom or Bulk Request
Shipping Information
Freight/Packing Charges:
$40
Dispatched from St. Louis, MO.
Lead Time: 6-9 business days.
Specifications
Name
Anti-NAIF1 Antibody
Description
Rabbit polyclonal antibody to NAIF1
Specificity
The antibody detects endogenous levels of total NAIF1 protein.
Applications
WB
,
IHC
Reactivity
Human
Immunogen
Full length fusion protein
Host
Rabbit
Clonality
Polyclonal
Conjugate
Unconjugated
Purification
Antigen affinity purification.
Concentration
1.5 mg/mL
Formulation
Supplied in PBS, pH 7.3, containing 0.05% sodium azide and 50% glycerol.
Storage
Shipped at 4°C. Upon delivery aliquot and store at -20°C. Avoid freeze/thaw cycles.
Synonyms
C9orf90, Nuclear apoptosis-inducing factor 1
Suitable Secondaries
Goat Anti-Rabbit IgG H&L Antibody (AP) (A294874)
Goat Anti-Rabbit IgG H&L Antibody (Biotin) (A294795)
Goat Anti-Rabbit IgG H&L Antibody (FITC) (A294887)
Goat Anti-Rabbit IgG H&L Antibody (HRP) (A294888)
See all Anti-Rabbit IgG Secondaries →
Disclaimer
This product is for research use only. It is not intended for diagnostic or therapeutic use.
Scientific Validation Data
Validation Data
(2)
Enlarge Image
Anti-NAIF1 Antibody (A37823)
Gel: 12% SDS-PAGE Lysate: 30ug 293T cell. Primary antibody: 1/750 dilution Secondary antibody dilution: 1/8000 Exposure time: 1 minute
Enlarge Image
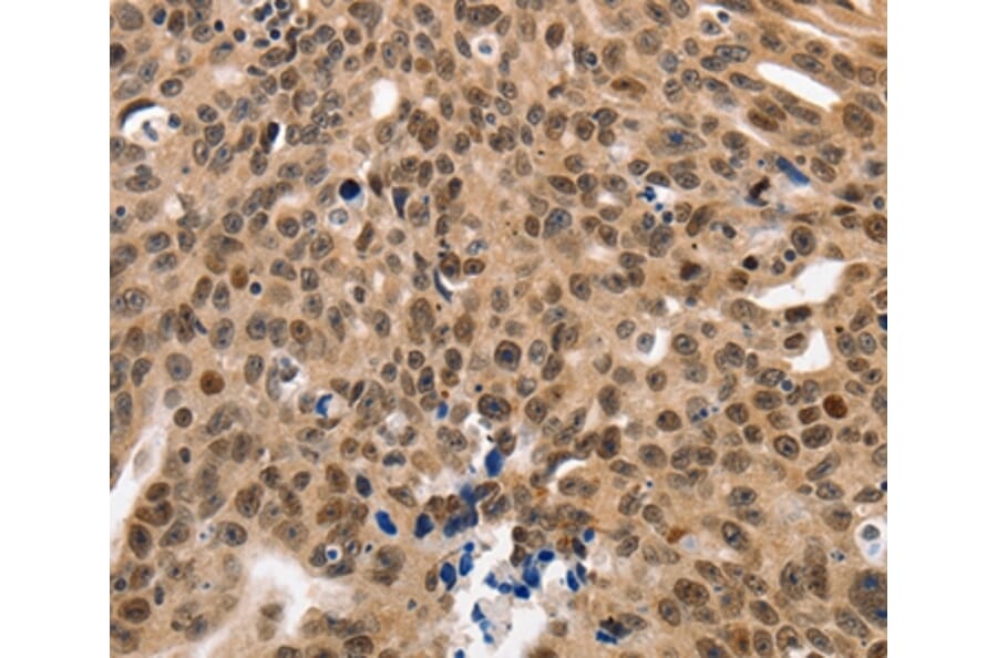
Immunohistochemistry - Anti-NAIF1 Antibody (A37823)
Immunohistochemical analysis of paraffin-embedded Human ovarian cancer tissue using #35830 at dilution 1/60.
Publishing research using Anti-NAIF1 Antibody (A37823)? Please
let us know
so that we can list the citation on this page.
Alternative products to Anti-NAIF1 Antibody (A37823)
A12388
Anti-NAIF1 Antibody
Rabbit polyclonal antibody to NAIF1 for WB.
A89352
Anti-NAIF1 Antibody
Rabbit polyclonal antibody to NAIF1 for WB.
A12388
Anti-NAIF1 Antibody
Rabbit polyclonal antibody to NAIF1 for WB.
A89352
Anti-NAIF1 Antibody
Rabbit polyclonal antibody to NAIF1 for WB.
Proteins predicted to interact with NAIF1
Predicted protein interactions based upon String database. Revelancy score correlates with probability of interaction.
INTS5 Antibodies
99.4% Relevancy Score
DDX26 Antibodies
99.4% Relevancy Score
VPS16 Antibodies
70.3% Relevancy Score
VPS18 Antibodies
66.2% Relevancy Score
YKT6 Antibodies
64.6% Relevancy Score
SOX14 Antibodies
62.4% Relevancy Score
VPS33B Antibodies
62.2% Relevancy Score
VPS11 Antibodies
61.7% Relevancy Score
GOSR1 Antibodies
61.5% Relevancy Score
Top