Primary Antibodies
Secondary Antibodies
Proteins & Peptides
ELISA Kits
About Us
Contact Us
Sign In/Register
0
ISO 9001:2015 Certified
Live Customer Support
4.5/5 on Trustpilot
100% Quality Guarantee
Home
Primary Antibodies
NANOS1 Antibodies
Anti-Nanos1 Antibody (A47598)
Anti-Nanos1 Antibody (A47598)
Overview
Specifications
Images
Enlarge Image
Enlarge Image
$780
Product Datasheet
Rabbit polyclonal antibody to Nanos1 for ELISA, WB and IHC.
100% Guarantee
Price Match Guarantee
Product Size:
100µl
Quantity:
1
2
3
4
5
6
7
8
9
10
Add To Cart
Request a Quotation
Custom or Bulk Request
Shipping Information
Freight/Packing Charges:
$40
Dispatched from St. Louis, MO.
Lead Time: 6-9 business days.
Specifications
Name
Anti-Nanos1 Antibody
Description
Rabbit polyclonal antibody to Nanos1
Applications
ELISA
,
WB
,
IHC
Reactivity
Human
Immunogen
Raised against a 17 amino acid peptide from near the amino terminus of human Nanos1.
Host
Rabbit
Clonality
Polyclonal
Conjugate
Unconjugated
Purification
Affinity chromatography purified via peptide column
Formulation
Supplied in phosphate-buffered saline with 0.02% Sodium Azide.
Storage
Shipped at 4°C. Upon delivery aliquot and store at -20°C. Avoid freeze/thaw cycles.
Synonyms
EC_Rep1a, Nanos homolog 1, NOS-1, NOS1
Suitable Secondaries
Goat Anti-Rabbit IgG H&L Antibody (AP) (A294874)
Goat Anti-Rabbit IgG H&L Antibody (Biotin) (A294795)
Goat Anti-Rabbit IgG H&L Antibody (FITC) (A294887)
Goat Anti-Rabbit IgG H&L Antibody (HRP) (A294888)
See all Anti-Rabbit IgG Secondaries →
Disclaimer
This product is for research use only. It is not intended for diagnostic or therapeutic use.
Scientific Validation Data
Validation Data
(2)
Enlarge Image
Anti-Nanos1 Antibody (A47598)
Western blot analysis of Nanos1 in SK-N-SH cell lysate with Nanos1 antibody at 1 µg/mL in (A) the presence and (B) the absence of blocking peptide.
Enlarge Image
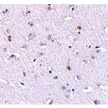
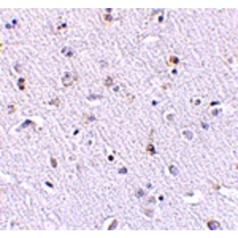
Immunohistochemistry - Anti-Nanos1 Antibody (A47598)
Immunohistochemistry of Nanos1 in human brain tissue with Nanos1 antibody at 2.5 µg/mL
Publishing research using Anti-Nanos1 Antibody (A47598)? Please
let us know
so that we can list the citation on this page.
Alternative products to Anti-Nanos1 Antibody (A47598)
A84072
Anti-NOS-1 Antibody
Goat polyclonal antibody to NOS-1 for ELISA and WB.
A49164
Anti-Nanos1 Antibody
Rabbit polyclonal antibody to Nanos1 for ELISA and WB.
A42556
Anti-NANOS1 Antibody
Rabbit polyclonal antibody to NANOS1 for WB.
A84072
Anti-NOS-1 Antibody
Goat polyclonal antibody to NOS-1 for ELISA and WB.
A49164
Anti-Nanos1 Antibody
Rabbit polyclonal antibody to Nanos1 for ELISA and WB.
A42556
Anti-NANOS1 Antibody
Rabbit polyclonal antibody to NANOS1 for WB.
Proteins predicted to interact with NANOS1
Predicted protein interactions based upon String database. Revelancy score correlates with probability of interaction.
Pumilio 2 Antibodies
99.7% Relevancy Score
CNOT1 Antibodies
99.4% Relevancy Score
Pumilio 1 Antibodies
89.3% Relevancy Score
SAMD4B Antibodies
80% Relevancy Score
CNOT6 Antibodies
72.7% Relevancy Score
TDRD7 Antibodies
71.9% Relevancy Score
CNOT7 Antibodies
71.5% Relevancy Score
CNOT8 Antibodies
63.3% Relevancy Score
DAZL Antibodies
61.2% Relevancy Score
Top