Primary Antibodies
Secondary Antibodies
Proteins & Peptides
ELISA Kits
About Us
Contact Us
Sign In/Register
0
ISO 9001:2015 Certified
Live Customer Support
4.5/5 on Trustpilot
100% Quality Guarantee
Home
Primary Antibodies
NAP1L1 Antibodies
Anti-NAP1L1 Antibody (A37163)
Anti-NAP1L1 Antibody (A37163)
Overview
Specifications
Images
Enlarge Image
Enlarge Image
$430
Product Datasheet
Rabbit polyclonal antibody to NAP1L1 for WB and IHC.
100% Guarantee
Price Match Guarantee
Product Size:
100µl
Quantity:
1
2
3
4
5
6
7
8
9
10
Add To Cart
Request a Quotation
Custom or Bulk Request
Shipping Information
Freight/Packing Charges:
$40
Dispatched from St. Louis, MO.
Lead Time: 6-9 business days.
Specifications
Name
Anti-NAP1L1 Antibody
Description
Rabbit polyclonal antibody to NAP1L1
Specificity
The antibody detects endogenous levels of total NAP1L1 protein.
Applications
WB
,
IHC
Reactivity
Human, Mouse
Immunogen
Fusion protein corresponding to residues near the N terminal of human nucleosome assembly protein 1-like 1
Host
Rabbit
Clonality
Polyclonal
Conjugate
Unconjugated
Purification
Antigen affinity purification.
Concentration
1.9 mg/mL
Formulation
Supplied in PBS, pH 7.3, containing 0.05% sodium azide and 50% glycerol.
Storage
Shipped at 4°C. Upon delivery aliquot and store at -20°C. Avoid freeze/thaw cycles.
Synonyms
hNRP, NAP-1-related protein, NRP, Nucleosome assembly protein 1-like 1
Suitable Secondaries
Goat Anti-Rabbit IgG H&L Antibody (AP) (A294874)
Goat Anti-Rabbit IgG H&L Antibody (Biotin) (A294795)
Goat Anti-Rabbit IgG H&L Antibody (FITC) (A294887)
Goat Anti-Rabbit IgG H&L Antibody (HRP) (A294888)
See all Anti-Rabbit IgG Secondaries →
Disclaimer
This product is for research use only. It is not intended for diagnostic or therapeutic use.
Scientific Validation Data
Validation Data
(2)
Enlarge Image
Anti-NAP1L1 Antibody (A37163)
Gel: 10% SDS-PAGE Lysates (from left to right): Mouse thymus tissue Amount of lysate: 40ug per lane Primary antibody: 1/1000 dilution Secondary antibody dilution: 1/8000 Exposure time: 40 seconds
Enlarge Image
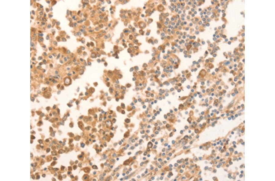
Immunohistochemistry - Anti-NAP1L1 Antibody (A37163)
Immunohistochemical analysis of paraffin-embedded Human tonsil tissue using #35831 at dilution 1/70.
Publishing research using Anti-NAP1L1 Antibody (A37163)? Please
let us know
so that we can list the citation on this page.
Alternative products to Anti-NAP1L1 Antibody (A37163)
(5)
A306850
Anti-NAP1L1 Antibody [ARC1888]
Rabbit monoclonal [ARC1888] antibody to NAP1L1 for WB and ICC/IF.
A347310
Anti-NAP1L1 Antibody [24GB550]
Recombinant rabbit monoclonal [24GB550] antibody to NAP1L1 for WB, Flow Cytometry and ICC/IF.
A347311
Anti-NAP1L1 Antibody [24GB11450]
Recombinant rabbit monoclonal [24GB11450] antibody to NAP1L1 for WB, Flow Cytometry and ICC/IF.
A337916
Anti-NAP1L1 Nanobody [SAA1229]
Recombinant alpaca monoclonal [SAA1229] nanobody to NAP1L1 for ELISA, IP and WB.
(5)
A306850
Anti-NAP1L1 Antibody [ARC1888]
Rabbit monoclonal [ARC1888] antibody to NAP1L1 for WB and ICC/IF.
A347310
Anti-NAP1L1 Antibody [24GB550]
Recombinant rabbit monoclonal [24GB550] antibody to NAP1L1 for WB, Flow Cytometry and ICC/IF.
A347311
Anti-NAP1L1 Antibody [24GB11450]
Recombinant rabbit monoclonal [24GB11450] antibody to NAP1L1 for WB, Flow Cytometry and ICC/IF.
A337916
Anti-NAP1L1 Nanobody [SAA1229]
Recombinant alpaca monoclonal [SAA1229] nanobody to NAP1L1 for ELISA, IP and WB.
Proteins predicted to interact with NAP1L1
Predicted protein interactions based upon String database. Revelancy score correlates with probability of interaction.
UBE2O Antibodies
97.3% Relevancy Score
Histone H2A.Z Antibodies
88.4% Relevancy Score
Histone H2A.X Antibodies
83.9% Relevancy Score
NPM1 Antibodies
82.7% Relevancy Score
FNTA Antibodies
80.7% Relevancy Score
p300 Antibodies
77.4% Relevancy Score
CDX4 Antibodies
76.2% Relevancy Score
Nucleolin Antibodies
71.8% Relevancy Score
RPS6 Antibodies
70.4% Relevancy Score
Top