ISO 9001:2015 Certified
Live Customer Support
4.5/5 on Trustpilot
100% Quality Guarantee

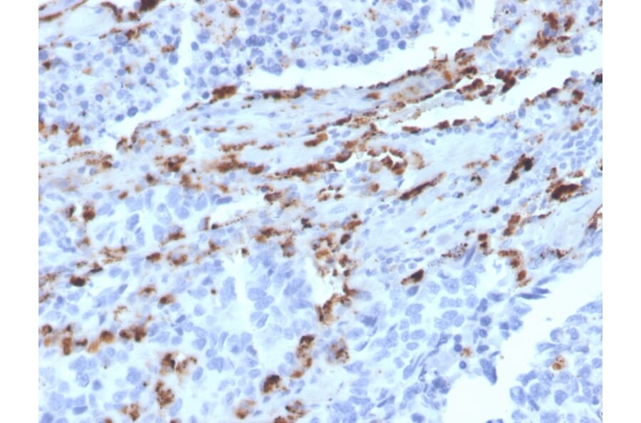
Anti-NAPSIN A Antibody [NAPSA/3309] - BSA and Azide free (A253846)

Mouse monoclonal [NAPSA/3309] antibody to NAPSIN A for IHC-P.

Alternative Formats and ConjugatesAlternative Formats

Shipping Information

$40
Dispatched from St. Louis, MO.
Lead Time: 5-8 business days.
Name
Anti-NAPSIN A Antibody [NAPSA/3309] - BSA and Azide free
Description
Mouse monoclonal [NAPSA/3309] antibody to NAPSIN A.
Applications
IHC-P
Dilutions
IHC-P: 1-2 µg/ml
Reactivity
Human
Immunogen
Recombinant fragment, around amino acids 189-299, of human Napsin A protein. The exact sequence is proprietary.
Host
Mouse
Clonality
Monoclonal
Clone ID
NAPSA/3309
Isotype
IgG2b
Light Chains
kappa
Conjugate

Unconjugated

Purification
Protein A chromatography.
Concentration
1 mg/ml
Molecular Weight
37 kDa
Product Form
Liquid
Formulation
Supplied in 10mM Phosphate Buffered Saline; without Sodium Azide and carrier free.
Storage
Shipped at 4°C. Upon delivery aliquot and store at -20°C. Avoid freeze / thaw cycles.
General Notes
This monoclonal antibody is also available in a different formulation with BSA and Sodium Azide - Anti-NAPSIN A Antibody [NAPSA/3309] (A250666).
Synonyms
Asp 4, ASP4, Aspartyl protease 4, NAP1, NAPA, NAPSA, Napsin-1, Napsin-A, TA01/TA02
Disclaimer
This product is for research use only. It is not intended for diagnostic or therapeutic use.
Publishing research using Anti-NAPSIN A Antibody [NAPSA/3309] - BSA and Azide free (A253846)? Please let us know so that we can list the citation on this page.

Alternative products to Anti-NAPSIN A Antibody [NAPSA/3309] - BSA and Azide free (A253846)

Proteins predicted to interact with Napsin A

Predicted protein interactions based upon String database. Revelancy score correlates with probability of interaction.
88.1% Relevancy Score
87.9% Relevancy Score
82.1% Relevancy Score
79.2% Relevancy Score
73.6% Relevancy Score
72% Relevancy Score
72% Relevancy Score
71% Relevancy Score