ISO 9001:2015 Certified
Live Customer Support
4.5/5 on Trustpilot
100% Quality Guarantee

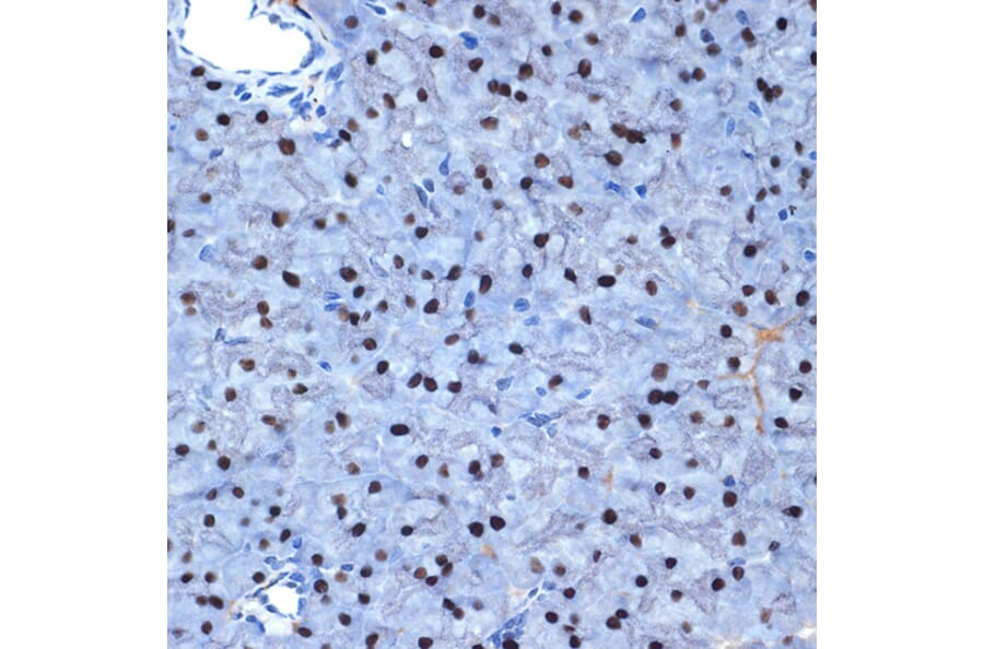
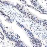
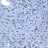
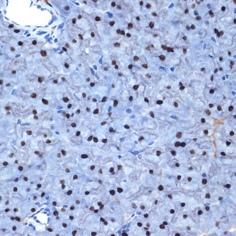
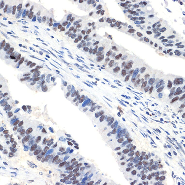
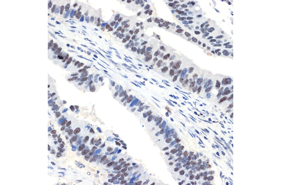
Anti-NAT10 Antibody [ARC2468] (A306488)

Rabbit monoclonal [ARC2468] antibody to NAT10 for WB and IHC.

Shipping Information

$40
Dispatched from St. Louis, MO.
Lead Time: 7-10 business days.
Name
Anti-NAT10 Antibody [ARC2468]
Description
Rabbit monoclonal [ARC2468] antibody to NAT10.
Applications
WB, IHC
Dilutions
WB: 1:500-1:1,000, IHC: 1:50-1:200
Reactivity
Human, Mouse, Rat
Immunogen
Recombinant fusion protein containing a sequence corresponding to amino acids 750-1025 of human NAT10 (Q9H0A0).
Sequence
KTLTDEDEADQGGWLAAFWKDFRRRFLALLSYQFSTFSPSLALNIIQNRNMGKPAQPALSREELEALFLPYDLKRLEMYSRNMVDYHLIMDMIPAISRIYFLNQLGDLALSAAQSALLLGIGLQHKSVDQLEKEIELPSGQLMGLFNRIIRKVVKLFNEVQEKAIEEQMVAAKDVVMEPTMKTLSDDLDEAAKEFQEKHKKEVGKLKSMDLSEYIIRGDDEEWNEVLNKAGPNASIISLKSDKKRKLEAKQEPKQSKKLKNRETKNKKDMKLKRKK
Host
Rabbit
Clonality
Monoclonal
Clone ID
ARC2468
Isotype
IgG
Conjugate

Unconjugated

Purification
Affinity purification.
Concentration
Lot Specific
Molecular Weight
120 kDa
Product Form
Liquid
Formulation
Supplied in Phosphate Buffered Saline, pH 7.3, with 50% Glycerol, 0.05% BSA, and 0.02% Sodium Azide.
Storage
Shipped at 4°C. Upon delivery aliquot and store at -20°C. Avoid freeze/thaw cycles.
Synonyms
18S rRNA cytosine acetyltransferase, ALP, hALP, KIAA1709, N-acetyltransferase 10, N-acetyltransferase-like protein, RNA cytidine acetyltransferase
Disclaimer
This product is for research use only. It is not intended for diagnostic or therapeutic use.
Publishing research using Anti-NAT10 Antibody [ARC2468] (A306488)? Please let us know so that we can list the citation on this page.

Alternative products to Anti-NAT10 Antibody [ARC2468] (A306488)

Proteins predicted to interact with NAT10

Predicted protein interactions based upon String database. Revelancy score correlates with probability of interaction.
99.9% Relevancy Score
99.9% Relevancy Score
99.9% Relevancy Score
99.9% Relevancy Score
99.9% Relevancy Score
99.9% Relevancy Score
99.9% Relevancy Score
99.9% Relevancy Score
99.9% Relevancy Score