Primary Antibodies
Secondary Antibodies
Proteins & Peptides
ELISA Kits
About Us
Contact Us
Sign In/Register
0
ISO 9001:2015 Certified
Live Customer Support
4.5/5 on Trustpilot
100% Quality Guarantee
Home
Primary Antibodies
NAT8 Antibodies
Anti-NAT8 Antibody (A38709)
Anti-NAT8 Antibody (A38709)
Overview
Specifications
Images
Enlarge Image
Enlarge Image
$430
Product Datasheet
Rabbit polyclonal antibody to NAT8 for WB and IHC.
100% Guarantee
Price Match Guarantee
Product Size:
100µl
Quantity:
1
2
3
4
5
6
7
8
9
10
Add To Cart
Request a Quotation
Custom or Bulk Request
Shipping Information
Freight/Packing Charges:
$40
Dispatched from St. Louis, MO.
Lead Time: 6-9 business days.
Specifications
Name
Anti-NAT8 Antibody
Description
Rabbit polyclonal antibody to NAT8
Specificity
The antibody detects endogenous levels of total NAT8 protein.
Applications
WB
,
IHC
Reactivity
Human, Mouse
Immunogen
Fusion protein corresponding to a region derived from internal residues of human N-acetyltransferase 8 (GCN5-related, putative)
Host
Rabbit
Clonality
Polyclonal
Conjugate
Unconjugated
Purification
Antigen affinity purification.
Concentration
1.9 mg/mL
Formulation
Supplied in PBS, pH 7.3, containing 0.05% sodium azide and 50% glycerol.
Storage
Shipped at 4°C. Upon delivery aliquot and store at -20°C. Avoid freeze/thaw cycles.
Synonyms
Acetyltransferase 2, ATase2, Camello-like protein 1, CCNAT, CML1, Cysteinyl-conjugate N-acetyltransferase, EC:2.3.1.80, GLA, N-acetyltransferase 8, TSC501
Suitable Secondaries
Goat Anti-Rabbit IgG H&L Antibody (AP) (A294874)
Goat Anti-Rabbit IgG H&L Antibody (Biotin) (A294795)
Goat Anti-Rabbit IgG H&L Antibody (FITC) (A294887)
Goat Anti-Rabbit IgG H&L Antibody (HRP) (A294888)
See all Anti-Rabbit IgG Secondaries →
Disclaimer
This product is for research use only. It is not intended for diagnostic or therapeutic use.
Scientific Validation Data
Validation Data
(2)
Enlarge Image
Anti-NAT8 Antibody (A38709)
Gel: 8% SDS-PAGE Lysates (from left to right): Mouse kidney and liver tissue Amount of lysate: 40ug per lane Primary antibody: 1/237.5 dilution Secondary antibody dilution: 1/8000 Exposure time: 20 seconds
Enlarge Image
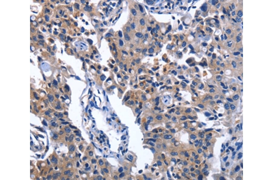
Immunohistochemistry - Anti-NAT8 Antibody (A38709)
Immunohistochemical analysis of paraffin-embedded Human cervical cancer tissue using #36180 at dilution 1/50.
Publishing research using Anti-NAT8 Antibody (A38709)? Please
let us know
so that we can list the citation on this page.
Alternative products to Anti-NAT8 Antibody (A38709)
(4)
A15877
Anti-NAT8 Antibody
Rabbit polyclonal antibody to NAT8 for WB and IHC.
(4)
A15877
Anti-NAT8 Antibody
Rabbit polyclonal antibody to NAT8 for WB and IHC.
Proteins predicted to interact with NAT8
Predicted protein interactions based upon String database. Revelancy score correlates with probability of interaction.
CD13 Antibodies
90.4% Relevancy Score
LAP3 Antibodies
90% Relevancy Score
MAK10 Antibodies
80.9% Relevancy Score
BACE1 Antibodies
79.9% Relevancy Score
KAT2A Antibodies
72.6% Relevancy Score
PCAF Antibodies
69.1% Relevancy Score
SNRPE Antibodies
58.4% Relevancy Score
SLC33A1 Antibodies
54.3% Relevancy Score
ALMS1 Antibodies
47.4% Relevancy Score
Top