Immunocytochemistry/Immunofluorescence analysis of human neuroblastoma cells (SH-SY5Y), fixed in 4% PFA for 15 min, using Anti-Nav1.8 Antibody [S134] (A304802), at 1:50 for overnight at 4°C with slow rocking. The secondary antibody used was AlexaFluor 488 at 1:1,000 for 1 hour at room temperature. Counterstain: Phalloidin-iFluor 647 (red) F-Actin stain; Hoechst (blue) nuclear stain at 1:800, 1.6mM for 20 minutes at room temperature.(A) Hoechst (blue) nuclear stain. (B) Phalloidin-iFluor 647 (red) F-Actin stain. (C) Nav1.8 Antibody (D) Composite.
Immunohistochemistry analysis of mouse backskin, fixed in Bouin's fixative solution and paraffin-embedded. The Primary Antibody used was Anti-Nav1.8 Antibody [S134] (A304802) at 1:100 for 1 hour at room temperature. The secondary antibody used was FITC Goat Anti-Mouse (green) at 1:50 for 1 hour at room temperature. Localization: Heavy filaggrin-like staining, lower epidermal cells have some staining.
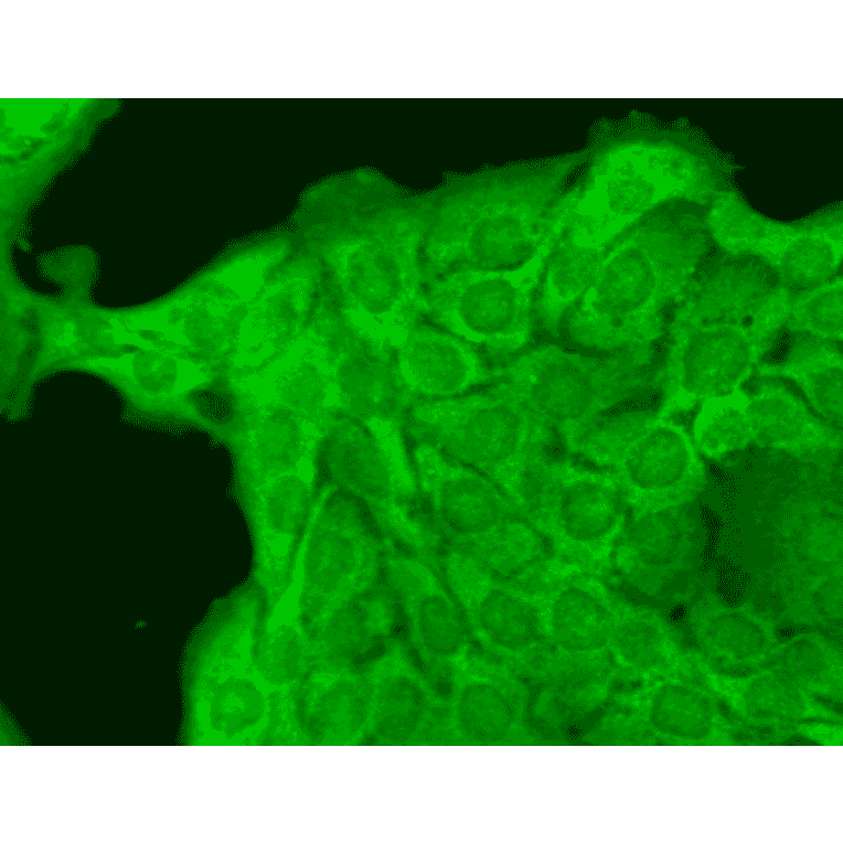
Immunocytochemistry/Immunofluorescence analysis of human HaCaT cells, fixed in cold 100% methanol for 10 minutes at -20°C, using Anti-Nav1.8 Antibody [S134] (A304802), at 1:100 for 1 hour at room temperature. The secondary antibody used was FITC Goat Anti-Mouse (green) at 1:50 for 1 hour at room temperature. Localization: Cytoplasmic staining and some dull nuclear staining.
Western Blot - Anti-Nav1.8 Antibody [S134] (A304802)
Western blot analysis of Monkey COS transient cell lysate showing detection of Nav1.8 protein using Anti-Nav1.8 Antibody [S134] (A304802) at 1:1,000 for 2 hours at room temperature. Load: 15 µg. Block: 1.5% BSA for 30 minutes at room temperature. The secondary antibody used was Sheep Anti-Mouse IgG: HRP for 1 hour at room temperature.
Publishing research using Anti-Nav1.8 Antibody [S134] (A304802)? Please let us know so that we can list the citation on this page.