Primary Antibodies
Secondary Antibodies
Proteins & Peptides
ELISA Kits
About Us
Contact Us
Sign In/Register
0
ISO 9001:2015 Certified
Live Customer Support
4.5/5 on Trustpilot
100% Quality Guarantee
Home
Primary Antibodies
Neurobeachin Antibodies
Anti-NBEA Antibody (A46853)
Anti-NBEA Antibody (A46853)
Overview
Specifications
Images
Enlarge Image
Enlarge Image
$430
Product Datasheet
Rabbit polyclonal antibody to NBEA for IHC.
100% Guarantee
Price Match Guarantee
Product Size:
100µl
Quantity:
1
2
3
4
5
6
7
8
9
10
Add To Cart
Request a Quotation
Custom or Bulk Request
Shipping Information
Freight/Packing Charges:
$40
Dispatched from St. Louis, MO.
Lead Time: 6-9 business days.
Specifications
Name
Anti-NBEA Antibody
Description
Rabbit polyclonal antibody to NBEA
Specificity
The antibody detects endogenous levels of total NBEA protein.
Applications
IHC
Reactivity
Human, Mouse
Immunogen
Synthetic peptide corresponding to a region derived from internal residues of human neurobeachin
Host
Rabbit
Clonality
Polyclonal
Conjugate
Unconjugated
Purification
Antigen affinity purification.
Concentration
1.7 mg/mL
Formulation
Supplied in PBS, pH 7.3, containing 0.05% sodium azide and 50% glycerol.
Storage
Shipped at 4°C. Upon delivery aliquot and store at -20°C. Avoid freeze/thaw cycles.
Synonyms
BCL8B, KIAA1544, Lysosomal-trafficking regulator 2, LYST2, Protein BCL8B
Suitable Secondaries
Goat Anti-Rabbit IgG H&L Antibody (AP) (A294874)
Goat Anti-Rabbit IgG H&L Antibody (Biotin) (A294795)
Goat Anti-Rabbit IgG H&L Antibody (FITC) (A294887)
Goat Anti-Rabbit IgG H&L Antibody (HRP) (A294888)
See all Anti-Rabbit IgG Secondaries →
Disclaimer
This product is for research use only. It is not intended for diagnostic or therapeutic use.
Scientific Validation Data
Validation Data
(2)
Enlarge Image
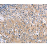
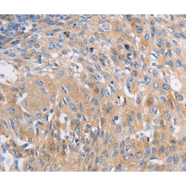
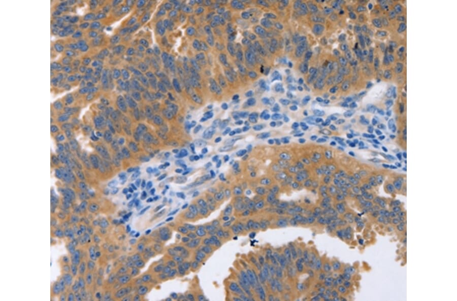
Immunohistochemistry - Anti-NBEA Antibody (A46853)
Immunohistochemical analysis of paraffin-embedded Human cervical cancer tissue using #36997 at dilution 1/60.
Enlarge Image
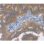
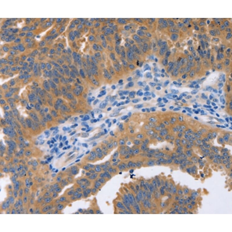
Immunohistochemistry - Anti-NBEA Antibody (A46853)
Immunohistochemical analysis of paraffin-embedded Human ovarian cancer tissue using #36997 at dilution 1/60.
Publishing research using Anti-NBEA Antibody (A46853)? Please
let us know
so that we can list the citation on this page.
Alternative products to Anti-NBEA Antibody (A46853)
A83231
Anti-Neurobeachin Antibody
Goat polyclonal antibody to Neurobeachin for ELISA and IHC.
A83231
Anti-Neurobeachin Antibody
Goat polyclonal antibody to Neurobeachin for ELISA and IHC.
Proteins predicted to interact with Neurobeachin
Predicted protein interactions based upon String database. Revelancy score correlates with probability of interaction.
SAP102 Antibodies
96.3% Relevancy Score
Notch1 Antibodies
90.9% Relevancy Score
PRKAR2A Antibodies
90% Relevancy Score
DCLK1 Antibodies
81.6% Relevancy Score
PRKACB Antibodies
77.9% Relevancy Score
GLRB Antibodies
77.7% Relevancy Score
PKA C alpha Antibodies
77.3% Relevancy Score
PRKACG Antibodies
77.2% Relevancy Score
Smad9 Antibodies
68.2% Relevancy Score
Top