ISO 9001:2015 Certified
Live Customer Support
4.5/5 on Trustpilot
100% Quality Guarantee

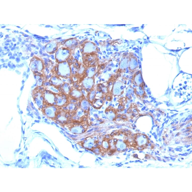
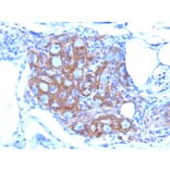
Anti-NCAM1 Antibody [SPM128] - BSA and Azide free (A252655)

Mouse monoclonal [SPM128] antibody to NCAM1 for Flow Cytometry, IF and IHC-P.

Alternative Formats and ConjugatesAlternative Formats

Shipping Information

$40
Dispatched from St. Louis, MO.
Lead Time: 5-8 business days.
Name
Anti-NCAM1 Antibody [SPM128] - BSA and Azide free
Description
Mouse monoclonal [SPM128] antibody to NCAM1.
Specificity
This antibody reacts with an extracellular domain (close to transmembrane) of CD56/NCAM. Three isoforms of neural cell adhesion molecule (NCAM) are produced by differential splicing of the RNA transcript from a single gene. The 135kDa isoform is the basic molecule, which is glycosylated or sialylated to produce the mature species. Anti-CD56 recognizes two proteins of the neural cell adhesion molecule, the basic molecule expressed on most neuroectodermally derived tissues and neoplasms (e.g. retinoblastoma, medulloblastomas, astrocytomas, neuroblastomas, and small cell carcinomas). It is also expressed on some mesodermally derived tumors (rhabdomyosarcoma). Anti-CD56 plays an important role in the diagnosis of nodal and nasal NK/T-cell lymphomas.
Applications
Flow Cytometry, IF, IHC-P
Dilutions
Flow Cytometry: 1-2 µg/million cells, IF: 1-2 µg/ml, IHC-P: 1-2 µg/ml
Reactivity
Human, Rat, Zebrafish
Immunogen
Membrane preparation of a small cell lung carcinoma.
Host
Mouse
Clonality
Monoclonal
Clone ID
SPM128
Isotype
IgG1
Light Chains
kappa
Conjugate

Unconjugated

Purification
Protein A/G chromatography.
Concentration
1 mg/ml
Molecular Weight
180 kDa / 145 kDa / 125 kDa
Product Form
Liquid
Formulation
Supplied in 10mM Phosphate Buffered Saline; without Sodium Azide and carrier free.
Storage
Shipped at 4°C. Upon delivery aliquot and store at -20°C. Avoid freeze / thaw cycles.
General Notes
This monoclonal antibody is also available in a different formulation with BSA and Sodium Azide - Anti-NCAM1 Antibody [SPM128] (A249475).
Synonyms
CD56, N-CAM-1, NCAM, NCAM-1, Neural cell adhesion molecule 1
Disclaimer
This product is for research use only. It is not intended for diagnostic or therapeutic use.
Publishing research using Anti-NCAM1 Antibody [SPM128] - BSA and Azide free (A252655)? Please let us know so that we can list the citation on this page.

Most popular Anti-NCAM1 Antibodies

Alternative products to Anti-NCAM1 Antibody [SPM128] - BSA and Azide free (A252655)

Proteins predicted to interact with NCAM1

Predicted protein interactions based upon String database. Revelancy score correlates with probability of interaction.
99.6% Relevancy Score
99.5% Relevancy Score
99.1% Relevancy Score
99.1% Relevancy Score
98.2% Relevancy Score
97.2% Relevancy Score
96.9% Relevancy Score
96.7% Relevancy Score
96.4% Relevancy Score