ISO 9001:2015 Certified
Live Customer Support
4.5/5 on Trustpilot
100% Quality Guarantee

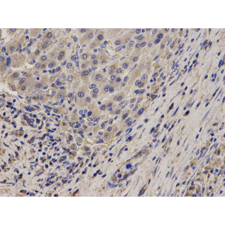
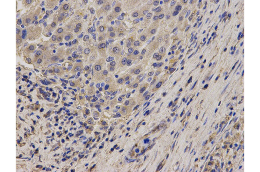
Anti-NDRG2 Antibody (A30736)

$435

Rabbit polyclonal antibody to NDRG2 for WB and IHC.

Shipping Information

$40
Dispatched from St. Louis, MO.
Lead Time: 7-10 business days.
Name
Anti-NDRG2 Antibody
Description
Rabbit polyclonal antibody to NDRG2
Specificity
NDRG2 pAb detects endogenous levels of NDRG2 protein.
Applications
WB, IHC
Reactivity
Human, Mouse, Rat
Immunogen
Recombinant full length Human NDRG2.
Host
Rabbit
Clonality
Polyclonal
Conjugate

Unconjugated

Molecular Weight
~41 kDa
Purity
The antibody was affinity-purified from rabbit antiserum by affinity-chromatography using epitope-specific immunogen and the purity is > 95% (by SDS-PAGE).
Product Form
1mg/ml in PBS with 0.1% Sodium Azide, 50% Glycerol.
Synonyms
KIAA1248, N-myc downstream-regulated gene 2 protein, Protein NDRG2, Protein Syld709613, SYLD
Disclaimer
This product is for research use only. It is not intended for diagnostic or therapeutic use.
Publishing research using Anti-NDRG2 Antibody (A30736)? Please let us know so that we can list the citation on this page.

Alternative products to Anti-NDRG2 Antibody (A30736)

Proteins predicted to interact with NDRG2

Predicted protein interactions based upon String database. Revelancy score correlates with probability of interaction.
86.8% Relevancy Score
80% Relevancy Score
49.5% Relevancy Score
46.5% Relevancy Score
44.1% Relevancy Score
44.1% Relevancy Score
43.2% Relevancy Score
41.3% Relevancy Score
40.4% Relevancy Score