Primary Antibodies
Secondary Antibodies
Proteins & Peptides
ELISA Kits
About Us
Contact Us
Sign In/Register
0
ISO 9001:2015 Certified
Live Customer Support
4.5/5 on Trustpilot
100% Quality Guarantee
Home
Primary Antibodies
NDRG3 Antibodies
Anti-NDRG3 Antibody (A38011)
Anti-NDRG3 Antibody (A38011)
Overview
Specifications
Images
Enlarge Image
Enlarge Image
$430
Product Datasheet
Rabbit polyclonal antibody to NDRG3 for WB and IHC.
100% Guarantee
Price Match Guarantee
Product Size:
100µl
Quantity:
1
2
3
4
5
6
7
8
9
10
Add To Cart
Request a Quotation
Custom or Bulk Request
Shipping Information
Freight/Packing Charges:
$40
Dispatched from St. Louis, MO.
Lead Time: 6-9 business days.
Specifications
Name
Anti-NDRG3 Antibody
Description
Rabbit polyclonal antibody to NDRG3
Specificity
The antibody detects endogenous levels of total NDRG3 protein.
Applications
WB
,
IHC
Reactivity
Human, Mouse, Rat
Immunogen
Synthetic peptide corresponding to residues near the N terminal of human NDRG family member 3
Host
Rabbit
Clonality
Polyclonal
Conjugate
Unconjugated
Purification
Antigen affinity purification.
Concentration
2.1 mg/mL
Formulation
Supplied in PBS, pH 7.3, containing 0.05% sodium azide and 50% glycerol.
Storage
Shipped at 4°C. Upon delivery aliquot and store at -20°C. Avoid freeze/thaw cycles.
Synonyms
N-myc downstream-regulated gene 3 protein, Protein NDRG3
Suitable Secondaries
Goat Anti-Rabbit IgG H&L Antibody (AP) (A294874)
Goat Anti-Rabbit IgG H&L Antibody (Biotin) (A294795)
Goat Anti-Rabbit IgG H&L Antibody (FITC) (A294887)
Goat Anti-Rabbit IgG H&L Antibody (HRP) (A294888)
See all Anti-Rabbit IgG Secondaries →
Disclaimer
This product is for research use only. It is not intended for diagnostic or therapeutic use.
Scientific Validation Data
Validation Data
(2)
Enlarge Image
Anti-NDRG3 Antibody (A38011)
Gel: 12% SDS-PAGE Lysates (from left to right): Mouse brain tissue Amount of lysate: 30ug per lane Primary antibody: 1/1050 dilution Secondary antibody dilution: 1/8000 Exposure time: 2 seconds
Enlarge Image
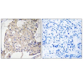
Immunohistochemistry - Anti-NDRG3 Antibody (A38011)
Immunohistochemical analysis of paraffin-embedded Human brain tissue using #37176 at dilution 1/70.
Publishing research using Anti-NDRG3 Antibody (A38011)? Please
let us know
so that we can list the citation on this page.
Alternative products to Anti-NDRG3 Antibody (A38011)
(2)
A95828
Anti-NDRG3 Antibody
Rabbit polyclonal antibody to NDRG3 for WB, IHC, IF and ELISA.
A89784
Anti-NDRG3 Antibody
Rabbit polyclonal antibody to NDRG3 for WB.
(2)
A95828
Anti-NDRG3 Antibody
Rabbit polyclonal antibody to NDRG3 for WB, IHC, IF and ELISA.
A89784
Anti-NDRG3 Antibody
Rabbit polyclonal antibody to NDRG3 for WB.
Proteins predicted to interact with NDRG3
Predicted protein interactions based upon String database. Revelancy score correlates with probability of interaction.
n-Myc Antibodies
79.8% Relevancy Score
Raf1 Antibodies
64.4% Relevancy Score
PHD2 Antibodies
55.8% Relevancy Score
Cyclin G Antibodies
54.7% Relevancy Score
CSTF1 Antibodies
48.6% Relevancy Score
TDP43 Antibodies
47.9% Relevancy Score
HDHD3 Antibodies
47.8% Relevancy Score
FXYD1 Antibodies
44.7% Relevancy Score
Nocturnin Antibodies
44.4% Relevancy Score
Top