Primary Antibodies
Secondary Antibodies
Proteins & Peptides
ELISA Kits
About Us
Contact Us
Sign In/Register
0
ISO 9001:2015 Certified
Live Customer Support
4.5/5 on Trustpilot
100% Quality Guarantee
Home
Primary Antibodies
NDUFA3 Antibodies
Anti-NDUFA3 Antibody (A45361)
Anti-NDUFA3 Antibody (A45361)
Overview
Specifications
Images
Enlarge Image
$290
Product Datasheet
Rabbit polyclonal antibody to NDUFA3 for IHC.
100% Guarantee
Price Match Guarantee
Product Size:
50µl
100µl
Quantity:
1
2
3
4
5
6
7
8
9
10
Add To Cart
Request a Quotation
Custom or Bulk Request
Shipping Information
Freight/Packing Charges:
$40
Dispatched from St. Louis, MO.
Lead Time: 6-9 business days.
Specifications
Name
Anti-NDUFA3 Antibody
Description
Rabbit polyclonal antibody to NDUFA3
Specificity
The antibody detects endogenous levels of total NDUFA3 protein.
Applications
IHC
Reactivity
Human, Mouse
Immunogen
Synthesized peptide derived from internal of human NDUFA3.
Host
Rabbit
Clonality
Polyclonal
Conjugate
Unconjugated
Purification
The antibody was affinity-purified from rabbit antiserum by affinity-chromatography using epitope-specific immunogen.
Concentration
1.0 mg/mL
Formulation
Rabbit IgG in phosphate buffered saline (without Mg2+ and Ca2+), pH 7.4, 150mM NaCl, 0.02% sodium azide and 50% glycerol.
Storage
Shipped at 4°C. Upon delivery aliquot and store at -20°C. Avoid freeze/thaw cycles.
Synonyms
CI-B9, Complex I-B9, NADH dehydrogenase [ubiquinone] 1 alpha subcomplex subunit 3, NADH-ubiquinone oxidoreductase B9 subunit
Suitable Secondaries
Goat Anti-Rabbit IgG H&L Antibody (AP) (A294874)
Goat Anti-Rabbit IgG H&L Antibody (Biotin) (A294795)
Goat Anti-Rabbit IgG H&L Antibody (FITC) (A294887)
Goat Anti-Rabbit IgG H&L Antibody (HRP) (A294888)
See all Anti-Rabbit IgG Secondaries →
Disclaimer
This product is for research use only. It is not intended for diagnostic or therapeutic use.
Scientific Validation Data
Validation Data
(1)
Enlarge Image
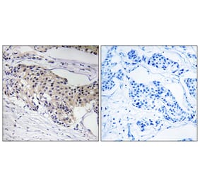
Immunohistochemistry - Anti-NDUFA3 Antibody (A45361)
Immunohistochemistry analysis of paraffin-embedded human pancreas tissue using NDUFA3 antibody #34826.
Publishing research using Anti-NDUFA3 Antibody (A45361)? Please
let us know
so that we can list the citation on this page.
Alternative products to Anti-NDUFA3 Antibody (A45361)
(2)
A98629
Anti-NDUFA3 Antibody
Rabbit polyclonal antibody to NDUFA3 for IHC, IF and ELISA.
A44624
Anti-NADH dehydrogenase [ubiquinone] 1 alpha subcomplex subunit 3 Antibody
Rabbit polyclonal antibody to NADH dehydrogenase [ubiquinone] 1 alpha subcomplex subunit 3 for IHC.
(2)
A98629
Anti-NDUFA3 Antibody
Rabbit polyclonal antibody to NDUFA3 for IHC, IF and ELISA.
A44624
Anti-NADH dehydrogenase [ubiquinone] 1 alpha subcomplex subunit 3 Antibody
Rabbit polyclonal antibody to NADH dehydrogenase [ubiquinone] 1 alpha subcomplex subunit 3 for IHC.
Proteins predicted to interact with NDUFA3
Predicted protein interactions based upon String database. Revelancy score correlates with probability of interaction.
GRIM19 Antibodies
99.9% Relevancy Score
NDUFB5 Antibodies
99.9% Relevancy Score
MT-ND3 Antibodies
99.9% Relevancy Score
NDUFV2 Antibodies
99.9% Relevancy Score
NDUFS1 Antibodies
99.9% Relevancy Score
NDUFAB1 Antibodies
99.9% Relevancy Score
NDUFB3 Antibodies
99.9% Relevancy Score
NDUFA5 Antibodies
99.9% Relevancy Score
NDUFA9 Antibodies
99.9% Relevancy Score
Top