Primary Antibodies
Secondary Antibodies
Proteins & Peptides
ELISA Kits
About Us
Contact Us
Sign In/Register
0
ISO 9001:2015 Certified
Live Customer Support
4.5/5 on Trustpilot
100% Quality Guarantee
Home
Primary Antibodies
Nebulin Antibodies
Anti-NEB Antibody (A47221)
Anti-NEB Antibody (A47221)
Overview
Specifications
Images
Enlarge Image
$430
Product Datasheet
Rabbit polyclonal antibody to NEB for IHC.
100% Guarantee
Price Match Guarantee
Product Size:
100µl
Quantity:
1
2
3
4
5
6
7
8
9
10
Add To Cart
Request a Quotation
Custom or Bulk Request
Shipping Information
Freight/Packing Charges:
$40
Dispatched from St. Louis, MO.
Lead Time: 6-9 business days.
Specifications
Name
Anti-NEB Antibody
Description
Rabbit polyclonal antibody to NEB
Specificity
The antibody detects endogenous levels of total NEB protein.
Applications
IHC
Reactivity
Human
Immunogen
Synthetic peptide corresponding to a region derived from internal residues of human nebulin
Host
Rabbit
Clonality
Polyclonal
Conjugate
Unconjugated
Purification
Antigen affinity purification.
Concentration
2.9 mg/mL
Formulation
Supplied in PBS, pH 7.3, containing 0.05% sodium azide and 50% glycerol.
Storage
Shipped at 4°C. Upon delivery aliquot and store at -20°C. Avoid freeze/thaw cycles.
Suitable Secondaries
Goat Anti-Rabbit IgG H&L Antibody (AP) (A294874)
Goat Anti-Rabbit IgG H&L Antibody (Biotin) (A294795)
Goat Anti-Rabbit IgG H&L Antibody (FITC) (A294887)
Goat Anti-Rabbit IgG H&L Antibody (HRP) (A294888)
See all Anti-Rabbit IgG Secondaries →
Disclaimer
This product is for research use only. It is not intended for diagnostic or therapeutic use.
Scientific Validation Data
Validation Data
(1)
Enlarge Image
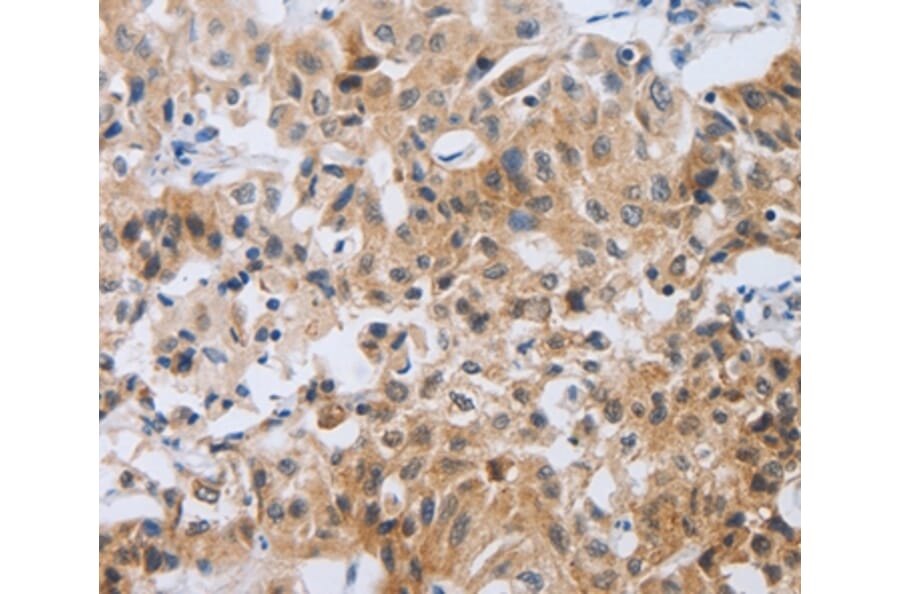
Immunohistochemistry - Anti-NEB Antibody (A47221)
Immunohistochemical analysis of paraffin-embedded Human lung cancer tissue using #37179 at dilution 1/80.
Publishing research using Anti-NEB Antibody (A47221)? Please
let us know
so that we can list the citation on this page.
Proteins predicted to interact with Nebulin
Predicted protein interactions based upon String database. Revelancy score correlates with probability of interaction.
Titin Antibodies
99.8% Relevancy Score
MYPN Antibodies
99.1% Relevancy Score
MYL1 Antibodies
97.3% Relevancy Score
Tropomodulin 2 Antibodies
96.7% Relevancy Score
Dystrophin Antibodies
96.4% Relevancy Score
MURF1 Antibodies
92.3% Relevancy Score
CAPZA1 Antibodies
90.5% Relevancy Score
Troponin T1 Antibodies
90.4% Relevancy Score
N-WASP Antibodies
87.8% Relevancy Score
Top