Western Blot - Anti-Nectin 2 Antibody [ARC1665] (A308952)
Western blot analysis of extracts of various cell lines, using Anti-Nectin 2 Antibody (A308952) at 1:1,000 dilution. The secondary antibody was Goat Anti-Rabbit IgG H&L Antibody (HRP) at 1:10,000 dilution. Lysates/proteins were present at 25µg per lane. The blocking buffer used was 3% non-fat dry milk in TBST. Detection was with a ECL Basic Kit. Exposure time: 10s.
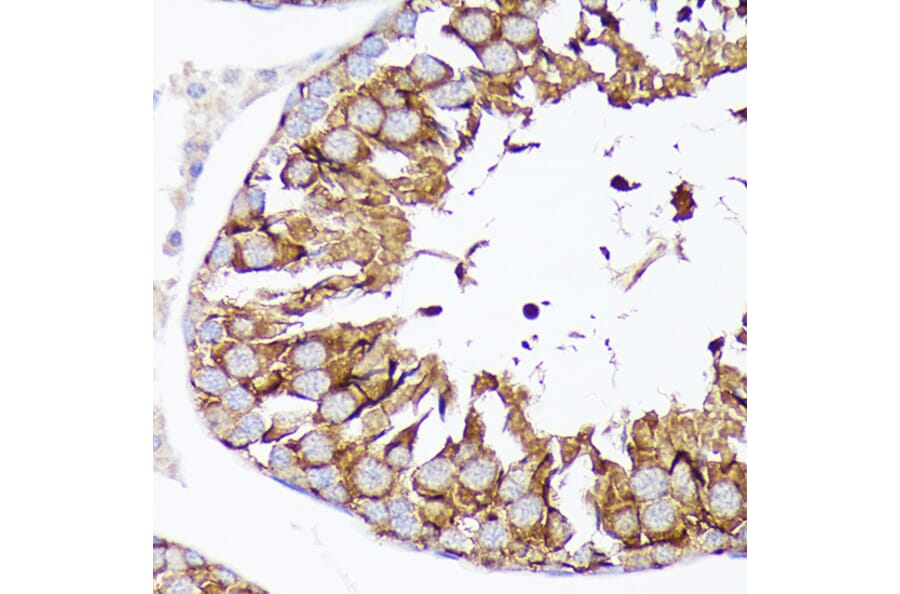
Immunohistochemistry analysis of paraffin-embedded rat testis using Anti-Nectin 2 Antibody (A308952) at a dilution of 1:100 (40x lens). Perform microwave antigen retrieval with 10 mM Tris/EDTA buffer pH 9.0 before commencing with IHC staining protocol.
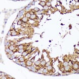
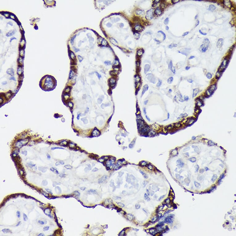
Immunohistochemistry analysis of paraffin-embedded human placenta using Anti-Nectin 2 Antibody (A308952) at a dilution of 1:100 (40x lens). Perform microwave antigen retrieval with 10 mM Tris/EDTA buffer pH 9.0 before commencing with IHC staining protocol.
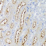
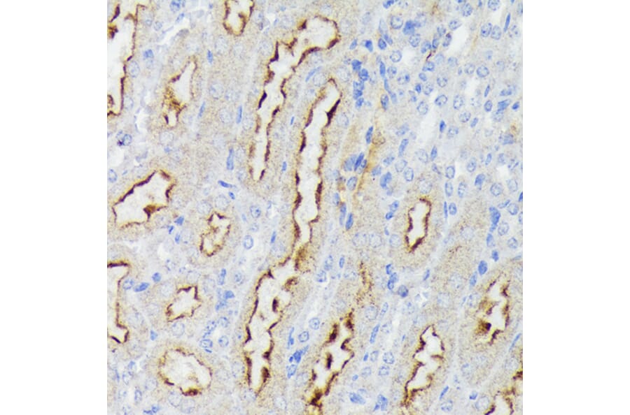
Immunohistochemistry analysis of paraffin-embedded mouse kidney using Anti-Nectin 2 Antibody (A308952) at a dilution of 1:100 (40x lens). Perform microwave antigen retrieval with 10 mM Tris/EDTA buffer pH 9.0 before commencing with IHC staining protocol.
Publishing research using Anti-Nectin 2 Antibody [ARC1665] (A308952)? Please let us know so that we can list the citation on this page.
Alternative products to Anti-Nectin 2 Antibody [ARC1665] (A308952)
Recombinant mouse monoclonal antibody to Nectin 2 for use as a research grade NTX-1107C biosimilar for ELISA, Flow Cytometry, Functional Studies and in vivo Research.
Recombinant human monoclonal antibody to Nectin 2 for use as a research grade remzistotug biosimilar for ELISA, Flow Cytometry, Functional Studies and in vivo Research.
Recombinant mouse monoclonal antibody to Nectin 2 for use as a research grade NTX-1107C biosimilar for ELISA, Flow Cytometry, Functional Studies and in vivo Research.
Recombinant human monoclonal antibody to Nectin 2 for use as a research grade remzistotug biosimilar for ELISA, Flow Cytometry, Functional Studies and in vivo Research.