Primary Antibodies
Secondary Antibodies
Proteins & Peptides
ELISA Kits
About Us
Contact Us
Sign In/Register
0
ISO 9001:2015 Certified
Live Customer Support
4.5/5 on Trustpilot
100% Quality Guarantee
Home
Primary Antibodies
NEK4 Antibodies
Anti-NEK4 Antibody (A46903)
Anti-NEK4 Antibody (A46903)
Overview
Specifications
Images
Enlarge Image
Enlarge Image
$430
Rabbit polyclonal antibody to NEK4 for IHC.
100% Guarantee
Price Match Guarantee
Product Size:
100µl
Quantity:
1
2
3
4
5
6
7
8
9
10
Add To Cart
Request a Quotation
Custom or Bulk Request
Shipping Information
Freight/Packing Charges:
$40
Dispatched from St. Louis, MO.
Lead Time: 6-9 business days.
Specifications
Name
Anti-NEK4 Antibody
Description
Rabbit polyclonal antibody to NEK4
Specificity
The antibody detects endogenous levels of total NEK4 protein.
Applications
IHC
Reactivity
Human
Immunogen
Synthetic peptide corresponding to a region derived from internal residues of human NIMA-related kinase 4
Host
Rabbit
Clonality
Polyclonal
Conjugate
Unconjugated
Purification
Antigen affinity purification.
Concentration
0.9mg / ml
Formulation
Rabbit IgG in pH7.3 PBS, 0.05% NaN3, 50% Glycerol.
Storage
Store at -20˚C
Synonyms
Never in mitosis A-related kinase 4, NimA-related protein kinase 4, Serine/threonine-protein kinase 2, Serine/threonine-protein kinase Nek4, Serine/threonine-protein kinase NRK2, STK2
Suitable Secondaries
Goat Anti-Rabbit IgG H&L Antibody (AP) (A294874)
Goat Anti-Rabbit IgG H&L Antibody (Biotin) (A294795)
Goat Anti-Rabbit IgG H&L Antibody (FITC) (A294887)
Goat Anti-Rabbit IgG H&L Antibody (HRP) (A294888)
See all Anti-Rabbit IgG Secondaries →
Disclaimer
This product is for research use only. It is not intended for diagnostic or therapeutic use.
Scientific Validation Data
Validation Data
(2)
Enlarge Image
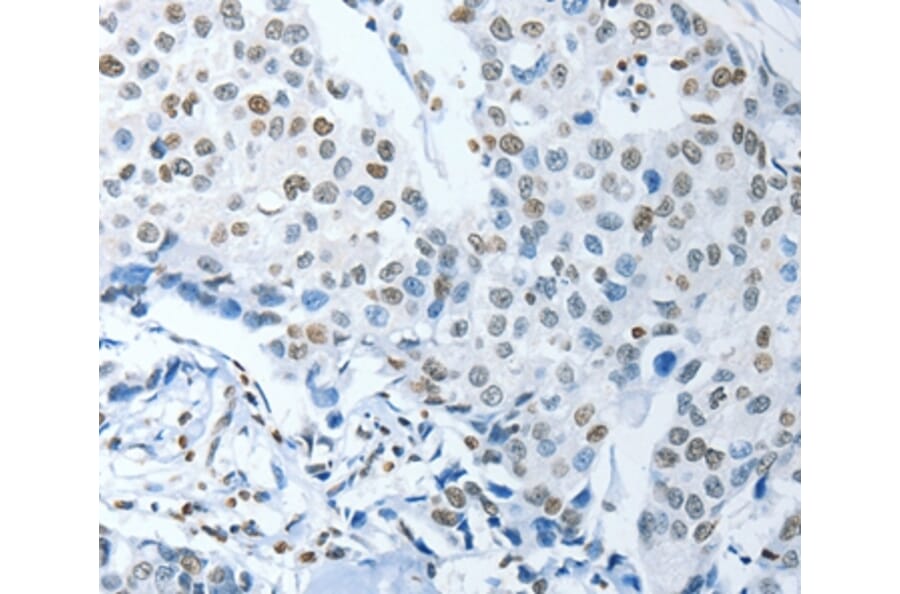
Immunohistochemistry - Anti-NEK4 Antibody (A46903)
Immunohistochemical analysis of paraffin-embedded Human colon cancer tissue using #37378 at dilution 1/25.
Enlarge Image
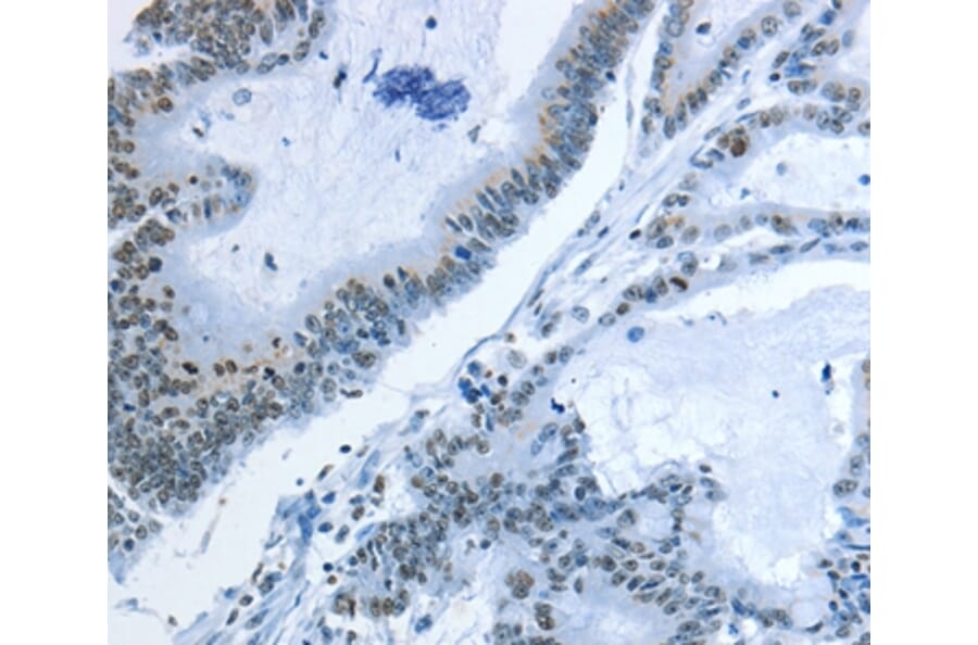
Immunohistochemistry - Anti-NEK4 Antibody (A46903)
Immunohistochemical analysis of paraffin-embedded Human breast cancer tissue using #37378 at dilution 1/25.
Publishing research using Anti-NEK4 Antibody (A46903)? Please
let us know
so that we can list the citation on this page.
Alternative products to Anti-NEK4 Antibody (A46903)
(2)
A38359
Anti-NEK4 Antibody
Rabbit polyclonal antibody to NEK4 for WB and IHC.
A91455
Anti-NEK4 Antibody
Rabbit polyclonal antibody to NEK4 for WB.
(2)
A38359
Anti-NEK4 Antibody
Rabbit polyclonal antibody to NEK4 for WB and IHC.
A91455
Anti-NEK4 Antibody
Rabbit polyclonal antibody to NEK4 for WB.
Proteins predicted to interact with NEK4
Predicted protein interactions based upon String database. Revelancy score correlates with probability of interaction.
RPGRIP1 Antibodies
64.8% Relevancy Score
WBSCR16 Antibodies
62.8% Relevancy Score
ITIH3 Antibodies
61.2% Relevancy Score
MYO7A Antibodies
58.2% Relevancy Score
MCM3 Antibodies
57.7% Relevancy Score
Ku70 Antibodies
56% Relevancy Score
DNA PKcs Antibodies
55.5% Relevancy Score
NEK6 Antibodies
54.9% Relevancy Score
MNK2 Antibodies
53.5% Relevancy Score
Top