Primary Antibodies
Secondary Antibodies
Proteins & Peptides
ELISA Kits
About Us
Contact Us
Sign In/Register
0
ISO 9001:2015 Certified
Live Customer Support
4.5/5 on Trustpilot
100% Quality Guarantee
Home
Primary Antibodies
NEK5 Antibodies
Anti-NEK5 Antibody (A46904)
Anti-NEK5 Antibody (A46904)
Overview
Specifications
Images
Enlarge Image
Enlarge Image
$430
Product Datasheet
Rabbit polyclonal antibody to NEK5 for IHC.
100% Guarantee
Price Match Guarantee
Product Size:
100µl
Quantity:
1
2
3
4
5
6
7
8
9
10
Add To Cart
Request a Quotation
Custom or Bulk Request
Shipping Information
Freight/Packing Charges:
$40
Dispatched from St. Louis, MO.
Lead Time: 6-9 business days.
Specifications
Name
Anti-NEK5 Antibody
Description
Rabbit polyclonal antibody to NEK5
Specificity
The antibody detects endogenous levels of total NEK5 protein.
Applications
IHC
Reactivity
Human
Immunogen
Synthetic peptide corresponding to a region derived from internal residues of human NIMA-related kinase 5
Host
Rabbit
Clonality
Polyclonal
Conjugate
Unconjugated
Purification
Antigen affinity purification.
Concentration
2.4 mg/mL
Formulation
Supplied in PBS, pH 7.3, containing 0.05% sodium azide and 50% glycerol.
Storage
Shipped at 4°C. Upon delivery aliquot and store at -20°C. Avoid freeze/thaw cycles.
Synonyms
Never in mitosis A-related kinase 5, NimA-related protein kinase 5, Serine/threonine-protein kinase Nek5
Suitable Secondaries
Goat Anti-Rabbit IgG H&L Antibody (AP) (A294874)
Goat Anti-Rabbit IgG H&L Antibody (Biotin) (A294795)
Goat Anti-Rabbit IgG H&L Antibody (FITC) (A294887)
Goat Anti-Rabbit IgG H&L Antibody (HRP) (A294888)
See all Anti-Rabbit IgG Secondaries →
Disclaimer
This product is for research use only. It is not intended for diagnostic or therapeutic use.
Scientific Validation Data
Validation Data
(2)
Enlarge Image
Immunohistochemistry - Anti-NEK5 Antibody (A46904)
Immunohistochemical analysis of paraffin-embedded Human lymphoma tissue using #37379 at dilution 1/60.
Enlarge Image
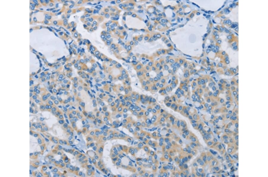
Immunohistochemistry - Anti-NEK5 Antibody (A46904)
Immunohistochemical analysis of paraffin-embedded Human thyroid cancer tissue using #37379 at dilution 1/60.
Publishing research using Anti-NEK5 Antibody (A46904)? Please
let us know
so that we can list the citation on this page.
Alternative products to Anti-NEK5 Antibody (A46904)
A99379
Anti-NEK5 Antibody
Rabbit polyclonal antibody to NEK5 for WB and ELISA.
A35357
Anti-NEK5 Antibody
Rabbit polyclonal antibody to NEK5 for WB, IHC and ICC/IF.
A99379
Anti-NEK5 Antibody
Rabbit polyclonal antibody to NEK5 for WB and ELISA.
A35357
Anti-NEK5 Antibody
Rabbit polyclonal antibody to NEK5 for WB, IHC and ICC/IF.
Proteins predicted to interact with NEK5
Predicted protein interactions based upon String database. Revelancy score correlates with probability of interaction.
COX11 Antibodies
50.7% Relevancy Score
BTF Antibodies
50% Relevancy Score
NEK2 Antibodies
42.9% Relevancy Score
CLPP Antibodies
37.5% Relevancy Score
Eg5 Antibodies
34.9% Relevancy Score
GPR64 Antibodies
33.8% Relevancy Score
Bub1 Antibodies
33.5% Relevancy Score
HIPK4 Antibodies
32.4% Relevancy Score
FAM130A1 Antibodies
31.8% Relevancy Score
Top