Primary Antibodies
Secondary Antibodies
Proteins & Peptides
ELISA Kits
About Us
Contact Us
Sign In/Register
0
ISO 9001:2015 Certified
Live Customer Support
4.5/5 on Trustpilot
100% Quality Guarantee
Home
Primary Antibodies
NEK7 Antibodies
Anti-NEK7 Antibody (A35394)
Anti-NEK7 Antibody (A35394)
Overview
Specifications
Images
Enlarge Image
Enlarge Image
Enlarge Image
$645
Product Datasheet
Rabbit polyclonal antibody to NEK7 for WB, IHC and ICC/IF.
100% Guarantee
Price Match Guarantee
Product Size:
100µl
Quantity:
1
2
3
4
5
6
7
8
9
10
Add To Cart
Request a Quotation
Custom or Bulk Request
Shipping Information
Freight/Packing Charges:
$40
Dispatched from St. Louis, MO.
Lead Time: 6-9 business days.
Specifications
Name
Anti-NEK7 Antibody
Description
Rabbit polyclonal antibody to NEK7
Applications
WB
,
IHC
,
ICC/IF
Reactivity
Human
Immunogen
Synthetic peptide contain a sequence corresponding to a region within amino acids 238 and 302 of NEK7
Host
Rabbit
Clonality
Polyclonal
Conjugate
Unconjugated
Purification
Purified by antigen-affinity chromatography.
Formulation
Supplied in 0.1M Tris-buffered saline with 10% Glycerol (pH7.0). 0.01% Thimerosal was added as a preservative.
Storage
Shipped at 4°C. Upon delivery aliquot and store at -20°C. Avoid freeze/thaw cycles.
Synonyms
Never in mitosis A-related kinase 7, NimA-related protein kinase 7, Serine/threonine-protein kinase Nek7
Suitable Secondaries
Goat Anti-Rabbit IgG H&L Antibody (AP) (A294874)
Goat Anti-Rabbit IgG H&L Antibody (Biotin) (A294795)
Goat Anti-Rabbit IgG H&L Antibody (FITC) (A294887)
Goat Anti-Rabbit IgG H&L Antibody (HRP) (A294888)
See all Anti-Rabbit IgG Secondaries →
Disclaimer
This product is for research use only. It is not intended for diagnostic or therapeutic use.
Scientific Validation Data
Validation Data
(3)
Enlarge Image
Anti-NEK7 Antibody (A35394)
Sample (30 µg of whole cell lysate) HeLa S3 12% SDS PAGE Primary antibody diluted at 1: 500
Enlarge Image
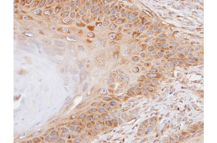
Immunohistochemistry - Anti-NEK7 Antibody (A35394)
Immunohistochemical analysis of paraffin-embedded Tw2.6 xenograft, using NEK7 antibody at 1: 100 dilution.
Enlarge Image
Immunofluorescence - Anti-NEK7 Antibody (A35394)
Immunofluorescence analysis of paraformaldehyde-fixed HeLa, using NEK7 antibody at 1: 200 dilution.
Publishing research using Anti-NEK7 Antibody (A35394)? Please
let us know
so that we can list the citation on this page.
Alternative products to Anti-NEK7 Antibody (A35394)
(2)
A84901
Anti-NEK7 Antibody
Goat polyclonal antibody to NEK7 for ELISA and WB.
(2)
A98014
Anti-NEK7 Antibody
Rabbit polyclonal antibody to NEK7 for WB, IHC, IF and ELISA.
(2)
A84900
Anti-NEK7 Antibody
Goat polyclonal antibody to NEK7 for ELISA, WB and IHC.
A347372
Anti-NEK7 Antibody [24GB12300]
Recombinant rabbit monoclonal [24GB12300] antibody to NEK7 for WB, Flow Cytometry and ICC/IF.
(2)
A308189
Anti-NEK7 Antibody
Rabbit polyclonal antibody to NEK7 for WB.
A347371
Anti-NEK7 Antibody [23GB2885]
Recombinant rabbit monoclonal [23GB2885] antibody to NEK7 for WB, Flow Cytometry and ICC/IF.
A307814
Anti-NEK7 Antibody [ARC2342]
Rabbit monoclonal [ARC2342] antibody to NEK7 for WB.
A44176
Anti-NEK7 Antibody
Rabbit polyclonal antibody to NEK7 for WB.
(2)
A84901
Anti-NEK7 Antibody
Goat polyclonal antibody to NEK7 for ELISA and WB.
(2)
A98014
Anti-NEK7 Antibody
Rabbit polyclonal antibody to NEK7 for WB, IHC, IF and ELISA.
(2)
A84900
Anti-NEK7 Antibody
Goat polyclonal antibody to NEK7 for ELISA, WB and IHC.
A347372
Anti-NEK7 Antibody [24GB12300]
Recombinant rabbit monoclonal [24GB12300] antibody to NEK7 for WB, Flow Cytometry and ICC/IF.
(2)
A308189
Anti-NEK7 Antibody
Rabbit polyclonal antibody to NEK7 for WB.
A347371
Anti-NEK7 Antibody [23GB2885]
Recombinant rabbit monoclonal [23GB2885] antibody to NEK7 for WB, Flow Cytometry and ICC/IF.
A307814
Anti-NEK7 Antibody [ARC2342]
Rabbit monoclonal [ARC2342] antibody to NEK7 for WB.
A44176
Anti-NEK7 Antibody
Rabbit polyclonal antibody to NEK7 for WB.
See all NEK7 Antibodies
Proteins predicted to interact with NEK7
Predicted protein interactions based upon String database. Revelancy score correlates with probability of interaction.
NEK9 Antibodies
99.9% Relevancy Score
NLRP3 Antibodies
99.9% Relevancy Score
NEK6 Antibodies
94.6% Relevancy Score
Caspase-1 Antibodies
93.9% Relevancy Score
ASC Antibodies
79.9% Relevancy Score
GSDMD Antibodies
79.5% Relevancy Score
BICD2 Antibodies
77.5% Relevancy Score
EML4 Antibodies
71.2% Relevancy Score
IL-1 beta Antibodies
69% Relevancy Score
Top