ISO 9001:2015 Certified
Live Customer Support
4.5/5 on Trustpilot
100% Quality Guarantee

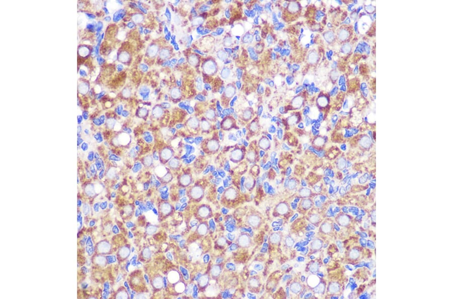
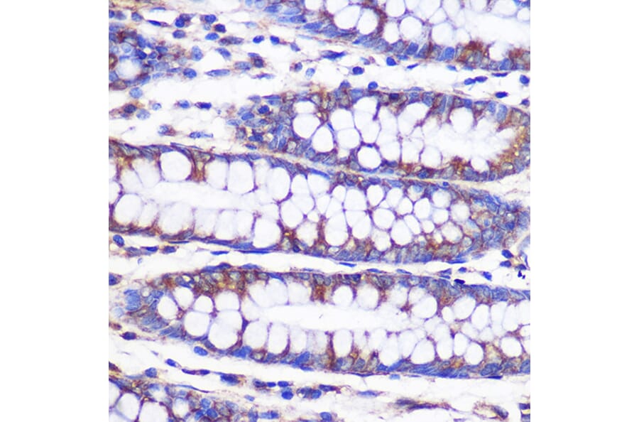
Anti-NEK9 Antibody (A308715)

Rabbit polyclonal antibody to NEK9 for WB and IHC.

Shipping Information

$40
Dispatched from St. Louis, MO.
Lead Time: 7-10 business days.
Name
Anti-NEK9 Antibody
Description
Rabbit polyclonal antibody to NEK9.
Applications
WB, IHC
Dilutions
WB: 1:500-1:2,000, IHC: 1:50-1:200
Reactivity
Human, Mouse, Rat
Immunogen
Recombinant fusion protein containing a sequence corresponding to amino acids 730-979 of human NEK9 (NP_149107.4).
Sequence
SKTIRSNSSGLSIGTVFQSSSPGGGGGGGGGEEEDSQQESETPDPSGGFRGTMEADRGMEGLISPTEAMGNSNGASSSCPGWLRKELENAEFIPMPDSPSPLSAAFSESEKDTLPYEELQGLKVASEAPLEHKPQVEASSPRLNPAVTCAGKGTPLTPPACACSSLQVEVERLQGLVLKCLAEQQKLQQENLQIFTQLQKLNKKLEGGQQVGMHSKGTQTAKEEMEMDPKPDLDSDSWCLLGTDSCRPSL
Host
Rabbit
Clonality
Polyclonal
Isotype
IgG
Conjugate

Unconjugated

Purification
Affinity purification.
Concentration
Lot Specific
Molecular Weight
107 kDa
Product Form
Liquid
Formulation
Supplied in Phosphate Buffered Saline, pH 7.3, with 50% Glycerol and 0.01% Thiomersal.
Storage
Shipped at 4°C. Upon delivery aliquot and store at -20°C. Avoid freeze/thaw cycles.
Synonyms
KIAA1995, NEK8, NERCC, Nercc1 kinase, Never in mitosis A-related kinase 9, NimA-related kinase 8, NimA-related protein kinase 9, Serine/threonine-protein kinase Nek9
Disclaimer
This product is for research use only. It is not intended for diagnostic or therapeutic use.
Publishing research using Anti-NEK9 Antibody (A308715)? Please let us know so that we can list the citation on this page.

Alternative products to Anti-NEK9 Antibody (A308715)

Proteins predicted to interact with NEK9

Predicted protein interactions based upon String database. Revelancy score correlates with probability of interaction.
99.9% Relevancy Score
97.5% Relevancy Score
97.3% Relevancy Score
92.9% Relevancy Score
92.4% Relevancy Score
85.6% Relevancy Score
84.4% Relevancy Score
81.1% Relevancy Score
75.8% Relevancy Score