ISO 9001:2015 Certified
Live Customer Support
4.5/5 on Trustpilot
100% Quality Guarantee

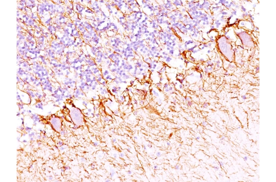
Anti-Neurofilament Heavy Polypeptide Antibody [SPM203] - BSA and Azide free (A252670)

Mouse monoclonal [SPM203] antibody to Neurofilament Heavy Polypeptide for Flow Cytometry, WB and IHC-P.

Alternative Formats and ConjugatesAlternative Formats

Shipping Information

$40
Dispatched from St. Louis, MO.
Lead Time: 5-8 business days.
Name
Anti-Neurofilament Heavy Polypeptide Antibody [SPM203] - BSA and Azide free
Description
Mouse monoclonal [SPM203] antibody to Neurofilament Heavy Polypeptide.
Specificity
This antibody reacts with a 200kDa protein, identified as heavy sub-unit of neurofilaments (NF-H). Neurofilaments make up the main structural elements of axons and dendrites and are found in neurons, peripheral nerves, and sympathetic ganglion cells. Neurofilaments consist of three major subunits with molecular weights of 68kDa (NF-L), 160kDa (NF-M) and 200kDa (NF-H). Anti-neurofilament stains a number of neural, neuroendocrine, and endocrine tumors. Neuromas, ganglioneuromas, gangliogliomas, ganglioneuroblastomas, and neuroblastomas stain positively for anti-neurofilament. Neurofilaments are also present in paragangliomas as well as adrenal and extra-adrenal pheochromocytomas. Carcinoids, neuroendocrine carcinomas of the skin, and oat cell carcinomas of the lung also express neurofilament.
Applications
Flow Cytometry, WB, IHC-P
Dilutions
Flow Cytometry: 1-2 µg/million cells, WB: 1-2 µg/ml, IHC-P: 0.25-0.5 µg/ml
Reactivity
Human, Mouse, Rat, Chicken, Porcine
Immunogen
Triton-X 100 insoluble protein fraction of rat brain.
Host
Mouse
Clonality
Monoclonal
Clone ID
SPM203
Isotype
IgG1
Light Chains
kappa
Conjugate

Unconjugated

Purification
Protein A/G chromatography.
Concentration
1 mg/ml
Molecular Weight
200 kDa
Product Form
Liquid
Formulation
Supplied in 10mM Phosphate Buffered Saline; without Sodium Azide and carrier free.
Storage
Shipped at 4°C. Upon delivery aliquot and store at -20°C. Avoid freeze / thaw cycles.
General Notes
This monoclonal antibody is also available in a different formulation with BSA and Sodium Azide - Anti-Neurofilament Heavy Polypeptide Antibody [SPM203] (A249490).
Synonyms
200 kDa neurofilament protein, KIAA0845, NEFH, Neurofilament triplet H protein, NFH
Disclaimer
This product is for research use only. It is not intended for diagnostic or therapeutic use.
Publishing research using Anti-Neurofilament Heavy Polypeptide Antibody [SPM203] - BSA and Azide free (A252670)? Please let us know so that we can list the citation on this page.

Most popular Anti-Neurofilament Heavy Polypeptide Antibodies

Alternative products to Anti-Neurofilament Heavy Polypeptide Antibody [SPM203] - BSA and Azide free (A252670)

Proteins predicted to interact with NF-H

Predicted protein interactions based upon String database. Revelancy score correlates with probability of interaction.
99.6% Relevancy Score
99.3% Relevancy Score
98.8% Relevancy Score
94.7% Relevancy Score
92.3% Relevancy Score
92.2% Relevancy Score
91.9% Relevancy Score
91.8% Relevancy Score
91.5% Relevancy Score