Primary Antibodies
Secondary Antibodies
Proteins & Peptides
ELISA Kits
About Us
Contact Us
Sign In/Register
0
ISO 9001:2015 Certified
Live Customer Support
4.5/5 on Trustpilot
100% Quality Guarantee
Home
Primary Antibodies
Neurogenin 2 Antibodies
Anti-NEUROG2 Antibody (A45160)
Anti-NEUROG2 Antibody (A45160)
Overview
Specifications
Images
Enlarge Image
Enlarge Image
$430
Product Datasheet
Rabbit polyclonal antibody to NEUROG2 for IHC.
100% Guarantee
Price Match Guarantee
Product Size:
100µl
Quantity:
1
2
3
4
5
6
7
8
9
10
Add To Cart
Request a Quotation
Custom or Bulk Request
Shipping Information
Freight/Packing Charges:
$40
Dispatched from St. Louis, MO.
Lead Time: 6-9 business days.
Specifications
Name
Anti-NEUROG2 Antibody
Description
Rabbit polyclonal antibody to NEUROG2
Specificity
The antibody detects endogenous levels of total NEUROG2 protein.
Applications
IHC
Reactivity
Human
Immunogen
Synthetic peptide corresponding to a region derived from internal residues of human neurogenin 2
Host
Rabbit
Clonality
Polyclonal
Conjugate
Unconjugated
Purification
Antigen affinity purification.
Concentration
0.6 mg/mL
Formulation
Supplied in PBS, pH 7.3, containing 0.05% sodium azide and 50% glycerol.
Storage
Shipped at 4°C. Upon delivery aliquot and store at -20°C. Avoid freeze/thaw cycles.
Synonyms
ATOH4, BHLHA8, Class A basic helix-loop-helix protein 8, Neurogenin-2, NGN-2, NGN2, Protein atonal homolog 4
Suitable Secondaries
Goat Anti-Rabbit IgG H&L Antibody (AP) (A294874)
Goat Anti-Rabbit IgG H&L Antibody (Biotin) (A294795)
Goat Anti-Rabbit IgG H&L Antibody (FITC) (A294887)
Goat Anti-Rabbit IgG H&L Antibody (HRP) (A294888)
See all Anti-Rabbit IgG Secondaries →
Disclaimer
This product is for research use only. It is not intended for diagnostic or therapeutic use.
Scientific Validation Data
Validation Data
(2)
Enlarge Image
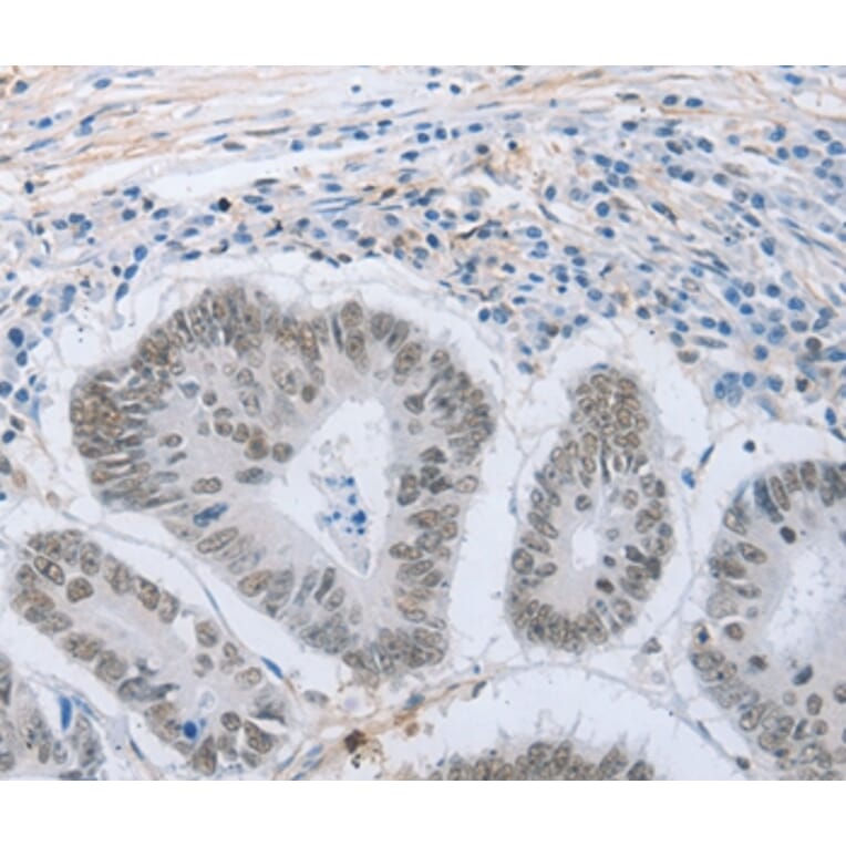
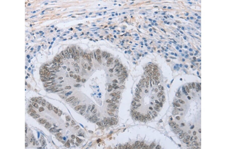
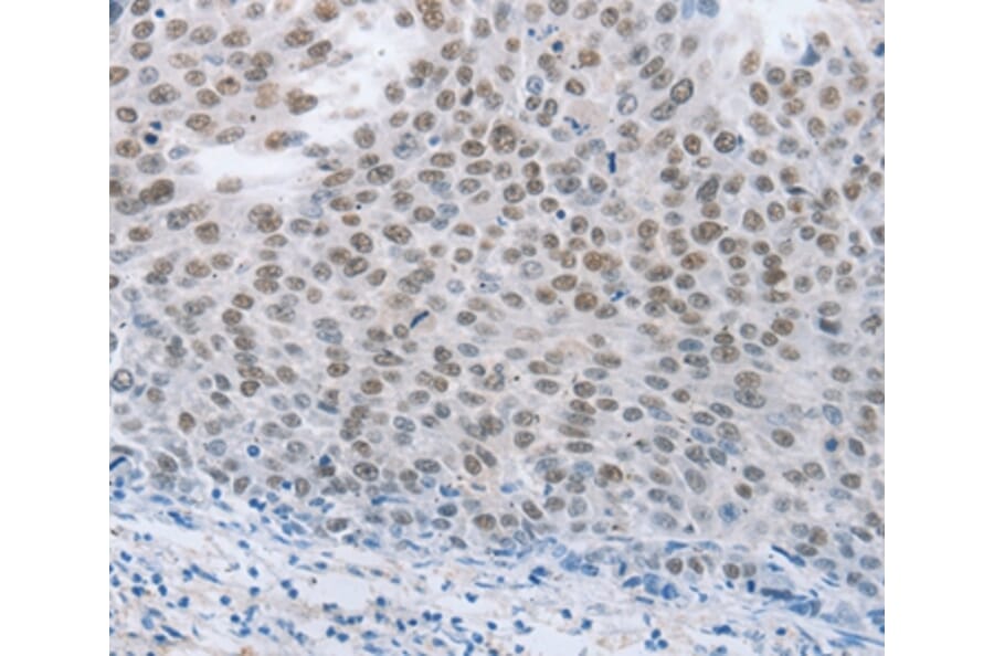
Immunohistochemistry - Anti-NEUROG2 Antibody (A45160)
Immunohistochemical analysis of paraffin-embedded Human colon cancer tissue using #37185 at dilution 1/15.
Enlarge Image
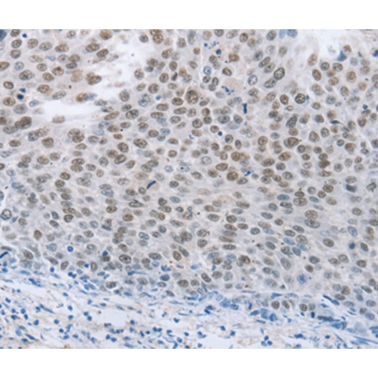
Immunohistochemistry - Anti-NEUROG2 Antibody (A45160)
Immunohistochemical analysis of paraffin-embedded Human liver cancer tissue using #37185 at dilution 1/15.
Publishing research using Anti-NEUROG2 Antibody (A45160)? Please
let us know
so that we can list the citation on this page.
Alternative products to Anti-NEUROG2 Antibody (A45160)
A49015
Anti-neurogenin 2 Antibody
Rabbit polyclonal antibody to neurogenin 2 for ELISA and WB.
A49015
Anti-neurogenin 2 Antibody
Rabbit polyclonal antibody to neurogenin 2 for ELISA and WB.
Proteins predicted to interact with Neurogenin 2
Predicted protein interactions based upon String database. Revelancy score correlates with probability of interaction.
MASH1 Antibodies
97.6% Relevancy Score
PAX6 Antibodies
90.8% Relevancy Score
Islet 1 Antibodies
89.7% Relevancy Score
SOX1 Antibodies
87.5% Relevancy Score
SOX2 Antibodies
85% Relevancy Score
BRN3A Antibodies
83.4% Relevancy Score
Olig2 Antibodies
82.5% Relevancy Score
LIM1 Antibodies
81.2% Relevancy Score
ISL2 Antibodies
80.5% Relevancy Score
Top