Primary Antibodies
Secondary Antibodies
Proteins & Peptides
ELISA Kits
About Us
Contact Us
Sign In/Register
0
ISO 9001:2015 Certified
Live Customer Support
4.5/5 on Trustpilot
100% Quality Guarantee
Home
Primary Antibodies
Neurogenin 3 Antibodies
Anti-NEUROG3 Antibody (A36894)
Anti-NEUROG3 Antibody (A36894)
Overview
Specifications
Images
Enlarge Image
Enlarge Image
$415
Product Datasheet
Rabbit polyclonal antibody to NEUROG3 for WB and IHC.
100% Guarantee
Price Match Guarantee
Product Size:
50µl
100µl
Quantity:
1
2
3
4
5
6
7
8
9
10
Add To Cart
Request a Quotation
Custom or Bulk Request
Shipping Information
Freight/Packing Charges:
$40
Dispatched from St. Louis, MO.
Lead Time: 6-9 business days.
Specifications
Name
Anti-NEUROG3 Antibody
Description
Rabbit polyclonal antibody to NEUROG3
Specificity
The antibody detects endogenous level of total NEUROG3 antibody.
Applications
WB
,
IHC
Reactivity
Human, Mouse, Rat
Immunogen
Recombinant protein of human NEUROG3.
Host
Rabbit
Clonality
Polyclonal
Conjugate
Unconjugated
Purification
Antibodies were purified by affinity purification using immunogen.
Concentration
1.0 mg/mL
Formulation
Supplied in phosphate-buffered saline (without Mg²? and Ca²?), pH 7.4, containing 150 mM NaCl, 0.02% sodium azide, and 50% glycerol.
Storage
Shipped at 4°C. Upon delivery aliquot and store at -20°C. Avoid freeze/thaw cycles.
Synonyms
ATOH5, BHLHA7, Class A basic helix-loop-helix protein 7, Neurogenin-3, NGN-3, NGN3, Protein atonal homolog 5
Suitable Secondaries
Goat Anti-Rabbit IgG H&L Antibody (AP) (A294874)
Goat Anti-Rabbit IgG H&L Antibody (Biotin) (A294795)
Goat Anti-Rabbit IgG H&L Antibody (FITC) (A294887)
Goat Anti-Rabbit IgG H&L Antibody (HRP) (A294888)
See all Anti-Rabbit IgG Secondaries →
Disclaimer
This product is for research use only. It is not intended for diagnostic or therapeutic use.
Scientific Validation Data
Validation Data
(2)
Enlarge Image
Anti-NEUROG3 Antibody (A36894)
Western blot analysis of extracts of mouse testis tissue, using NEUROG3 antibody.
Enlarge Image
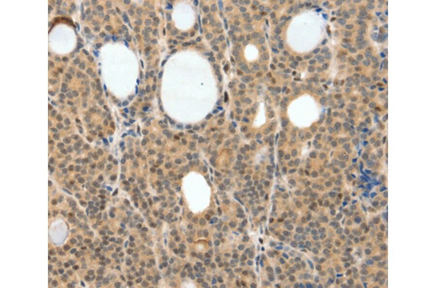
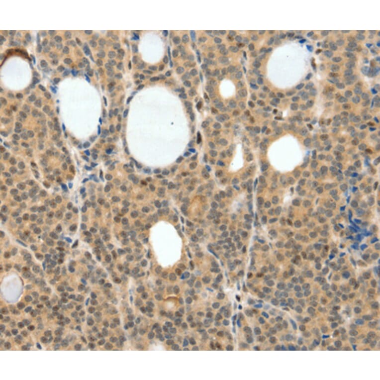
Immunohistochemistry - Anti-NEUROG3 Antibody (A36894)
Immunohistochemistry analysis of paraffin-embedded human thyroid cancer tissue using NEUROG3 antibody.
Publishing research using Anti-NEUROG3 Antibody (A36894)? Please
let us know
so that we can list the citation on this page.
Alternative products to Anti-NEUROG3 Antibody (A36894)
(4)
A277730
Anti-NeuroG3 Antibody [PCRP-NEUROG3-1E10]
Mouse monoclonal [PCRP-NEUROG3-1E10] antibody to NeuroG3 for ELISA, IP and Flow Cytometry.
(4)
A278318
Anti-NeuroG3 Antibody [PCRP-NEUROG3-1E10] - BSA and Azide free
Mouse monoclonal [PCRP-NEUROG3-1E10] antibody to NeuroG3 for ELISA, IP and Flow Cytometry.
(2)
A36825
Anti-NEUROG3 Antibody
Rabbit polyclonal antibody to NEUROG3 for WB and IHC.
(4)
A277730
Anti-NeuroG3 Antibody [PCRP-NEUROG3-1E10]
Mouse monoclonal [PCRP-NEUROG3-1E10] antibody to NeuroG3 for ELISA, IP and Flow Cytometry.
(4)
A278318
Anti-NeuroG3 Antibody [PCRP-NEUROG3-1E10] - BSA and Azide free
Mouse monoclonal [PCRP-NEUROG3-1E10] antibody to NeuroG3 for ELISA, IP and Flow Cytometry.
(2)
A36825
Anti-NEUROG3 Antibody
Rabbit polyclonal antibody to NEUROG3 for WB and IHC.
Proteins predicted to interact with Neurogenin 3
Predicted protein interactions based upon String database. Revelancy score correlates with probability of interaction.
PAX4 Antibodies
98% Relevancy Score
HES1 Antibodies
97.1% Relevancy Score
ONECUT1 Antibodies
96.7% Relevancy Score
INSM1 Antibodies
95.5% Relevancy Score
NKX2.2 Antibodies
95.3% Relevancy Score
Islet 1 Antibodies
89.6% Relevancy Score
GLP1 Antibodies
88.5% Relevancy Score
NKX6.1 Antibodies
88.5% Relevancy Score
NeuroD1 Antibodies
88.2% Relevancy Score
Top