ISO 9001:2015 Certified
Live Customer Support
4.5/5 on Trustpilot
100% Quality Guarantee

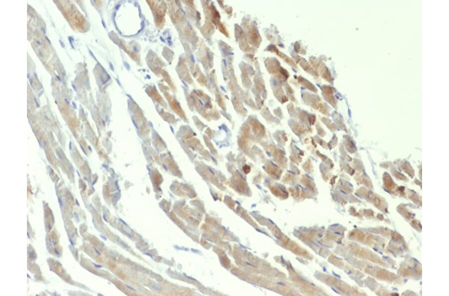
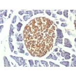
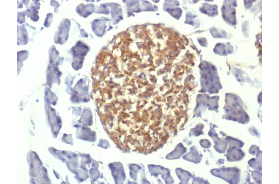
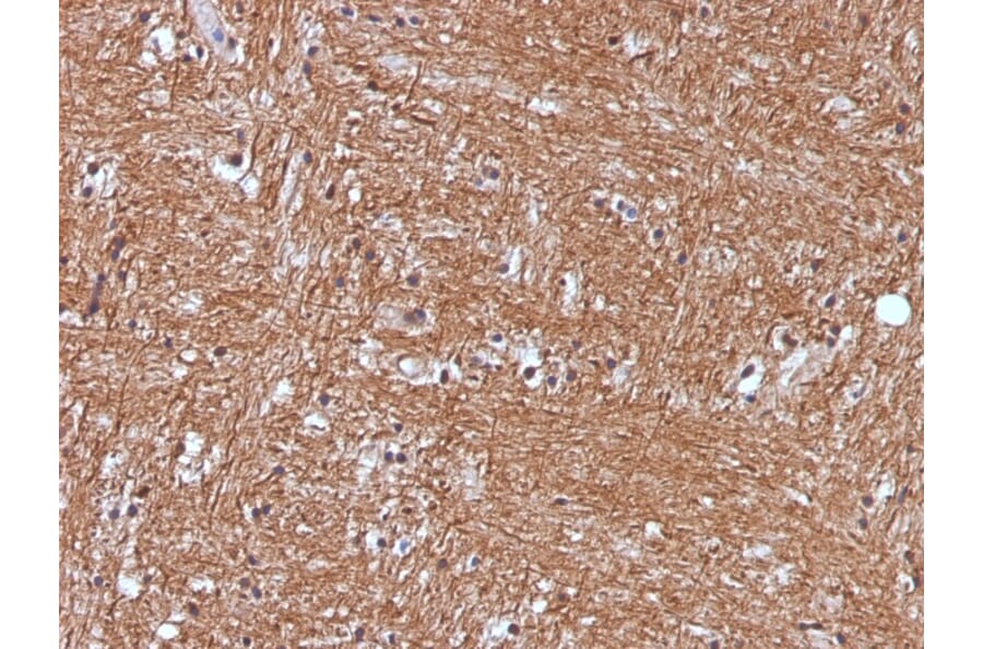
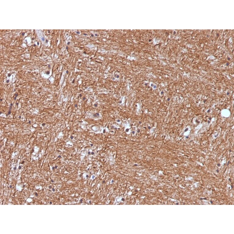
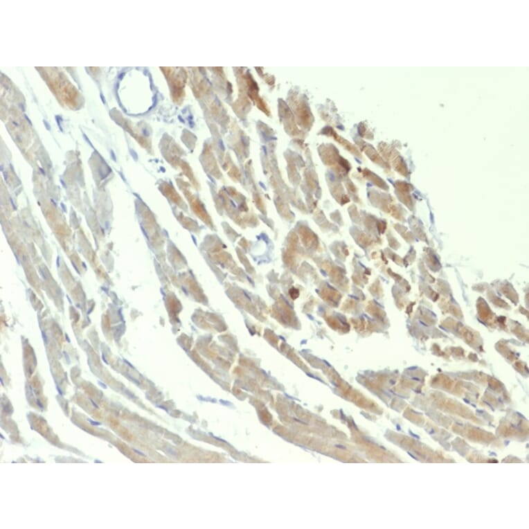
Anti-Neuron Specific Enolase Antibody [ENO2/1375] - BSA and Azide free (A251616)

Mouse monoclonal [ENO2/1375] antibody to Neuron Specific Enolase for WB and IHC-P.

Alternative Formats and ConjugatesAlternative Formats

Shipping Information

$40
Dispatched from St. Louis, MO.
Lead Time: 5-8 business days.
Name
Anti-Neuron Specific Enolase Antibody [ENO2/1375] - BSA and Azide free
Description
Mouse monoclonal [ENO2/1375] antibody to Neuron Specific Enolase.
Specificity
This antibody recognizes a protein of about 50kDa, which is identified as gamma-enolase. Three isoenzymes of enolases are identified, alpha, beta and gamma. Alpha-isoform is expressed in most tissues, whereas beta-form is expressed predominantly in muscle tissue whereas gamma-enolase is found only in nervous tissue. These isoforms exist as both homodimers and heterodimers, and they play a role in converting phosphoglyceric acid to phosphenolpyruvic acid in the glycolytic pathway. NSE-gamma is a useful marker to identify peripheral nerves and tumors of neuro-endocrine origins, such as pheochromocytomas.It it be usually employed in combination with other markers such as Synaptophysin,Chromogranin A, and Neurofilament.
Applications
WB, IHC-P
Dilutions
WB: 1-2 µg/ml, IHC-P: 0.2-0.4 µg/ml
Reactivity
Human, Mouse, Rat
Immunogen
Synthetic peptide, within amino acids 416-433, of human NSE gamma. The exact sequence is proprietary.
Host
Mouse
Clonality
Monoclonal
Clone ID
ENO2/1375
Isotype
IgG2b
Light Chains
kappa
Conjugate

Unconjugated

Purification
Protein A/G chromatography.
Concentration
1 mg/ml
Molecular Weight
~50 kDa
Product Form
Liquid
Formulation
Supplied in 10mM Phosphate Buffered Saline; without Sodium Azide and carrier free.
Storage
Shipped at 4°C. Upon delivery aliquot and store at -20°C. Avoid freeze / thaw cycles.
General Notes
This monoclonal antibody is also available in a different formulation with BSA and Sodium Azide - Anti-Neuron Specific Enolase Antibody [ENO2/1375] (A248434).
Synonyms
2 phospho D glycerate hydrolyase, 2-phospho-D-glycerate hydro-lyase, Eno 2, ENO2, ENOG, ENOG_HUMAN, Enolase 2, Enolase 2 (gamma, neuronal), Enolase 2 gamma neuronal, Enolase2, Epididymis secretory protein Li 279, Gamma enolase, Gamma-enolase, HEL S 279, Neural enolase, Neuron specific gamma enolase, Neuron-specific enolase, neuronal enriched enolase, Neurone specific enolase, NSE
Disclaimer
This product is for research use only. It is not intended for diagnostic or therapeutic use.
Publishing research using Anti-Neuron Specific Enolase Antibody [ENO2/1375] - BSA and Azide free (A251616)? Please let us know so that we can list the citation on this page.