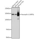
Western Blot - Anti-Neuropilin 1 Antibody [ARC0488] (A306268)
Western blot analysis of extracts of various cell lines, using Anti-Neuropilin 1 Antibody (A306268) at 1:1,000 dilution. The secondary antibody was Goat Anti-Rabbit IgG H&L Antibody (HRP) at 1:10,000 dilution. Lysates/proteins were present at 25µg per lane. The blocking buffer used was 3% non-fat dry milk in TBST. Detection was with a ECL Basic Kit. Exposure time: 5s.
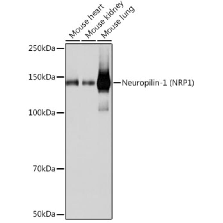
Western Blot - Anti-Neuropilin 1 Antibody [ARC0488] (A306268)
Western blot analysis of extracts of various cell lines, using Anti-Neuropilin 1 Antibody (A306268) at 1:1,000 dilution. The secondary antibody was Goat Anti-Rabbit IgG H&L Antibody (HRP) at 1:10,000 dilution. Lysates/proteins were present at 25µg per lane. The blocking buffer used was 3% non-fat dry milk in TBST. Detection was with a ECL Basic Kit. Exposure time: 30s.
Publishing research using Anti-Neuropilin 1 Antibody [ARC0488] (A306268)? Please let us know so that we can list the citation on this page.
Alternative products to Anti-Neuropilin 1 Antibody [ARC0488] (A306268)
Recombinant human monoclonal antibody to Neuropilin-1 for use as a research grade Vesencumab biosimi for ELISA, Flow Cytometry, Functional Studies and in vivo Research.
Recombinant human monoclonal antibody to Neuropilin-1 for use as a research grade ASP1948 biosimilar for ELISA, Flow Cytometry, Functional Studies and in vivo Research.
Recombinant human monoclonal antibody to Neuropilin-1 for use as a research grade Vesencumab biosimi for ELISA, Flow Cytometry, Functional Studies and in vivo Research.
Recombinant human monoclonal antibody to Neuropilin-1 for use as a research grade ASP1948 biosimilar for ELISA, Flow Cytometry, Functional Studies and in vivo Research.