Primary Antibodies
Secondary Antibodies
Proteins & Peptides
ELISA Kits
About Us
Contact Us
Sign In/Register
0
ISO 9001:2015 Certified
Live Customer Support
4.5/5 on Trustpilot
100% Quality Guarantee
Home
Primary Antibodies
Neurotrophin 4 Antibodies
Anti-Neurotrophin-4 Antibody (A46645)
Anti-Neurotrophin-4 Antibody (A46645)
Overview
Specifications
Images
Enlarge Image
$430
Product Datasheet
Rabbit polyclonal antibody to Neurotrophin-4 for IHC.
100% Guarantee
Price Match Guarantee
Product Size:
100µg
Quantity:
1
2
3
4
5
6
7
8
9
10
Add To Cart
Request a Quotation
Custom or Bulk Request
Shipping Information
Freight/Packing Charges:
$40
Dispatched from St. Louis, MO.
Lead Time: 6-9 business days.
Specifications
Name
Anti-Neurotrophin-4 Antibody
Description
Rabbit polyclonal antibody to Neurotrophin-4
Specificity
The antibody detects endogenous level of total Neurotrophin-4 polyclonal antibody.
Applications
IHC
Reactivity
Human
Immunogen
Recombinant human Neurotrophin-4 protein
Host
Rabbit
Clonality
Polyclonal
Conjugate
Unconjugated
Purification
Caprylic Acid Ammonium Sulfate Precipitation purified
Concentration
1.0 mg/mL
Formulation
Preservative: 0.03% Proclin 300 Constituents: 50% Glycerol, 0.01M PBS, PH 7.4
Storage
Shipped at 4°C. Upon delivery aliquot and store at -20°C. Avoid freeze/thaw cycles.
Synonyms
Neurotrophin-5, Neutrophic factor 4, NT-4, NT-5, NTF4, NTF5
Suitable Secondaries
Goat Anti-Rabbit IgG H&L Antibody (AP) (A294874)
Goat Anti-Rabbit IgG H&L Antibody (Biotin) (A294795)
Goat Anti-Rabbit IgG H&L Antibody (FITC) (A294887)
Goat Anti-Rabbit IgG H&L Antibody (HRP) (A294888)
See all Anti-Rabbit IgG Secondaries →
Disclaimer
This product is for research use only. It is not intended for diagnostic or therapeutic use.
Scientific Validation Data
Validation Data
(1)
Enlarge Image
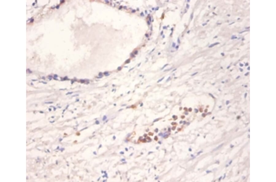
Immunohistochemistry - Anti-Neurotrophin-4 Antibody (A46645)
Immunohistochemical analysis of paraffin-embedded human prostate using #42517 at dilution of 1: 100.
Publishing research using Anti-Neurotrophin-4 Antibody (A46645)? Please
let us know
so that we can list the citation on this page.
Alternative products to Anti-Neurotrophin-4 Antibody (A46645)
(6)
A13073
Anti-NT-4 Antibody
Rabbit polyclonal antibody to NT-4 for WB, IHC and ICC/IF.
(2)
A97772
Anti-NT-4 Antibody
Rabbit polyclonal antibody to NT-4 for IHC, IF and ELISA.
A43984
Anti-NTF4 Antibody
Rabbit polyclonal antibody to NTF4 for WB, ICC/IF and IHC.
A29270
Anti-NTF4 Antibody
Rabbit polyclonal antibody to NTF4 for WB and IHC.
A84500
Anti-NT-4 Antibody
Goat polyclonal antibody to NT-4 for ELISA and WB.
(2)
A38898
Anti-NTF4 Antibody
Rabbit polyclonal antibody to NTF4 for WB.
A26537
Anti-NTF4 (V120) Antibody
Rabbit polyclonal antibody to NTF4 (V120) for IHC.
(2)
A38680
Anti-NTF4 Antibody
Rabbit polyclonal antibody to NTF4 for WB and IHC.
A58429
Anti-NT-4 Antibody [NYRhNT-4]
Mouse monoclonal [NYRhNT-4] antibody to NT-4 for ELISA, WB and IP.
A304459
Anti-Neurotrophin-4 Antibody [ANT-117] - BSA and Azide free
Mouse monoclonal [ANT-117] antibody to Neurotrophin-4 for ELISA.
(6)
A13073
Anti-NT-4 Antibody
Rabbit polyclonal antibody to NT-4 for WB, IHC and ICC/IF.
(2)
A97772
Anti-NT-4 Antibody
Rabbit polyclonal antibody to NT-4 for IHC, IF and ELISA.
A43984
Anti-NTF4 Antibody
Rabbit polyclonal antibody to NTF4 for WB, ICC/IF and IHC.
A29270
Anti-NTF4 Antibody
Rabbit polyclonal antibody to NTF4 for WB and IHC.
A84500
Anti-NT-4 Antibody
Goat polyclonal antibody to NT-4 for ELISA and WB.
(2)
A38898
Anti-NTF4 Antibody
Rabbit polyclonal antibody to NTF4 for WB.
A26537
Anti-NTF4 (V120) Antibody
Rabbit polyclonal antibody to NTF4 (V120) for IHC.
(2)
A38680
Anti-NTF4 Antibody
Rabbit polyclonal antibody to NTF4 for WB and IHC.
A58429
Anti-NT-4 Antibody [NYRhNT-4]
Mouse monoclonal [NYRhNT-4] antibody to NT-4 for ELISA, WB and IP.
A304459
Anti-Neurotrophin-4 Antibody [ANT-117] - BSA and Azide free
Mouse monoclonal [ANT-117] antibody to Neurotrophin-4 for ELISA.
See all Neurotrophin-4 Antibodies
Proteins predicted to interact with Neurotrophin 4
Predicted protein interactions based upon String database. Revelancy score correlates with probability of interaction.
TrkB Antibodies
99.9% Relevancy Score
TrkA Antibodies
99.9% Relevancy Score
TrkC Antibodies
99.9% Relevancy Score
p75NTR Antibodies
99.9% Relevancy Score
BDNF Antibodies
99% Relevancy Score
NGF Antibodies
92.2% Relevancy Score
GDNF Antibodies
89.7% Relevancy Score
Sortilin Antibodies
88.3% Relevancy Score
WDR36 Antibodies
75.8% Relevancy Score
Top