ISO 9001:2015 Certified
Live Customer Support
4.5/5 on Trustpilot
100% Quality Guarantee

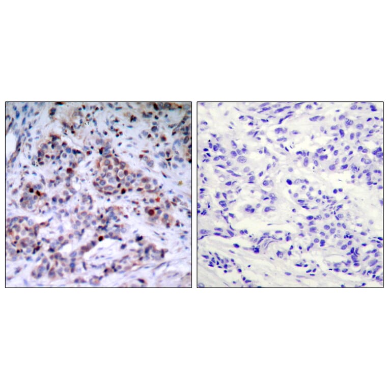
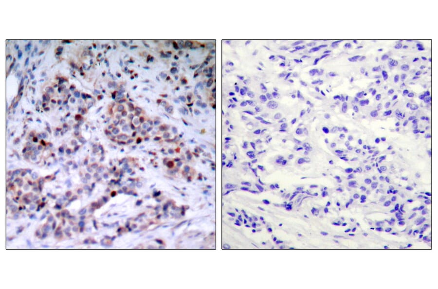
Anti-NF-kappaB p65 (phospho Thr435) Antibody (A93732)

Rabbit polyclonal antibody to NF-kappaB p65 (phospho Thr435) for WB, IHC, IF, IP and ELISA.

Shipping Information

$40
Dispatched from St. Louis, MO.
Lead Time: 6-8 business days.
Name
Anti-NF-kappaB p65 (phospho Thr435) Antibody
Description
Rabbit polyclonal antibody to NF-kappaB p65 (phospho Thr435).
Specificity
This antibody detects endogenous levels of NF-kappaB p65 only when phosphorylated at Thr435.
Applications
WB, IHC, IF, IP, ELISA
Dilutions
WB: 1:500~1:1000, IHC: 1:50~1:100, IF: 1:100~1:500, ELISA: 1:20000
Reactivity
Human, Mouse, Rat, Monkey
Cross Reactivity
No reported cross-reactivity.
Immunogen
Synthetic peptide derived from human NF-kappaB p65 around the phosphorylation site of Thr435 (amino acids 402-451).
Host
Rabbit
Clonality
Polyclonal
Isotype
IgG
Conjugate

Unconjugated

Purification
Purified from rabbit serum by antigen affinity chromatography using the immunizing phospho peptide.
Molecular Weight
60kDa
Product Form
Liquid
Formulation
Supplied in Phosphate Buffered Saline (without Mg2+ and Ca2+), pH 7.4, with 150mM NaCl, 0.02% Sodium Azide, and 50% Glycerol.
Storage
Shipped at 4°C. Upon delivery aliquot and store at -20°C. Avoid freeze / thaw cycles.
Synonyms
NFKB3, Nuclear factor NF-kappa-B p65 subunit, Nuclear factor of kappa light polypeptide gene enhancer in B-cells 3, RELA, Transcription factor p65
Disclaimer
This product is for research use only. It is not intended for diagnostic or therapeutic use.
Publishing research using Anti-NF-kappaB p65 (phospho Thr435) Antibody (A93732)? Please let us know so that we can list the citation on this page.

Alternative products to Anti-NF-kappaB p65 (phospho Thr435) Antibody (A93732)

Proteins predicted to interact with NF-kB p65

Predicted protein interactions based upon String database. Revelancy score correlates with probability of interaction.
99.9% Relevancy Score
99.9% Relevancy Score
99.9% Relevancy Score
99.9% Relevancy Score
99.9% Relevancy Score
99.9% Relevancy Score
99.9% Relevancy Score
99.9% Relevancy Score
99.9% Relevancy Score