Primary Antibodies
Secondary Antibodies
Proteins & Peptides
ELISA Kits
About Us
Contact Us
Sign In/Register
0
ISO 9001:2015 Certified
Live Customer Support
4.5/5 on Trustpilot
100% Quality Guarantee
Home
Primary Antibodies
NFAT4 Antibodies
Anti-NFATC3 Antibody (A45399)
Anti-NFATC3 Antibody (A45399)
Overview
Specifications
Images
Enlarge Image
Enlarge Image
$430
Rabbit polyclonal antibody to NFATC3 for IHC.
100% Guarantee
Price Match Guarantee
Product Size:
100µl
Quantity:
1
2
3
4
5
6
7
8
9
10
Add To Cart
Request a Quotation
Custom or Bulk Request
Shipping Information
Freight/Packing Charges:
$40
Dispatched from St. Louis, MO.
Lead Time: 6-9 business days.
Specifications
Name
Anti-NFATC3 Antibody
Description
Rabbit polyclonal antibody to NFATC3
Specificity
The antibody detects endogenous levels of total NFATC3 protein.
Applications
IHC
Reactivity
Human
Immunogen
Fusion protein corresponding to residues near the C terminal of human nuclear factor of activated T-cells, cytoplasmic, calcineurin-dependent 3
Host
Rabbit
Clonality
Polyclonal
Conjugate
Unconjugated
Purification
Antigen affinity purification.
Concentration
2.5mg / ml
Formulation
Rabbit IgG in pH7.3 PBS, 0.05% NaN3, 50% Glycerol.
Storage
Store at -20˚C
Synonyms
NF-AT4, NF-AT4c, NF-ATc3, NFATx, Nuclear factor of activated T-cells, cytoplasmic 3, T-cell transcription factor NFAT4
Suitable Secondaries
Goat Anti-Rabbit IgG H&L Antibody (AP) (A294874)
Goat Anti-Rabbit IgG H&L Antibody (Biotin) (A294795)
Goat Anti-Rabbit IgG H&L Antibody (FITC) (A294887)
Goat Anti-Rabbit IgG H&L Antibody (HRP) (A294888)
See all Anti-Rabbit IgG Secondaries →
Disclaimer
This product is for research use only. It is not intended for diagnostic or therapeutic use.
Scientific Validation Data
Validation Data
(2)
Enlarge Image
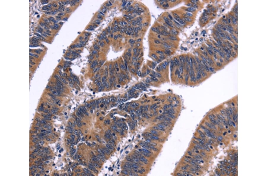
Immunohistochemistry - Anti-NFATC3 Antibody (A45399)
Immunohistochemical analysis of paraffin-embedded Human colon cancer tissue using #35836 at dilution 1/50.
Enlarge Image
Immunohistochemistry - Anti-NFATC3 Antibody (A45399)
Immunohistochemical analysis of paraffin-embedded Human liver cancer tissue using #35836 at dilution 1/50.
Publishing research using Anti-NFATC3 Antibody (A45399)? Please
let us know
so that we can list the citation on this page.
Alternative products to Anti-NFATC3 Antibody (A45399)
(2)
A99020
Anti-NFAT4 Antibody
Rabbit polyclonal antibody to NFAT4 for WB and ELISA.
A94002
Anti-NFAT4 (phospho Ser165) Antibody
Rabbit polyclonal antibody to NFAT4 (phospho Ser165) for WB, IF and ELISA.
(2)
A25585
Anti-NFAT4 (E159) Antibody
Rabbit polyclonal antibody to NFAT4 (E159) for WB and IHC.
(2)
A39602
Anti-NFATC3 Antibody
Rabbit polyclonal antibody to NFATC3 for WB and IF.
A50635
Anti-NFAT4 (Phospho-Ser165) Antibody
Rabbit polyclonal antibody to NFAT4 (Phospho-Ser165) for WB.
(2)
A99020
Anti-NFAT4 Antibody
Rabbit polyclonal antibody to NFAT4 for WB and ELISA.
A94002
Anti-NFAT4 (phospho Ser165) Antibody
Rabbit polyclonal antibody to NFAT4 (phospho Ser165) for WB, IF and ELISA.
(2)
A25585
Anti-NFAT4 (E159) Antibody
Rabbit polyclonal antibody to NFAT4 (E159) for WB and IHC.
(2)
A39602
Anti-NFATC3 Antibody
Rabbit polyclonal antibody to NFATC3 for WB and IF.
A50635
Anti-NFAT4 (Phospho-Ser165) Antibody
Rabbit polyclonal antibody to NFAT4 (Phospho-Ser165) for WB.
See all NFATC3 Antibodies
Proteins predicted to interact with NFAT4
Predicted protein interactions based upon String database. Revelancy score correlates with probability of interaction.
JNK1 Antibodies
99.5% Relevancy Score
Calcineurin B Antibodies
98.7% Relevancy Score
PPP3CB Antibodies
95.6% Relevancy Score
JNK2 Antibodies
95.2% Relevancy Score
Calcineurin A Antibodies
94.6% Relevancy Score
GATA4 Antibodies
94% Relevancy Score
PPP3CC Antibodies
93.2% Relevancy Score
MEF2A Antibodies
93.1% Relevancy Score
SRF Antibodies
93% Relevancy Score
Top