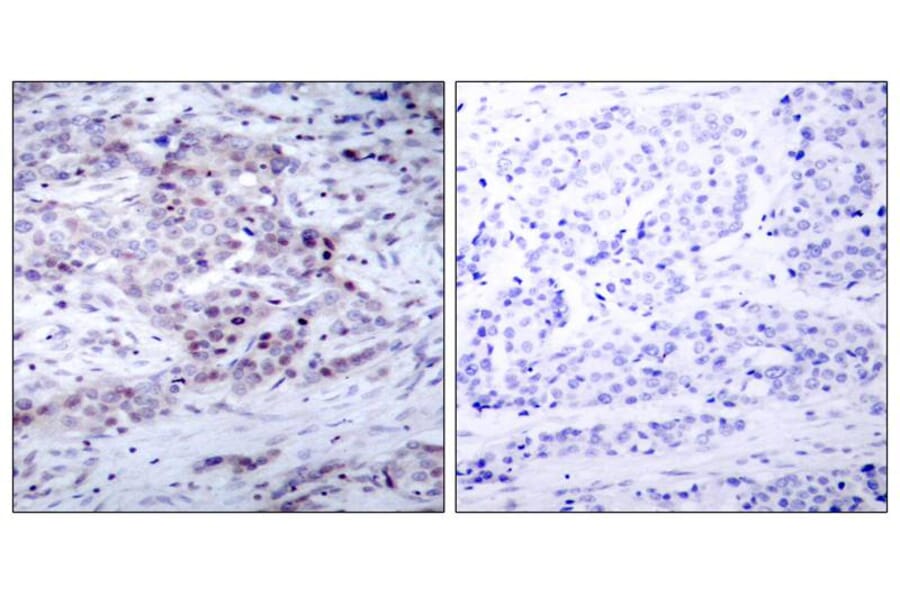
Rabbit polyclonal antibody to NF?B-p100 (Phospho-Ser870)
Specificity
The antibody detects endogenous level of NFκB-p100 only when phosphorylated at serine 870.
Applications
WB, IHC, ICC/IF
Reactivity
Human, Mouse, Rat
Immunogen
Peptide sequence around phosphorylation site of serine 870(Y-G-S(p)-Q-S) derived from Human NF?B-p100.
Host
Rabbit
Clonality
Polyclonal
Conjugate
Unconjugated
Purification
Antibodies were produced by immunizing rabbits with synthetic phosphopeptide and KLH conjugates. Antibodies were purified by affinity-chromatography using epitope-specific phosphopeptide. Non-phospho specific antibodies were removed by chromatogramphy using non-phosphopeptide.
Concentration
1.0 mg/mL
Formulation
Supplied in phosphate-buffered saline (without Mg²? and Ca²?), pH 7.4, containing 150 mM NaCl, 0.02% sodium azide, and 50% glycerol.
Storage
Shipped at 4°C. Upon delivery aliquot and store at -20°C. Avoid freeze/thaw cycles.
Western blot analysis of extract from MDA-MB-435 cells untreated or treated with TNF-α (20ng/ml, 5min) using NF-κB p100 (phospho-Ser870) antibody (#11016).
Publishing research using Anti-NF?B-p100 (Phospho-Ser870) Antibody (A50135)? Please let us know so that we can list the citation on this page.