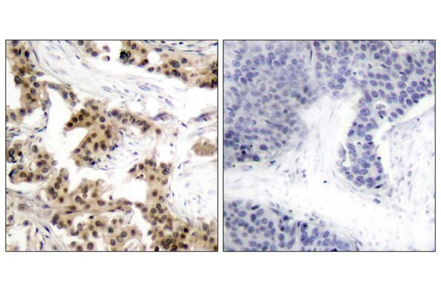
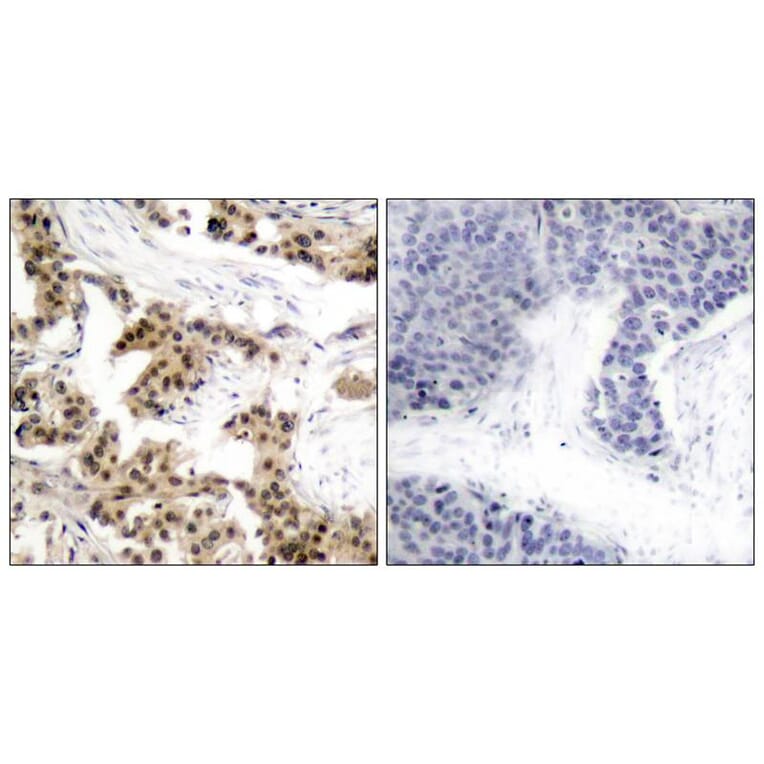
Rabbit polyclonal antibody to NF?B-p105 (Phospho-Ser893)
Specificity
The antibody detects endogenous level of total NFκB-p105 protein.
Applications
IHC, ICC/IF
Reactivity
Human, Mouse, Rat
Immunogen
Peptide sequence around aa.891~895 (A-S-S-P-V) derived from Human NF?B-p105.
Host
Rabbit
Clonality
Polyclonal
Conjugate
Unconjugated
Purification
Antibodies were produced by immunizing rabbits with synthetic peptide and KLH conjugates. Antibodies were purified by affinity-chromatography using epitope-specific peptide.
Concentration
1.0 mg/mL
Formulation
Supplied in phosphate-buffered saline (without Mg²? and Ca²?), pH 7.4, containing 150 mM NaCl, 0.02% sodium azide, and 50% glycerol.
Storage
Shipped at 4°C. Upon delivery aliquot and store at -20°C. Avoid freeze/thaw cycles.