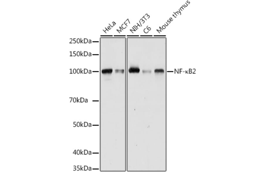
Western Blot - Anti-NFkB p100 / NFKB2 Antibody (A14847)
Western blot analysis of extracts of various cell lines, using Anti-NFkB p100 / NFKB2 Antibody (A14847) at 1:1,000 dilution. The secondary antibody was Goat Anti-Rabbit IgG H&L Antibody (HRP) at 1:10,000 dilution. Lysates/proteins were present at 25µg per lane. The blocking buffer used was 3% non-fat dry milk in TBST. Detection was with a ECL Basic Kit. Exposure time: 10s.